ГМ. Сосудистое сплетение. Папилломы сосудистых сплетений. Кисты и псевдокисты. Другое. +

Папилломы сосудистых сплетений.

Катенёв Валентин Львович аватар
Не на сайте
Был на сайте: 7 лет 5 месяцев назад
Зарегистрирован: 22.03.2008 - 22:15
Публикации: 54876

Папилломы сосудистых сплетений.

Приложения: 
1.p.slayd153.jpg2.p.slayd154.jpg3.p.slayd155.jpg4.p.slayd156.jpg5.p.slayd157.jpg6.p.slayd158.jpg7.p.slayd159.jpg8.p.slayd160.jpg9.p.slayd161.jpg10.p.slayd162.jpg11.p.slayd163.jpg12.p.slayd164.jpg13.p.slayd165.jpg14.p.slayd166.jpg15.p.slayd167.jpg16.p.slayd168.jpg17.p.slayd169.jpg
Катенёв Валентин Львович аватар
Не на сайте
Был на сайте: 7 лет 5 месяцев назад
Зарегистрирован: 22.03.2008 - 22:15
Публикации: 54876

Папилломы сосудистых сплетений.

Приложения: 
1.papp_.slayd50.jpg2.papp_.slayd51.jpg3.papp_.slayd52.jpg4.papp_.slayd53.jpg
Катенёв Валентин Львович аватар
Не на сайте
Был на сайте: 7 лет 5 месяцев назад
Зарегистрирован: 22.03.2008 - 22:15
Публикации: 54876

Папилломы сосудистых сплетений.

Приложения: 
1.pap_.slayd308.jpg2.pap_.slayd309.jpg3.pap_.slayd310.jpg
Катенёв Валентин Львович аватар
Не на сайте
Был на сайте: 7 лет 5 месяцев назад
Зарегистрирован: 22.03.2008 - 22:15
Публикации: 54876

Папилломы сосудистых сплетений.

 

Приложения: 
1.pap_.slayd195.jpg2.pap_.slayd196.jpg3.pap_.slayd197.jpg4.pap_.slayd198.jpg5.pap_.slayd199.jpg
Катенёв Валентин Львович аватар
Не на сайте
Был на сайте: 7 лет 5 месяцев назад
Зарегистрирован: 22.03.2008 - 22:15
Публикации: 54876

 

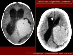
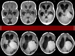
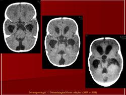
Хориоид папиллома макроскопически имеет вид «цветной капусты», т. е. узла с мелкогранулярной дольчатой поверхностью, темно-красного цвета, плотной консистенции с преимущественной локализацией в просвете желудочков. Опухоль хорошо отграничена от стенок желудочка и имеет тесную связь с сосудистым сплетением. Исключение составляет хориоидкарцинома, которая прорастает мозговое вещество на большом протяжении. Значительная часть этих новообразований локализуется пара- и перивентрикулярно. Под микроскопом типичная хориоидпапиллома имеет строение, аналогичное структуре ворсин сосудистого сплетения. Она представлена скоплениями сосочков различного размера и формы. Сосочки обладают стромой в виде сосудистого стержня и выстланы слоем многорядного хориоидного эпителия.

Злокачественная (анапластическая) хориоидпапиллома имеет признаки атипии, которые проявляются в виде сосочков с многочисленными выростами, покрытыми многослойным цилиндрическим эпителием, ядра клеток которого гиперхромные, полиморфные, в них выявляются фигуры митотического деления.

Катенёв Валентин Львович аватар
Не на сайте
Был на сайте: 7 лет 5 месяцев назад
Зарегистрирован: 22.03.2008 - 22:15
Публикации: 54876

Папилломы сосудистых сплетений.

Приложения: 
1.pap_.slayd200.jpg2.pap_.slayd201.jpg3.pap_.slayd202.jpg
Катенёв Валентин Львович аватар
Не на сайте
Был на сайте: 7 лет 5 месяцев назад
Зарегистрирован: 22.03.2008 - 22:15
Публикации: 54876

Папилломы сосудистых сплетений.

Приложения: 
1.pap_..slayd203.jpg
Катенёв Валентин Львович аватар
Не на сайте
Был на сайте: 7 лет 5 месяцев назад
Зарегистрирован: 22.03.2008 - 22:15
Публикации: 54876

Папилломы сосудистых сплетений.

Приложения: 
1.pap_.slayd34.jpg2.pap_.slayd35.jpg3.pap_.slayd36.jpg4.pap_.slayd37.jpg
Катенёв Валентин Львович аватар
Не на сайте
Был на сайте: 7 лет 5 месяцев назад
Зарегистрирован: 22.03.2008 - 22:15
Публикации: 54876

Хориоидкарцинома

Приложения: 
1.hor_.slayd9_.jpg2.hor_.slayd10.jpg
Катенёв Валентин Львович аватар
Не на сайте
Был на сайте: 7 лет 5 месяцев назад
Зарегистрирован: 22.03.2008 - 22:15
Публикации: 54876

Продолжение

Приложения: 
0.7.cover_.gif11.10102011qz_leftb._sosudistogo_spleteniya_papilloma.jpg12.10102011qz_rightb._sosudistogo_spleteniya_papilloma.jpg
Катенёв Валентин Львович аватар
Не на сайте
Был на сайте: 7 лет 5 месяцев назад
Зарегистрирован: 22.03.2008 - 22:15
Публикации: 54876
Катенёв Валентин Львович аватар
Не на сайте
Был на сайте: 7 лет 5 месяцев назад
Зарегистрирован: 22.03.2008 - 22:15
Публикации: 54876

Патология сосудистого сплетения у детей

http://www.ajronline.org/doi/full/10.2214/AJR.08.1128

Катенёв Валентин Львович аватар
Не на сайте
Был на сайте: 7 лет 5 месяцев назад
Зарегистрирован: 22.03.2008 - 22:15
Публикации: 54876
min130305-7.jpgmin130706-8++.jpg  
M.  6 m. Papiloma do plexo coróide do ventrículo lateral Idem, macro, estereoscopia sob lupa, HE, colorações especiais  
Катенёв Валентин Львович аватар
Не на сайте
Был на сайте: 7 лет 5 месяцев назад
Зарегистрирован: 22.03.2008 - 22:15
Публикации: 54876

Псевдокисты сосудистого сплетения

Los plexos coroideos son una estructura anatómica que se localiza en los ventrículos encefálicos cuya función más importante es producir el Líquido Cefalorraquídeo que fluye por el espacio subaracnoideo. Están formados por una tupida red de capilares sanguíneos, envuelta por una capa de células epiteliales de aspecto cuboideo, derivadas de las células ependimarias que tapizan la superficie interna de los ventrículos (Figura 1). Estos plexos coroideos, se sitúan en la cavidad de los ventrículos laterales, en el tercero y en el cuarto.
 
Coroideo+000.png
FIGURA 1) Representación pictórica figurada de los plexos coroideos, formados por una empalizada de células poligonales que envuelven a una tupida red de capilares sanguíneos.
(Figurative pictorial representation of the choroid plexus, formed by a palisade of polygonal cells that surround a dense network of capillaries)
 

 Los plexos coroideos suelen verse en los fetos y neonatos mediante ecografía y en los adultos se reconocen fácilmente mediante TC y TRM porque, en ellos se acumulan depósitos cálcicos en el estroma conjuntivo que forma el núcleo central (Figuras 2 y 3).
 
Coroideo+9.png
FIGURA 2) Calcificaciones típicas, normales, en los plexos coroideos de los ventriculos laterales. Suelen observarse en personas jóvenes  y su presencia aumenta con la edad.
(Normal calcifications typical in the choroid plexus of the lateral ventricles. Commonly observed in young people and its presence increases with age)
 
coroideo+6.png
FIGURA 3) Los valores de atenuación son propios de los conglomerados cálcicos densos (180 a 250 UH), como los de la glándula pineal.
(The CT attenuation values ​​are typical of calcium dense conglomerates (180 to 250 UH), like those of the pineal gland)

En algunas ocasiones los depósitos de calcio son tan grandes que pueden confundirse con algún tipo de neoplasia como los papilomas de los plexos coroideos. Una de la formas de presentación más llamativas recuerda a grandes quistes calcificados. Estos seudoquistes están delimitados por una cápsula gruesa con calcificaciones y en su interior contienen xantogranulomas inflamatorios. Estos xantogranulomas (similares a los que se aprecian en la pielonefritis zantogranulomatosa) están constituidos por microquistes neuroepiteliales que se forman como respuesta  a la descamación de las células epiteliales que revisten a los plexos. Los seudoquistes contienen también lípidos, exudados y restos hemáticos. A continuación se muestran algunos casos de seudoquistes xantogranulomatosos gigantes, tal como se observan en las imágenes de TC y TRM.

Coroideo+8.png
FIGURA 4) En ocasiones, y especialmente en los ancianos, los depósitos de calcio se disponen en forma de un anillo de calcificaciones grumosas. Se conocen como quistes gigantes pero en realidad no lo son.(Sometimes, especially in the elderly persons, calcium deposits are arranged as a ring of coarse calcifications. They are known as giant cysts but really are not)
 
Coroideo+1.png

 

FIGURA 4-a) Realmente son seudoquistes inflamatorios que se forman por conglomerados de pequeños quistes. Están rodeados de una capa de depósitos de calcio.
(Really they are formed by conglomerates of small cysts, clothed with a covering of calcium deposits)

 

Coroideo+8a.png

FIGURA 4-b) Imagen FSE-T2 (Flechas)
FSE-T2 Image (Arrows)
 

coroideo+8+b.png
FIGURA 4-c) Imagen FLAIR-T2 (Flechas). Pueden aparecer hiperintensos dependiendo de la composición, más o menos densa de los quistes.
FSE-T2 Image (Arrows) (Hyperintense They may appear depending on the composition, more or less dense cysts)

 

coroideo+8b.png
FIGURA 4-d) Imagen potenciada en Difusión Isotrópica. Aparecen como dos nódulos hiperintensos en el interior de los ventrículos laterales.
(Isotropic Diffusion Enhanced Image.DWI They appear as two hyperintense nodes within the lateral ventricles)

 

Coroideo+7.png
FIGURA 5) Aspecto de los seudoquistes calcificados de los plexos coroideos. No deben ser confundidos con otro tipo de lesiones. Son un hallazgo normal en personas mayores.
(Appearance of calcified pseudocysts  of choroid plexus. Not to be confused with other types of lesions. It is a normal finding in older persons)

 

Coroideo+7a.png

FIGURA 5-a) Más imágenes.
(More images)

Coroideo+0000.png
FIGURA 6) La estructura macróscopica de estos seudoquistes de los plexos coroideos recuerda a la de una granada: un conglomerado de pequeños quistes, separados por tabiques calcificados y rodeados por una corteza gruesa que le confiere el aspecto quístico.
(The macroscopic structure of these pseudocysts of the choroid plexus resembles that of a grenade: a conglomerate of small cysts, separated by septa calcified and surrounded by a thick crust that gives the cystic appearance)

 

coroideo+5+a.png

FIGURA 7-a) TRM.Seudoquiste gigante en el atrio ventricular.
(MRI.A giant pseudocyst into ventricular atrium)
 

Coroideo+5b.png
FIGURA 7-b) TRM. Los seudoquistes son tan grandes que llegan a ocupar la mitad de los ventrículos laterales. Aún así no deben alarmar. 
(MRI. In this T2 FLAIR image, pseudocysts are so large as to occupy half of the lateral ventricles. Nevertheless should not alarm)

 

Coroideo+5c.png
FIGURA 7-c) TRM. Los seudoquistes aparecen hiperintensos en esta imagen potenciada en Difusión Isotrópica.
(MRI. Pseudocysts appear hyperintense on this Isotropic Diffusion Weighted Image.DWI)

 

Coroideo+2+aa.png
FIGURA 8) TRM. En las imágenes con contraste endovenoso se produce un ligero realce de la seudocápsula y de los septos internos. No está indicado el uso de contraste. En este caso se inyectó por otra causa.
(MRI.On images with intravenous contrast there is a slight enhancement of the pseudocapsule and internal septa. It is a very different finding compared with papillomas or other choroidal tumors that are enhanced intensely)

 

Coroideo+2+b.png

FIGURA 8-a) TRM.Imagen postcontraste ampliada.
(MRI.The same image magnified)
 

Coroideo+3.png

 FIGURA 9) TRM.Otro caso distinto postcontraste.
(MRI. Postcontrast image)

Катенёв Валентин Львович аватар
Не на сайте
Был на сайте: 7 лет 5 месяцев назад
Зарегистрирован: 22.03.2008 - 22:15
Публикации: 54876

Физиологические кальцификации сосудистого сплетения четвертого желудочка мозга

La calcificación fisiológica de los plexos coroideos del IV ventrículo encefálico, es uno de los hallazgos más frecuentes que se descubren en las exploraciones de Tomografía Computarizada craneoencefálica. Los Técnicos y Radiólogos están muy familiarizados con esta singularidad y la reconocen de inmediato como algo normal. Sin embargo, las calcificaciones de los plexos coroideos que discurren por los conductos de Luskha son fuente de error diagnóstico, debido a su peculiar aspecto lineal que simula un trayecto vascular. Por su morfología alargada y la situación a ambos lados del tronco del encéfalo, suelen confundirse con las arterias vertebrales ateromatosas (Figura 1). Parece un detalle de poca importancia, pero cuando se le dice a una persona, que no tiene nada grave, aunque sus arterias están ateromatosas es lógico que muestre cierta inquietud. Así que, cuando alguién nos corrige, surge la duda y nos preguntamos ¿cómo pueden estar los plexos coroideos del IV ventrículo en una situación tan caudal? En los siguientes apartados se muestran algunas imágenes demostrativas de este singular detalle anatómico.

 

Bochdalek+5.png
FIGURA 1) Imágenes típicas de los plexos coroideos calcificados de los conductos de Luschka, tal como se aprecian en una exploración de TC craneoencefálica.
(Typical appearance of the calcified choroid plexus of Luschka´s foramina, as seen on cranioencephalic Computed Tomography)
 

Los plexos coroideos del IV ventrículo se sitúan en la porción más caudal del mismo. Emiten unas prolongaciones que se introducen en los conductos laterales de Luschka y afloran ventralmente en las incisuras bulbo-cerebelosas. Los nombres con los que se conoce a estas estructuras bilaterales formadas por los conductos y los plexos coroideos, es un tanto grandilocuente: Cuernos de la Abundancia o Cestos de Flores de Bochdalek. El cuerno de la abundancia es un símbolo mítológico de los antiguos griegos que se representa por un cuerno de cabra, de cuyo extremo surgen todo tipo de frutos y flores. Los conductos de Lushka también tienen forma de cuerno, cuya punta se origina en los recesos laterales del cuarto ventrículo; el cuerpo se incurva en sentido anterior y del extemo distal ampular surgen los plexos coroideos en forma de dos yemas rojizas que los neurocirujanos pueden apreciar a simple vista. Es comprensible que a los anatomistas que contemplaran por primera vez, las prominencias rojizas de los plexos coroideos asomando en el extremo de los conductos de Luschka, les recordasen un ramo de flores rojas.  El nombre de Bochdalek se puso en honor de Vincent Alexander Bochdalek, anatomista y cirujano, nacido en Praga en el año 1801. En las siguientes imágenes 2 y 3 se representa el trayecto de los conductos y la emergencia de los plexos que tan frecuentemente se aprecian calcificados en las imagenes de Tomografía Computarizada.
 
FIGURA 2) Representación pictórica figurada de los conductos de Luschka emergiendo de los recesos laterales del IV ventrículo

((Pictorial representation, in coronal projection, of Luschka´s foramina emerging from the lateral recesses of the fourth ventricle, and the Flower Baskets of Bochdalek at their ends)
 

Bochdalek+2.png
FIGURA 3) Representación pictórica, en proyección axial, de los conductos de Luschka emergiendo de los recesos laterales del IV ventrículo, y los ramos de flores de Bochdalek en sus extremos.

(Pictorial representation, in axial projection, of Luschka´s foramina emerging from the lateral recesses of the fourth ventricle, and the Flower Baskets of Bochdalek at their ends)

 
ASPECTO DE LOS PLEXOS COROIDEOS DE BOCHDALEK EN TOMOGRAFÍA COMPUTARIZADA. 

Los plexos coroideos que afloran por los conductos de Luschka sólo son visibles, en las imágenes de Tomografía Computarizada, en las personas mayores, cuando se calcifican.
 
Bochdalek+4.png
FIGURA 4) Calcificación de los plexos coroideos en el IV ventrículo y en el conducto de Luschka derecho.
 (Calcifications of the choroid plexus in the fourth ventricle and right foramen of Luschka)
 
Bochdalek+3.png

FIGURA 5) Calcificaciones de los plexos de Bochdalek (cesto de flores)
 (Calcifications of the Bochdalek´s choroid plexus -Flower Baskets).
 

Bochdalek+6.png
FIGURA 6) En esta imagen se aprecia la comunicación de los plexos calcificados de Bochdalek, con los del IV ventrículo, a través de los conductos de Luschka.
(This image shows the calcified Bochdalek plexus, communicating, with the fourth ventricle through Luschka´s foramina)

TC+bochdalek+con+contraste.png
FIGURA 7) En esta imagen con contraste yodado endovenoso se observan realzados los plexos de Bochdalek.
(On this image with iodinated contrast we can see the enhancement of  the Bochdalek plexus, through Luschka´s foramina)

 

ASPECTO DE LOS PLEXOS COROIDEOS DE BOCHDALEK EN TOMOGRAFÍA POR RESONANCIA MAGNÉTICA (TRM)

 

En las imágnes de Tomografía por Resonancia Magnética, (TRM), el aspecto cambia por completo. No se aprecian las calcificaciones, como es lógico, pero sí se observan los plexos,  como unas estructuras alargadas que pueden confundirse con tumores de los pares craneales, con los que están en contacto, como el Glosofaríngeo (Figura 8). Aparecen isointensos, con el parénquima cerebeloso en todas las potenciaciones. Cuando se conocen estas estructuras, ya no hay equivocación posible. 
Bochdalek+13.png
FIGURA 8) Secuencia FIESTA (GE) potenciada en T2*. Los plexos de Bochdalek se aprecian como dos prominencias alargadas que contactan con los nervios Glosofaríngeos.
(FIESTA (GE) T2 * weighted sequence. Bochdalek plexuses are seen as two elongated prominences that contact with Glossopharyngeal nerves)

 

Bochdalek+14.png
FIGURA 9) Representación figurada de los "Cuernos de la abundancia" formados por los conductos de Luschka, representados en color amarillo, y su contenido,  en rojo, los plexos de Bochdalek que afloran en su extremo distal.
(Pictorial representation of the "horns of plenty" formed by Luschka´s foramina, in yellow, and its contents, in red, theBochdalek plexus that emerge at its distal end)
Bochdalek+1.png

FIGURA 10) Los plexos coroideos de Bochdalek tal como se ven en una imagen de TRM, secuencia de Eco de Gradiente potenciada en T2* (GR-T2*).
(Bochdalek´s choroid plexus as seen in an MRI, pulse sequence GR-T2 *)

Bochdalek+7.png
FIGURA 11) Aspecto de los plexos, con la secuencia multieco (Fast Spin Eco) FSE potenciada en Densidad Protónica.
(Appearance of the plexus with (Fast Spin Echo) FSE Proton Density, weighted sequence)

 

Bochdalek+8.png

FIGURA 12) Aspecto en una imagen de Espín Eco, potenciada en T2 (FSE-T2)
(Appearance of the plexus with FSE-T2 weighted sequence)
 

Bochdalek+10.png

FIGURA 13) Aspecto en la secencia FLAIR-T2.
(Appearance of the plexus with FLAIR-T2 weighted sequence).
 

Bochdalek+9.png

FIGURA 14) Aspecto en la secuencia EPI potenciada en Difusión Isotrópica (EPI-DWI).
(Appearance of the plexus with EPI-DWI).
 

plexos+de+Bochdalek++Gd.png

FIGURA 15) Aspecto en la secuencia FSE-T1 con contraste Gadolinio.
(Appearance of the plexus in FSE-T1 Gd).
 

Bochdalek+11.png
FIGURA 16) Aspecto globuloso de los plexos de Bochdalek, en una persona joven. Secuencia FSE-T2. Por su aspecto pueden simular algún tumor de los pares craneales.
(Globular aspect of Bochdalek plexus, in a young person. FSE-T2 sequence. For its appearance may simulate a tumor of the cranial nerves).
 
Bochdalek+12.png

FIGURA 17) Aspecto de los plexos de la misma persona joven, en la secuencia FLAIR-T2.
 (Globular aspect of Bochdalek plexus, in the same person. FSE-T2 sequence).

Hospital Universitario Miguel Servet (HUMS) Zaragoza. Spaiñ 

Катенёв Валентин Львович аватар
Не на сайте
Был на сайте: 7 лет 5 месяцев назад
Зарегистрирован: 22.03.2008 - 22:15
Публикации: 54876

Хориоидкарцинома.

Приложения: 
1.uu_.slayd110.jpg
Катенёв Валентин Львович аватар
Не на сайте
Был на сайте: 7 лет 5 месяцев назад
Зарегистрирован: 22.03.2008 - 22:15
Публикации: 54876

Хориоидпапиллома

Приложения: 
1.uu_.slayd106.jpg