ГМ. Абсцесс. +

Абсцесс

Катенёв Валентин Львович аватар
Не на сайте
Был на сайте: 7 лет 2 месяцев назад
Зарегистрирован: 22.03.2008 - 22:15
Публикации: 54876

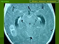
Продолжение.

 

Абсцесс головного мозга – это очаговое скопление гноя в мозговом веществе, окруженное капсулой.

Возникают посттраматические абсцессы при проникающих ранениях, а также при закрытой травме. В последнем случае инфицирование происходит через кровь из отдаленного очага инфекции. Основными возбудителями являются стафилококки, стрептококки, реже грамотрицательная флора, нередко наблюдается сочетание нескольких возбудителей.

Абсцессы могут локализоваться в различных участках мозгового вещества. Обычно абсцессы сочетаются с менингоэнцефалитами, энцефалитами, сопровождаются повышением температуры тела, воспалительными изменениями крови и ликвора. Клиническая картина разнообразна и состоит из различных сочетаний общемозговых симптомов (головной боли, головокружения, тошноты, рвоты, нарушений сознания), менингеальной (оболочечной) и очаговой неврологической симптоматики.

Компьютерная (КТ) или магнитно-резонансная (МРТ) томография головного мозга являются ведущими методами диагностики посттравматических абсцессов, позволяющих судить об их расположении, объеме, структуре, консистенции, содержимом, воздействии на вещество головного мозга. Для исключения опухолей головного мозга, туберкулом, паразитарных заболеваний проводится ОФЭКТ (однофотонная эмиссионная компьютерная томография).

Приложения: 
1.abs_.slayd53.jpg2.avs_.slayd54.jpg
Катенёв Валентин Львович аватар
Не на сайте
Был на сайте: 7 лет 2 месяцев назад
Зарегистрирован: 22.03.2008 - 22:15
Публикации: 54876

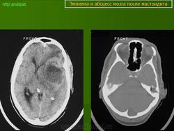
Продолжение.

 

Приложения: 
1.c.slayd251.jpg2.c.slayd252.jpg3.c.slayd253.jpg4.c.slayd254.jpg5.c.slayd255.jpg
Катенёв Валентин Львович аватар
Не на сайте
Был на сайте: 7 лет 2 месяцев назад
Зарегистрирован: 22.03.2008 - 22:15
Публикации: 54876

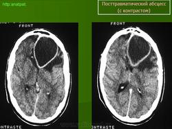
Продолжение.

Приложения: 
1.abs_.slayd189.jpg2.abs_.slayd188.jpg
Катенёв Валентин Львович аватар
Не на сайте
Был на сайте: 7 лет 2 месяцев назад
Зарегистрирован: 22.03.2008 - 22:15
Публикации: 54876

Абсцесс гипофиза.

Приложения: 
1.abss_.slayd157.jpg2.avss_.slayd158.jpg
Катенёв Валентин Львович аватар
Не на сайте
Был на сайте: 7 лет 2 месяцев назад
Зарегистрирован: 22.03.2008 - 22:15
Публикации: 54876

Продолжение.

Приложения: 
1.c.abs_.slayd83.jpg
Катенёв Валентин Львович аватар
Не на сайте
Был на сайте: 7 лет 2 месяцев назад
Зарегистрирован: 22.03.2008 - 22:15
Публикации: 54876

Абсцесс

Приложения: 
1.ab_.slayd229.jpg2.ab_.slayd230.jpg
Катенёв Валентин Львович аватар
Не на сайте
Был на сайте: 7 лет 2 месяцев назад
Зарегистрирован: 22.03.2008 - 22:15
Публикации: 54876

Абсцесс

Приложения: 
1.aa_.slayd13.jpg2.aa_.slayd14.jpg3.aa_.slayd15.jpg4.aa_.slayd16.jpg5.aa_.slayd17.jpg
Катенёв Валентин Львович аватар
Не на сайте
Был на сайте: 7 лет 2 месяцев назад
Зарегистрирован: 22.03.2008 - 22:15
Публикации: 54876

"Аспергиллёзный"  абсцесс

Приложения: 
41.brain_aspergillosis_forming_an_abscess.jpg42.brain_aspergillosis_forming_an_abscess.jpg43.brain_aspergillosis_forming_an_abscess.jpg44.brain_aspergillosis_forming_an_abscess.jpg45.brain_aspergillosis_forming_an_abscess.jpg46.brain_aspergillosis_forming_an_abscess.jpg47.brain_aspergillosis_forming_an_abscess.jpg48.brain_aspergillosis_forming_an_abscess.jpg
Катенёв Валентин Львович аватар
Не на сайте
Был на сайте: 7 лет 2 месяцев назад
Зарегистрирован: 22.03.2008 - 22:15
Публикации: 54876

Абсцесс

Приложения: 
0.7.cover_.gif11.11072011qz_leftc._abscess_mozga.jpg12.11072011qz_midc._abscess_mozga.jpg13.11072011qz_rightc._abscess_mozga.jpg
DozaNarkoza аватар
Не на сайте
Был на сайте: 3 года 11 месяцев назад
Зарегистрирован: 15.12.2013 - 08:52
Публикации: 10

Пож-та, укажите стрелкой эмпиему на МРТ снимке

Helios аватар
Не на сайте
Был на сайте: 9 месяцев 2 недели назад
Зарегистрирован: 06.08.2010 - 15:16
Публикации: 4417

Ограничение диффузии по оболочкам.

Катенёв Валентин Львович аватар
Не на сайте
Был на сайте: 7 лет 2 месяцев назад
Зарегистрирован: 22.03.2008 - 22:15
Публикации: 54876

Продолжение.

Приложения: 
11..yy_..slayd64.jpg11..yy_..slayd65.jpg