ОГК. Легочные кисты. +

Легочные кисты.

Катенёв Валентин Львович аватар
Не на сайте
Был на сайте: 7 лет 3 месяцев назад
Зарегистрирован: 22.03.2008 - 22:15
Публикации: 54876

Воздушные кисты

Приложения: 
1.vk_.slayd46.jpg
Катенёв Валентин Львович аватар
Не на сайте
Был на сайте: 7 лет 3 месяцев назад
Зарегистрирован: 22.03.2008 - 22:15
Публикации: 54876

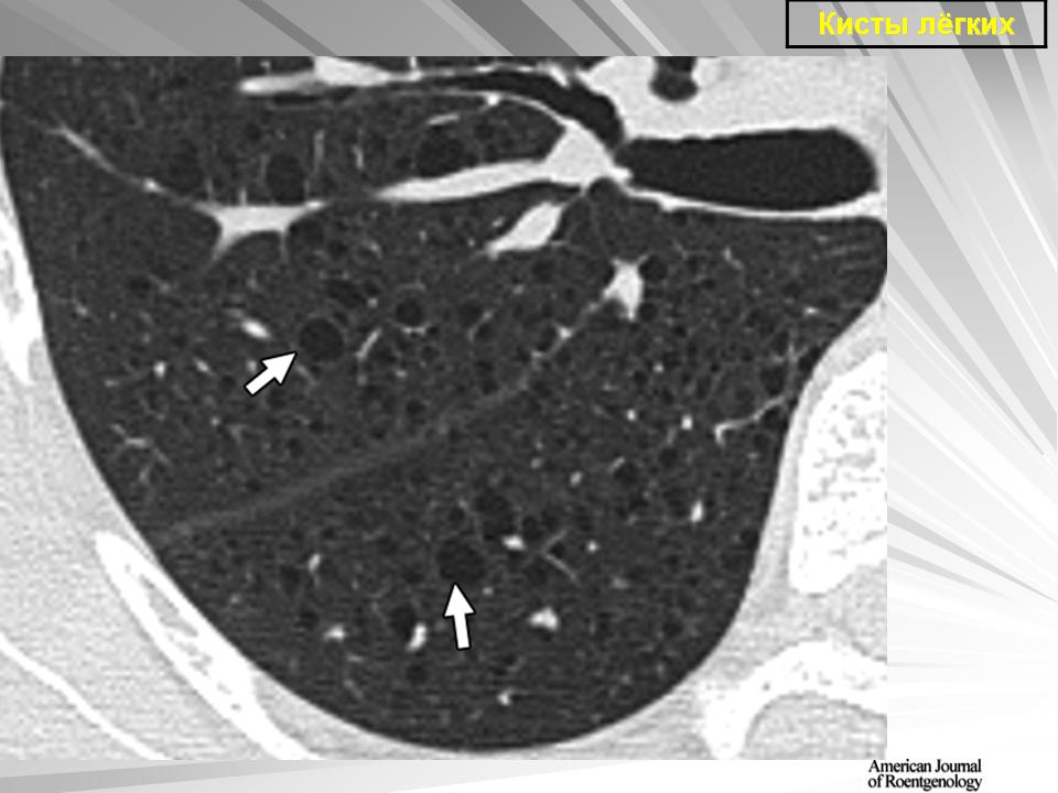
Легочные кисты.

Приложения: 
1.ki_.slayd107.jpg2.ki_.slayd108.jpg3.ki_.slayd109.jpg
Катенёв Валентин Львович аватар
Не на сайте
Был на сайте: 7 лет 3 месяцев назад
Зарегистрирован: 22.03.2008 - 22:15
Публикации: 54876

Продолжение.

Приложения: 
1.voz_.slayd82.jpg2.voz_.slayd83.jpg
Катенёв Валентин Львович аватар
Не на сайте
Был на сайте: 7 лет 3 месяцев назад
Зарегистрирован: 22.03.2008 - 22:15
Публикации: 54876

Gurajala R, Chaudhuri N, Carr M         

Приложения: 
7._inficirovannaya_bulla.jpg8._inficirovannaya_bulla..jpg9._inficirovannaya_bulla.jpg
Катенёв Валентин Львович аватар
Не на сайте
Был на сайте: 7 лет 3 месяцев назад
Зарегистрирован: 22.03.2008 - 22:15
Публикации: 54876

Булла.

 

Приложения: 
slayd6789.jpgslayd7789.jpg
Катенёв Валентин Львович аватар
Не на сайте
Был на сайте: 7 лет 3 месяцев назад
Зарегистрирован: 22.03.2008 - 22:15
Публикации: 54876

Продолжение.

Приложения: 
3.yy_.slayd251.jpg3.yy_.slayd254.jpg
Катенёв Валентин Львович аватар
Не на сайте
Был на сайте: 7 лет 3 месяцев назад
Зарегистрирован: 22.03.2008 - 22:15
Публикации: 54876

Ретенционная киста. Наблюдение Катенёва В.Л.

Контроль после флюорографии.

 

Приложения: 
1.p9250043.jpg2.p9250044.jpg3.p9250045.jpg4.p9250046.jpg5.p9250047.jpg6.p9250048.jpg7.p9250048a.jpg
Катенёв Валентин Львович аватар
Не на сайте
Был на сайте: 7 лет 3 месяцев назад
Зарегистрирован: 22.03.2008 - 22:15
Публикации: 54876

Продолжение.

 

Приложения: 
slayd38yaya.jpgslayd39yaya.jpgslayd40yaya.jpgslayd41yaya.jpg