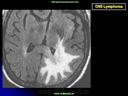
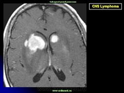
Поражает людей, как со здоровой иммунной системой, так и пациентов с приобретенным иммунодефицитом (подвергнувшиеся трансплантации и иммунодепрессивной терапии, или имеющие СПИД). Примитивная лимфома ЦНС обычно берет начало из лимфоцитов Б и классифицируется, как Неходжкинская лимфома. Частота заболеваний примитивными лимфомами головного мозга, т.е. теми, которые находятся только в головном мозге, увеличилась в последние 20 лет и представляет 0.5-2% от всех опухолей головного мозга.
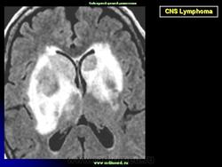
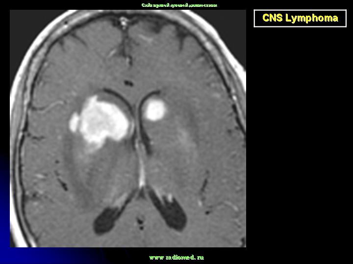
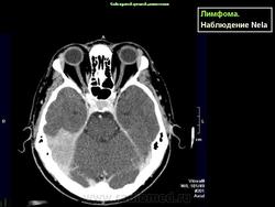
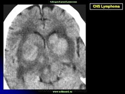
Локализируется в основном в больших полушариях. Некоторые больные могут иметь лимфому в других частях тела. В головном мозгу, не редко, могут иметь место множественные локализации. Диагноз подозревается на основе изображений КТ и МРТ.
Стереотаксическая биопсия - существенна для подтверждения диагноза и для дифференциации с другими заболеваниями, в том числе инфекционными или воспалительными. Может быть показано, исследование лимфоматозных клеток в спинномозговой жидкости. Симптомы и признаки - преобладают психологические и поведенческие изменения (признаки диффузного заболевания больших полушарий), спутанность мышления, внутричерепная гипертензия, частичная или генерализированная эпилепсия, гемипарез. Опухоль, как правило, довольно распространенная и для диагноза достаточно стереотаксической биопсии. Операция, по удалению одного компонента с массовым эффектом, показана редко.
Лимфомы, как правило, хорошо чувствительны к лучевой и химиотерапии. Существует множество терапевтических схем. Химиотерапия со специфическими препаратами (Метотрексат), как правило, предшествует лучевой терапии. Качество жизни пациентов с лимфомой ЦНС, реагирующие на лечение, как правило хорошее и выживание достаточно длительное. Рецидивы, как правило, обширные и распространение происходит вдоль ликворальных путей, т.е. злокачественные клетки переносятся потоком спинномозговой жидкости.
Продолжение.
Поражает людей, как со здоровой иммунной системой, так и пациентов с приобретенным иммунодефицитом (подвергнувшиеся трансплантации и иммунодепрессивной терапии, или имеющие СПИД). Примитивная лимфома ЦНС обычно берет начало из лимфоцитов Б и классифицируется, как Неходжкинская лимфома. Частота заболеваний примитивными лимфомами головного мозга, т.е. теми, которые находятся только в головном мозге, увеличилась в последние 20 лет и представляет 0.5-2% от всех опухолей головного мозга.
Локализируется в основном в больших полушариях. Некоторые больные могут иметь лимфому в других частях тела. В головном мозгу, не редко, могут иметь место множественные локализации.
Диагноз подозревается на основе изображений КТ и МРТ.
Стереотаксическая биопсия - существенна для подтверждения диагноза и для дифференциации с другими заболеваниями, в том числе инфекционными или воспалительными.
Может быть показано, исследование лимфоматозных клеток в спинномозговой жидкости.
Симптомы и признаки - преобладают психологические и поведенческие изменения (признаки диффузного заболевания больших полушарий), спутанность мышления, внутричерепная гипертензия, частичная или генерализированная эпилепсия, гемипарез.
Опухоль, как правило, довольно распространенная и для диагноза достаточно стереотаксической биопсии. Операция, по удалению одного компонента с массовым эффектом, показана редко.
Лимфомы, как правило, хорошо чувствительны к лучевой и химиотерапии. Существует множество терапевтических схем. Химиотерапия со специфическими препаратами (Метотрексат), как правило, предшествует лучевой терапии. Качество жизни пациентов с лимфомой ЦНС, реагирующие на лечение, как правило хорошее и выживание достаточно длительное.
Рецидивы, как правило, обширные и распространение происходит вдоль ликворальных путей, т.е. злокачественные клетки переносятся потоком спинномозговой жидкости.
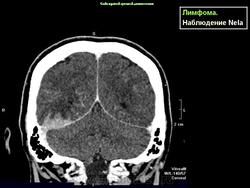
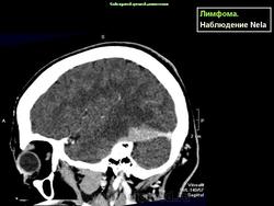
Лимфома.
Лимфома.
Лимфома задней черепной ямки
Церебральная лимфома
TC Craneoencefálica (Linfoma cerebral)
Linfoma Cerebral
TRM Difusión (MRI DWI.Exponential Apparent Diffusion Coefficient)
https://www.wjgnet.com/1949-8470/full/v4/i3/75.htm#__sec10