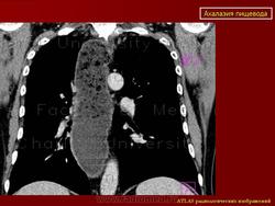
ПС. Ахалазия. +

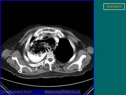
Ахалазия.

Катенёв Валентин Львович аватар
Не на сайте
Был на сайте: 7 лет 5 месяцев назад
Зарегистрирован: 22.03.2008 - 22:15
Публикации: 54876

Из литературных источников

 

Приложения: 
1.ahalaziya.slayd50.jpg
Катенёв Валентин Львович аватар
Не на сайте
Был на сайте: 7 лет 5 месяцев назад
Зарегистрирован: 22.03.2008 - 22:15
Публикации: 54876

Ахалазия

Приложения: 
0.radiologyinfo_eng.gif13.ahalaziya...jpg
Катенёв Валентин Львович аватар
Не на сайте
Был на сайте: 7 лет 5 месяцев назад
Зарегистрирован: 22.03.2008 - 22:15
Публикации: 54876
Катенёв Валентин Львович аватар
Не на сайте
Был на сайте: 7 лет 5 месяцев назад
Зарегистрирован: 22.03.2008 - 22:15
Публикации: 54876

Рентгенологические проявления вторичной ахалазии

http://www.hon.ch/OESO/books/Vol_5_Eso_Junction/Articles/art366.html

1324-74

Рентгенографические особенности вторичной ахалазии

Катенёв Валентин Львович аватар
Не на сайте
Был на сайте: 7 лет 5 месяцев назад
Зарегистрирован: 22.03.2008 - 22:15
Публикации: 54876

Ахалазия

Случаи и цифры

  •  
    Дело 1
  •  
    Случай 2
  • ахалазия
     
    Случай 3
  •  
    Случай 4
  •  
    Случай 5
  •  
    Случай 6
  •  
    Случай 7
  •  
    Случай 8: 
  •  
    Случай 9
  •  
    Случай 10
  •  
     Случай 11
  •  
    Случай 12: с знаком клюва птицы
  •  
    Случай 13: ахалазия, имитирующая медиастинальную массу
  •  
    Случай 14
  •  
    Случай 15
  •  
    Случай 16
  •  
    Случай 17

Дифференциальная диагностика изображения

  •  
    Псевдоахалазия вследствие опухолевой инфильтрации
Катенёв Валентин Львович аватар
Не на сайте
Был на сайте: 7 лет 5 месяцев назад
Зарегистрирован: 22.03.2008 - 22:15
Публикации: 54876

Ахалазия

Image
Fig.2.: Achalasia   
Катенёв Валентин Львович аватар
Не на сайте
Был на сайте: 7 лет 5 месяцев назад
Зарегистрирован: 22.03.2008 - 22:15
Публикации: 54876

Продолжение.

 

Приложения: 
1yoyoyoslayd49.jpg
Катенёв Валентин Львович аватар
Не на сайте
Был на сайте: 7 лет 5 месяцев назад
Зарегистрирован: 22.03.2008 - 22:15
Публикации: 54876

Продолжение.

 

Приложения: 
1yyslayd81..zh_.jpg
Катенёв Валентин Львович аватар
Не на сайте
Был на сайте: 7 лет 5 месяцев назад
Зарегистрирован: 22.03.2008 - 22:15
Публикации: 54876

Наблюдение Катенёва В.Л.

 

Приложения: 
1.201607190088.jpg2.201607190089.jpg3.201607190090.jpg4.201607190091.jpg5.201607190092.jpg6.201607190093.jpg7.201607190094.jpg8.201607190095.jpg9.201607190096.jpg10.201607190091.7.jpg11.201607190098.jpg
Катенёв Валентин Львович аватар
Не на сайте
Был на сайте: 7 лет 5 месяцев назад
Зарегистрирован: 22.03.2008 - 22:15
Публикации: 54876

С Радиопедии.

 

Приложения: 
00.2a41e0d8c670cd893e74546e1e0cd9_galleryahalaziya.jpg00.56dd9aa6aaaac28d1a1c35b667ef54_galleryahalaziya.jpg
Катенёв Валентин Львович аватар
Не на сайте
Был на сайте: 7 лет 5 месяцев назад
Зарегистрирован: 22.03.2008 - 22:15
Публикации: 54876

С Радиопедии.

 

Приложения: 
00.25964431863fe944f8a1dfc47e30d2_big_galleryahalaziya.jpg00.a19d3fdcc0fb75d33e28a16a184672_big_galleryahalaziya.jpg
Катенёв Валентин Львович аватар
Не на сайте
Был на сайте: 7 лет 5 месяцев назад
Зарегистрирован: 22.03.2008 - 22:15
Публикации: 54876

С Радиопедии

 

Приложения: 
00.692e8fd5fb4bd442e6c4dc70f06353_big_galleryahalaziya.jpeg
Катенёв Валентин Львович аватар
Не на сайте
Был на сайте: 7 лет 5 месяцев назад
Зарегистрирован: 22.03.2008 - 22:15
Публикации: 54876

Ахалазия имитирует объёмный процесс в средостении.

 

Приложения: 
01f787a3b4e28d3130de80c35a5ea08d_jumboachalasia_modelirovaniya_sredostennuyu_massy.jpeg02e05f54d5c14a8e9f19263e378e7969_jumboachalasia_modelirovaniya_sredostennuyu_massy.jpeg
Катенёв Валентин Львович аватар
Не на сайте
Был на сайте: 7 лет 5 месяцев назад
Зарегистрирован: 22.03.2008 - 22:15
Публикации: 54876
Приложения: 
nejmicm1502835_f1.jpeg