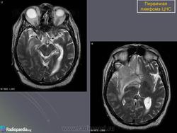
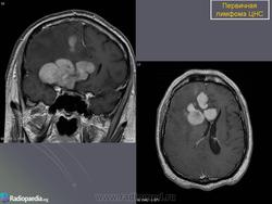
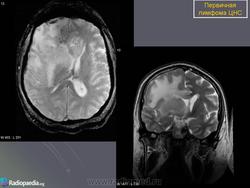
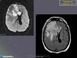
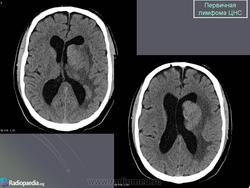
Первичные лимфомы ЦНС. Вс, 22/05/2011 - 21:45 #1 Катенёв Валенти... Не на сайте Был на сайте: 7 лет 5 месяцев назад Зарегистрирован: 22.03.2008 - 22:15 Публикации: 54876 Продолжение.Приложения:
Продолжение.