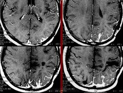
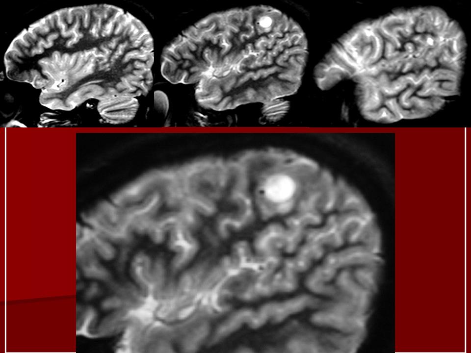
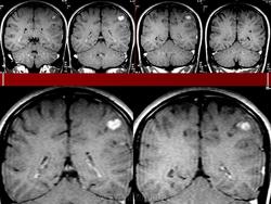
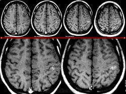
ГМ. Миксоидная саркома. +

Миксоидная саркома.

Катенёв Валентин Львович аватар
Не на сайте
Был на сайте: 6 лет 11 месяцев назад
Зарегистрирован: 22.03.2008 - 22:15
Публикации: 54876

Миксоидная саркома.

Приложения: 
1.m.slayd191.jpg2.m.slayd192.jpg3.m.slayd193.jpg4.m.slayd194.jpg5.m.slayd195.jpg6.m.slayd196.jpg7.m.slayd197.jpg8.m.slayd198.jpg9.m.slayd199.jpg10.m.slayd200.jpg11.m..slayd201.jpg12.m.slayd202.jpg13.m..slayd203.jpg
Катенёв Валентин Львович аватар
Не на сайте
Был на сайте: 6 лет 11 месяцев назад
Зарегистрирован: 22.03.2008 - 22:15
Публикации: 54876

Миксоидная саркома.

Приложения: 
1.u.slayd1_.jpg2.u.slayd2_.jpg3.u.slayd3_.jpg4.u.slayd4_.jpg5.u.slayd5_.jpg6.u.slayd6_.jpg7.u.slayd7_.jpg8.u.slayd8_.jpg9.u.slayd9_.jpg10.u.slayd10.jpg