Внутримышечная миксома — довольно редкая опухоль, поражающая бедро, ягодичную мышцу, реже другие места у 59—70-летних лиц, обычно женщин. Макроскопически представляет собой округлое, четко отграниченное образование диаметром 4—10 см, студенистой консистенции, в котором могут обнаруживаться мелкие кисты и фиброзные трабекулы. У 5 % больных, как правило, страдающих сочетанным полиостозом, внутримышечная миксома бывает множественной. Под микроскопом границы миксомы неотчетливы, создается иллюзия инвазии в окружающие мышцы и фасции. Рассеянные и крайне малочисленные мелкие клетки разной формы, а также пузыревидные муцифаги лежат в обильно представленном муцине, богатом кислыми мукополисахаридами. Опухоль нужно дифференцировать от миксоидной злокачественной фиброзной гистиоцитомы, миксоидной нейрофибромы и миксоидной липосаркомы
Внутримышечная миксома
Внутримышечная миксома — довольно редкая опухоль, поражающая бедро, ягодичную мышцу, реже другие места у 59—70-летних лиц, обычно женщин. Макроскопически представляет собой округлое, четко отграниченное образование диаметром 4—10 см, студенистой консистенции, в котором могут обнаруживаться мелкие кисты и фиброзные трабекулы. У 5 % больных, как правило, страдающих сочетанным полиостозом, внутримышечная миксома бывает множественной. Под микроскопом границы миксомы неотчетливы, создается иллюзия инвазии в окружающие мышцы и фасции. Рассеянные и крайне малочисленные мелкие клетки разной формы, а также пузыревидные муцифаги лежат в обильно представленном муцине, богатом кислыми мукополисахаридами. Опухоль нужно дифференцировать от миксоидной злокачественной фиброзной гистиоцитомы, миксоидной нейрофибромы и миксоидной липосаркомы
Внутримышечная миксома
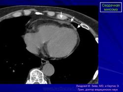
Миксома предсердия
ID: 8544 Atrial myxoma Dr Frank Gaillard - 10 Feb 2010 This patient went on to have a resection and an atrial myxoma was confir...
ID: 14404 Atrial myxoma on CTPA Dr Jeremy Jones - 21 Jul 2011 No PE or other cause of breathlessness on review of the lungs. How...