Арахноидальная киста. Часть иллюстративного материала, по данной нозологии, по ссылке - Пт, 19/08/2011 - 19:49 #1 Катенёв Валенти... Не на сайте Был на сайте: 6 лет 11 месяцев назад Зарегистрирован: 22.03.2008 - 22:15 Публикации: 54876 Арахноидальная киста.Приложения: Пнд, 21/11/2011 - 00:24 #2 Катенёв Валенти... Не на сайте Был на сайте: 6 лет 11 месяцев назад Зарегистрирован: 22.03.2008 - 22:15 Публикации: 54876 Арахноидальная киста.Приложения: Сб, 17/12/2011 - 21:54 #3 Катенёв Валенти... Не на сайте Был на сайте: 6 лет 11 месяцев назад Зарегистрирован: 22.03.2008 - 22:15 Публикации: 54876 Арахноидальная киста.Приложения: Вс, 25/12/2011 - 15:37 #4 Катенёв Валенти... Не на сайте Был на сайте: 6 лет 11 месяцев назад Зарегистрирован: 22.03.2008 - 22:15 Публикации: 54876 Арахноидальная киста.Приложения: Ср, 11/04/2012 - 23:36 #5 Катенёв Валенти... Не на сайте Был на сайте: 6 лет 11 месяцев назад Зарегистрирован: 22.03.2008 - 22:15 Публикации: 54876 Арахноидальная киста.Приложения: Пт, 10/08/2012 - 23:34 #6 Катенёв Валенти... Не на сайте Был на сайте: 6 лет 11 месяцев назад Зарегистрирован: 22.03.2008 - 22:15 Публикации: 54876 Арахноидальные кистыПриложения: Втр, 27/08/2013 - 18:37 #7 Катенёв Валенти... Не на сайте Был на сайте: 6 лет 11 месяцев назад Зарегистрирован: 22.03.2008 - 22:15 Публикации: 54876 Арахноидальная киста ID: 22682 Arachnoid cyst Dr David Ferreira - 16 Apr 2013 These images are compatible with an arachnoid cyst, which is commonly an... ID: 17261 Arachnoid cyst Dr Prashant Gupta - 30 Mar 2012 Important points to look for : is the vermis well formed does the cyst ... ID: 19312 Arachnoid cyst Dr David Puebla - 25 Aug 2012 Пт, 28/03/2014 - 23:34 #8 Dima Не на сайте Был на сайте: 7 лет 1 месяц назад Зарегистрирован: 05.08.2012 - 17:39 Публикации: 2467 В первом (зеленом) наборе изображений, как-то не арахноидальная киста, больше на пахионовую грануляцию похоже. Терпимость - это когда прощают чужие ошибки; такт - когда не замечают их. (Артур Шницлер) Сб, 10/03/2018 - 22:45 #9 Катенёв Валенти... Не на сайте Был на сайте: 6 лет 11 месяцев назад Зарегистрирован: 22.03.2008 - 22:15 Публикации: 54876 http://www.nejm.org/doi/full/10.1056/NEJMicm1413067 Приложения: Пнд, 12/03/2018 - 15:45 #10 Катенёв Валенти... Не на сайте Был на сайте: 6 лет 11 месяцев назад Зарегистрирован: 22.03.2008 - 22:15 Публикации: 54876 Arachnoid Cyst Imaging https://emedicine.medscape.com/article/336489-overview
Арахноидальная киста.
Арахноидальная киста.
Арахноидальная киста.
Арахноидальная киста.
Арахноидальная киста.
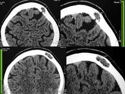
Арахноидальные кисты
Арахноидальная киста
ID: 22682 Arachnoid cyst Dr David Ferreira - 16 Apr 2013 These images are compatible with an arachnoid cyst, which is commonly an...
ID: 17261 Arachnoid cyst Dr Prashant Gupta - 30 Mar 2012 Important points to look for : is the vermis well formed does the cyst ...
ID: 19312 Arachnoid cyst Dr David Puebla - 25 Aug 2012
В первом (зеленом) наборе изображений, как-то не арахноидальная киста, больше на пахионовую грануляцию похоже.
Терпимость - это когда прощают чужие ошибки; такт - когда не замечают их. (Артур Шницлер)
http://www.nejm.org/doi/full/10.1056/NEJMicm1413067
Arachnoid Cyst Imaging
https://emedicine.medscape.com/article/336489-overview