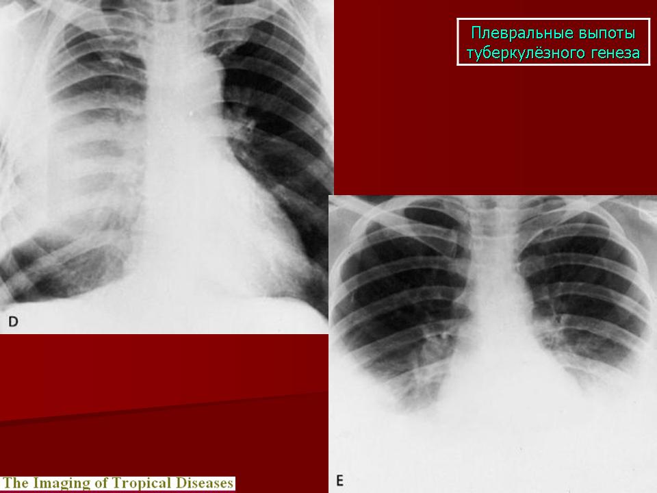
Туберкулёз. Плевральные выпоты туберкулёзного генеза. +

Плевральные выпоты туберкулёзного генеза.

 

Катенёв Валентин Львович аватар
Не на сайте
Был на сайте: 6 лет 11 месяцев назад
Зарегистрирован: 22.03.2008 - 22:15
Публикации: 54876

Схема.

Приложения: 
1.vypot_.slayd11.jpg
Катенёв Валентин Львович аватар
Не на сайте
Был на сайте: 6 лет 11 месяцев назад
Зарегистрирован: 22.03.2008 - 22:15
Публикации: 54876

Туберкулёз плевры и грудной стенки

Приложения: 
3.cover_.giff33.mediumplevry_i_grudnoy_stenki_tuberkuleza.giff34.mediumplevry_i_grudnoy_stenki_tuberkuleza.gif
Катенёв Валентин Львович аватар
Не на сайте
Был на сайте: 6 лет 11 месяцев назад
Зарегистрирован: 22.03.2008 - 22:15
Публикации: 54876

Продолжение.

 

Приложения: 
slayd192mm.jpg