Факоматозы. Туберозный склероз, или синдром Бурневиля - Прингля 1. +

 Туберозный склероз, или синдром Бурневиля - Прингля.

 

Катенёв Валентин Львович аватар
Не на сайте
Был на сайте: 7 лет 4 месяцев назад
Зарегистрирован: 22.03.2008 - 22:15
Публикации: 54876

Продолжение.

Приложения: 
1.tu_..slayd27.jpg2.tu_..slayd28.jpg3.tu_..slayd29.jpg4.tu_..slayd30.jpg5.tu_..slayd31.jpg6.tu_..slayd32.jpg7.tu_..slayd33.jpg8.tu_..slayd34.jpg9.tu_..slayd35.jpg10.tu_..slayd36.jpg11.tu_..slayd37.jpg12.tu_..slayd38.jpg13.tu_..slayd39.jpg
Катенёв Валентин Львович аватар
Не на сайте
Был на сайте: 7 лет 4 месяцев назад
Зарегистрирован: 22.03.2008 - 22:15
Публикации: 54876

Продолжение.

Приложения: 
1.ts_.slayd94.jpg2.ts_.slayd95.jpg3.ts_.slayd96.jpg
Катенёв Валентин Львович аватар
Не на сайте
Был на сайте: 7 лет 4 месяцев назад
Зарегистрирован: 22.03.2008 - 22:15
Публикации: 54876

Туберозный склероз, или синдром Бурневиля - Прингля.

 

Приложения: 
1.tu_.slayd184.jpg2.tu_.slayd185.jpg
Катенёв Валентин Львович аватар
Не на сайте
Был на сайте: 7 лет 4 месяцев назад
Зарегистрирован: 22.03.2008 - 22:15
Публикации: 54876

Туберозный склероз

Приложения: 
1.tub_.slayd26.jpg2.tub_.slayd27.jpg3.tub_.slayd28.jpg4.tub_.slayd29.jpg
Катенёв Валентин Львович аватар
Не на сайте
Был на сайте: 7 лет 4 месяцев назад
Зарегистрирован: 22.03.2008 - 22:15
Публикации: 54876

Туберозный склероз

Приложения: 
1.tu_.slayd156.jpg2.tu_.slayd157.jpg3.tu_.slayd158.jpg4.tu_.slayd159.jpg5.tu_.slayd160.jpg
Катенёв Валентин Львович аватар
Не на сайте
Был на сайте: 7 лет 4 месяцев назад
Зарегистрирован: 22.03.2008 - 22:15
Публикации: 54876

 

Туберозный склероз (болезнь Бурневилля-Прингла, синдром Бурневилля - Брессау) - глиоз белого вещества мозга, проявляющийся в раннем детстве эпилептическими припадками (в 85%), олигофренией в сочетании с нараста­ющей пирамидной и экстрапирамидной симптоматикой, кожной патологией. В возрасте 4-6 лет на лице в форме бабочки в области носа обычно появляют­ся множественные желто-розовые или коричнево-красные узелки диаметром чуть больше 1 мм - аденомы Прингла, которые обычно признаются аденомами сальных желез, однако есть мнение и о том, что они представляют собой про­исходящую из нервных элементов кожи гамартрому.

На носу при этом возможны изменения по типу телеангиэктазий. Часто встречаются участки так называемой шагреневой кожи, пятна кофейного цве­та, зоны депигментации, полипы, участки фиброзной гиперплазии, возможны гамартромы языка, фиброзные бляшки на коже лба, волосистой части головы и округлые фибромы (опухоли Коэна) на пальцах ног, реже - рук. Нередко отмеча­ются диспластические черты, врожденные пороки развития, опухоли сетчатки и внутренних органов (в сердце, почках, в щитовидной и вилочковой железах и пр.).

На глазном дне возможны студенистые образования грязно-желтоватого цвета, напоминающие по форме тутовую ягоду, - глионевромы типа астроци-тарной гамартромы, ретинальный факоматоз. Иногда выявляются признаки застоя или атрофии дисков зрительных нервов.

На поверхности мозга наблюдаются единичные или множественные глиома-тозные узлы, по цвету несколько светлее окружающего мозга и плотнее его на ошупь, возможна их кальцификация. Узлы могут быть и в белом веществе, под­корковых ганглиях, а также в стволе мозга и в мозжечке.

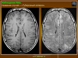
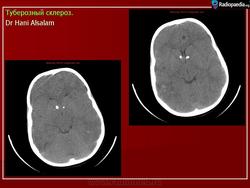
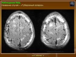
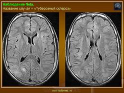
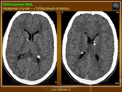
Встречаются и аномалии развития извилин мозга в виде микро- и пахигирии. Заболевание чаще носит спорадический характер. Бляшки достигают диаметра 5-20 мм. В коре больших полушарий и мозжечка иногда могут быть обнару­жены пластинчатые тельца, напоминающие амилоид. Происходит дегенерация клеток коры. При КТ-исследовании головы нередко можно выявить кальцифика-ты и глиальные узелки в паравентрикулярной области, субэпендимарно вдоль на­ружных стенок боковых желудочков, в зоне межжелудочкового отверстия Мон­ро, реже - в мозговой паренхиме. На М РТ головного мозга в 60% выявляются гипотеденсивные очаги в одной или обеих затылочных долях, которые расце­ниваются как участки неправильной миелинизации (Козлов А.В., 2002).

Признается, что заболевание наследуется по аутосомно-доминантному типу с неполной пенетрантностью мугантного гена. Описали его в 1862 г. француз­ский врач D.M. Bourneville (1840-1909) и в 1880 г. английский врач J.J. Pringle (1855-1922).

Катенёв Валентин Львович аватар
Не на сайте
Был на сайте: 7 лет 4 месяцев назад
Зарегистрирован: 22.03.2008 - 22:15
Публикации: 54876
Катенёв Валентин Львович аватар
Не на сайте
Был на сайте: 7 лет 4 месяцев назад
Зарегистрирован: 22.03.2008 - 22:15
Публикации: 54876

У детей.

http://www.ajnr.org/content/20/5/907.full

Туберозный склероз в сочетании с фиброзной дисплазией

http://www.ajnr.org/content/24/5/835.full

 

Катенёв Валентин Львович аватар
Не на сайте
Был на сайте: 7 лет 4 месяцев назад
Зарегистрирован: 22.03.2008 - 22:15
Публикации: 54876

Продолжение.

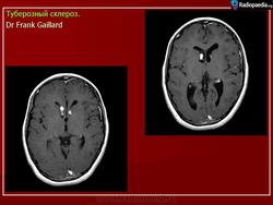
https://radiopaedia.org/images/26392

Случаи и цифры

  •  
    Случай 1: с субэпидемическими конкрециями
  •  
    Случай 2: с корковыми клубнями
  • Angiomyolipomas
     
    Случай 3: почечная ангиомиолипомата
  • Сердечный рабдом ...
     
    Случай 4: сердечные rhabodmyomas
  • Туберный склеро ...
     
    Случай 5: с почечным ангиомиолипоматом
  •  
    Случай 6: с субэпидемическими конкрециями
  • Mulitple angiomyo ...
     
    Случай 7: mulitple angiomyolipomata
  • Туберный склеро ...
     
    Случай 8
  • Туберкулезный склероз
     
    Случай 9
  •  
    Случай 10
  • Туберкулезные склерозы ...
     
    Случай 11
  •  
    Случай 12
  •  
    Случай 12: показ почечной AML
  •  
    Случай 13
  •  
    Случай 14
  •  
    Случай 15
  •  
    Случай 16
  • Неконтрастные ...
     
    Случай 17: с факомами сетчатки
  •  
    Случай 18: укрепление клубней
  •  
    Случай 19
  •  
    Случай 20
  •  
    Случай 21: с субэпидемическими кальцинированными гамартомами
  •  
    Случай 22: с кальцинированными субэпидемическими конкрециями и склеротическими поражениями кости
  • двусторонние увеличить ...
     
    Случай 23
  •  
    Случай 24
  •  
    Случай 25: Пренатальные кардиальные рабдомиомы в клубневом склерозе (пренатальные и неонатальные данные)