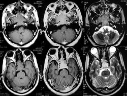
ГМ. Аденома гипофиза 1. +

Аденома гипофиза.

 

Катенёв Валентин Львович аватар
Не на сайте
Был на сайте: 7 лет 6 месяцев назад
Зарегистрирован: 22.03.2008 - 22:15
Публикации: 54876

Продолжение.

Приложения: 
1.a.slayd92.jpg2.a.slayd93.jpg3.a.slayd94.jpg4.a.slayd95.jpg5.a.slayd96.jpg6.a.slayd97.jpg7.a.slayd98.jpg
Катенёв Валентин Львович аватар
Не на сайте
Был на сайте: 7 лет 6 месяцев назад
Зарегистрирован: 22.03.2008 - 22:15
Публикации: 54876

Продолжение.

Приложения: 
1.a.slayd99.jpg2.a.slayd100.jpg3.a.slayd101.jpg4.a.slayd102.jpg5.a.slayd103.jpg
Катенёв Валентин Львович аватар
Не на сайте
Был на сайте: 7 лет 6 месяцев назад
Зарегистрирован: 22.03.2008 - 22:15
Публикации: 54876

Продолжение.

Приложения: 
1.a.slayd119.jpg2.a.slayd120.jpg3.a.slayd121.jpg4.a.slayd122.jpg5.a.slayd123.jpg6.a.slayd124.jpg7.a.slayd125.jpg8.a.slayd126.jpg9.a.slayd127.jpg10.a.slayd128.jpg
Катенёв Валентин Львович аватар
Не на сайте
Был на сайте: 7 лет 6 месяцев назад
Зарегистрирован: 22.03.2008 - 22:15
Публикации: 54876

Продолжение.

Приложения: 
1.m.slayd149.jpg2.m.slayd150.jpg3.m.slayd151.jpg4.m.slayd152.jpg5.m.slayd153.jpg6.m.slayd154.jpg
Катенёв Валентин Львович аватар
Не на сайте
Был на сайте: 7 лет 6 месяцев назад
Зарегистрирован: 22.03.2008 - 22:15
Публикации: 54876

Продолжение.

Приложения: 
1.m.slayd129.jpg2.m.slayd130.jpg3.m.slayd131.jpg4.m.slayd132.jpg5.m.slayd133.jpg6.m.slayd134.jpg7.m.slayd135.jpg8.m.slayd136.jpg9.m.slayd137.jpg10.m.slayd138.jpg11.m.slayd139.jpg12.m.slayd140.jpg13.m.slayd141.jpg14.m.slayd142.jpg15.m.slayd143.jpg16.m.slayd144.jpg
Катенёв Валентин Львович аватар
Не на сайте
Был на сайте: 7 лет 6 месяцев назад
Зарегистрирован: 22.03.2008 - 22:15
Публикации: 54876

Продолжение.

Приложения: 
1.ad_.slayd1_.jpg2.ad_.slayd2_.jpg3.ad_.slayd3_.jpg4.ad_.slayd4_.jpg5.ad_.slayd5_.jpg6.ad_.slayd6_.jpg