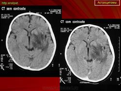
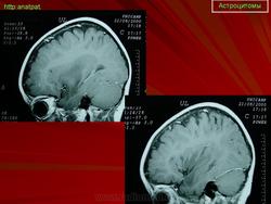
ГМ. Астроцитома. +

Астроцитома.

Катенёв Валентин Львович аватар
Не на сайте
Был на сайте: 7 лет 2 месяцев назад
Зарегистрирован: 22.03.2008 - 22:15
Публикации: 54876

Продолжение

.

Приложения: 
7.a.slayd297.jpg8.a.slayd298.jpg9.a.slayd299.jpg10.a.slayd300.jpg11.a.slayd301.jpg12.a.slayd302.jpg1.as_.slayd1_.jpg2.as_.slayd2_.jpg1.a.slayd3_.jpg2.a.slayd4_.jpg3.a.slayd5_.jpg1.a.slayd181.jpg2.a.slayd182.jpg3.a.slayd183.jpg4.a.slayd184.jpg
Катенёв Валентин Львович аватар
Не на сайте
Был на сайте: 7 лет 2 месяцев назад
Зарегистрирован: 22.03.2008 - 22:15
Публикации: 54876

Продолжение.

Приложения: 
1.a.slayd6_.jpg2.a.slayd7_.jpg3.a.slayd8_.jpg4.a.slayd9_.jpg5.a.slayd10.jpg6.a.slayd11.jpg7.a.slayd12.jpg
Катенёв Валентин Львович аватар
Не на сайте
Был на сайте: 7 лет 2 месяцев назад
Зарегистрирован: 22.03.2008 - 22:15
Публикации: 54876

Продолжение.

Приложения: 
1.a.slayd177.jpg2.a.slayd178.jpg3.a.slayd179.jpg4.a.slayd180.jpg
Катенёв Валентин Львович аватар
Не на сайте
Был на сайте: 7 лет 2 месяцев назад
Зарегистрирован: 22.03.2008 - 22:15
Публикации: 54876

Продолжение.

Приложения: 
1.ast_.slayd66.jpg2.ast_.slayd67.jpg
Катенёв Валентин Львович аватар
Не на сайте
Был на сайте: 7 лет 2 месяцев назад
Зарегистрирован: 22.03.2008 - 22:15
Публикации: 54876

Продолжение.

Приложения: 
1.as_.slayd1_.jpg2.as_.slayd2_.jpg3.as_.slayd3_.jpg4.as_.slayd4_.jpg
Катенёв Валентин Львович аватар
Не на сайте
Был на сайте: 7 лет 2 месяцев назад
Зарегистрирован: 22.03.2008 - 22:15
Публикации: 54876

Продолжение.

Приложения: 
1.ttt_.slayd5_.jpg2.ttt_.slayd6_.jpg3.ttt_.slayd7_.jpg
Катенёв Валентин Львович аватар
Не на сайте
Был на сайте: 7 лет 2 месяцев назад
Зарегистрирован: 22.03.2008 - 22:15
Публикации: 54876

Продолжение.

 

Приложения: 
41.astro_.slayd289.jpg
Катенёв Валентин Львович аватар
Не на сайте
Был на сайте: 7 лет 2 месяцев назад
Зарегистрирован: 22.03.2008 - 22:15
Публикации: 54876

Продолжение.

Приложения: 
1.a.slayd273.jpg2.a.slayd274.jpg3.a.slayd275.jpg1.aaa_.slayd201.jpg
Катенёв Валентин Львович аватар
Не на сайте
Был на сайте: 7 лет 2 месяцев назад
Зарегистрирован: 22.03.2008 - 22:15
Публикации: 54876

Астроцитома.

Приложения: 
1.astr_.slayd3_.jpg
Катенёв Валентин Львович аватар
Не на сайте
Был на сайте: 7 лет 2 месяцев назад
Зарегистрирован: 22.03.2008 - 22:15
Публикации: 54876

Астроцитома.

Приложения: 
1.astr_.slayd60.jpg2.astr_.slayd61.jpg3.astr_.slayd62.jpg
Катенёв Валентин Львович аватар
Не на сайте
Был на сайте: 7 лет 2 месяцев назад
Зарегистрирован: 22.03.2008 - 22:15
Публикации: 54876

Астроцитома.

Приложения: 
1.astr_.slayd92.jpg2.astr_.slayd93.jpg3.astr_.slayd94.jpg
Катенёв Валентин Львович аватар
Не на сайте
Был на сайте: 7 лет 2 месяцев назад
Зарегистрирован: 22.03.2008 - 22:15
Публикации: 54876

Астроцитома.

Приложения: 
1.ast_.slayd201.jpg2.ast_.slayd202.jpg
Катенёв Валентин Львович аватар
Не на сайте
Был на сайте: 7 лет 2 месяцев назад
Зарегистрирован: 22.03.2008 - 22:15
Публикации: 54876

Астроцитома.

Приложения: 
1.as_.open-uri20120221-1537-1ebi15fastrocitoma.jpeg2.as_.open-uri20120221-1537-1l694urastrocitoma.jpeg
Катенёв Валентин Львович аватар
Не на сайте
Был на сайте: 7 лет 2 месяцев назад
Зарегистрирован: 22.03.2008 - 22:15
Публикации: 54876

Продолжение.

Приложения: 
1.uu_.slayd59.jpg2.uu_.slayd66.jpg3.u4u.slayd67.jpg4.uu_.slayd68.jpg5.uu_.slayd69.jpg6.uu_.slayd70.jpg
Катенёв Валентин Львович аватар
Не на сайте
Был на сайте: 7 лет 2 месяцев назад
Зарегистрирован: 22.03.2008 - 22:15
Публикации: 54876

Кистозная астроцитома.

Приложения: 
1.uu_.slayd42.jpg