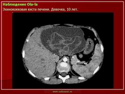
Камалова К.Ц., Шрестха Х.К., Котляров П.М. ФГУ «Российский научный центр рентгенорадиологии федерального агентства по здравоохранению и социальному развитию Российской Федерации» (г. Москва).
Введение
Эхинококкоз - паразитарная болезнь, эндемичная во многих регионах. Эхинококковая инвазия может поражать любую часть тела и проявляться различно в зависимости от стадии развития, сопутствующих осложнений, а также ответной реакции организма больного. Эхинококкоз представляет серьезную медицинскую и социальную проблему во многих странах мира, России, где сохраняются большие эндемические очаги, и наблюдается рост числа заболевших. Болезнь поражает практически все органы и системы организма (ProiettiS. etal., 2000; BoureeP., 2001; PolarР. etal., 2003; Белышева Е.С. и соавт., 2003).
Цель исследования:
Разработать новые и усовершенствовать известные признаки эхинококкоза печени по данным комплексного применения методов лучевой диагностики.
Задачи исследования:
1. Разработать методику магнитно – резонансной томографии при подозрении на эхинококк, семиотику заболевания.
2. Систематизировать общую и частную семиотику эхинококкового поражения печени по данным лучевых методов исследования.
Материалы и методы
Проанализированы данные лучевой диагностики 19 больных Э печени, у 4 из которых они сочетались с поражением легкого. У большинства - 13 пациентов - заболевание выявлено в процессе скринингового УЗ обследования, при котором в печени выявлено кистозное образование. 3 больных проходили исследование по поводу “увеличения живота”, болей в правом подреберье (2 больных), эозинофилии, субфибрилитета неясной этиологии (1 больной). В таблице 1 представлены варианты макроструктуры Э кист выявленных при УЗИ.
таблица 1
Варианты эхинококковых кист печени в ультразвуковом изображении
вид
к-во
взвесь
толст.капсула
кальцинаты
дилж/прот
сегменты
киста
4
2
3
-
-
6,7
многокамерная киста
9
8
6
-
3
5,6,7,8
солидное образование
полукольцо обизвестления
2
4
-
-
-
-
2
4
-
-
5
6,7
Как видно из таблицы, эхинококкоз печени наиболее часто выглядел многокамерным кистозным образованием, для которого было характерно наличие эхогенных перегородчатых структур, соответствовавших развитию дочерних эхинококковых кист за счет развития паразита (рис. 1).
Рис. 1. Эхинококковая киста, УЗИ, серая шкала – многокамерное кистозное образование с эхогенной взвесью
Размер Э данного вида колебался от 5 до 12 см в диаметре. Наряду с характерными перегородчатыми структурами у 8 больных дополнительно выявлялась эхогенная взвесь, свободно перемещавшаяся в кисте при перемене положения тела пациента - возникал симптом “снежной бури”. Взвесь представляла микрочастицы диаметром до 0,5мм.. У 6 пациентов многокамерность сочеталась с наличием двухслойной капсулы по периферии Э (рис. 1). Толщина капсулы была равномерна по всему периметру, составляя 1,5- 2 мм. Наружный слой капсулы был более тонким чем внутренний, более высокой эхогенности и в виде непрерывного кольца охватывал Э. Контуры ее могли быть волнистыми или овоидной формы. Между наружным слоем капсулы и тканью печени у 3 пациентов имелось щелевидное гипоэхогенное пространство толщиной до 1,5мм. Внутренний слой капсулы имел более низкую эхогенность, состоял из набора отдельных элементов точечного, линейного характера с небольшими промежутками между ними. Данная макроструктура вероятно соответствовала назначению кутикулярной оболочки - развитию новых паразитов внутри материнской матрицы. УЗИ не выявило в данной группе Э наличия признаков обизвестления в капсуле, что вероятно связано с активной фазой жизни Э, для которой наличие признаков отложения солей кальция в хитиновой оболочке не характерно. У 3 пациентов с локализацией эхинококка в области ворот (5,8 сегменты) и размером более 10см в диаметре УЗИ выявляло дилатацию внутрипеченочных желчных протоков за счет сдавления печеночного протока правой доли печени. При этом возникал характерный симптом ”двустволки” - по верхнему краю внутрипеченочной ветви портальной вены правой доли печени прослеживалась линейная гипоэхогенная структура, соответствовавшая ходу внутрипеченочного желчного протока. Диаметр расширенного протока соответствовал или превышал в 1,5 -2 раза диаметр соответствовавшей ветви портальной вены. Как показали сопоставления с морфологическими исследованиями послеоперационного материала, данный вид Э в ультразвуковом изображении был наиболее патогномоничен для эхинококковой кисты.
Другие варианты макроструктуры Э встречались значительно реже.
Э в виде простой кисты наблюдался у 6 больных и был вторым по частоте встречаемости - при ультразвуковом исследовании в одном из сегментов печени выявлялось анэхогенное образование размерами от 3 до 5 см. Высказать предположение о паразитарном характере образования удалось у 4 пациентов.В 1 случае внутри кистозного образования выявлялась эхогенная взвесь, симптом “снежной бури”, еще в одном на возможный Э указывало наличие двухслойной капсулы, и у 2 пациентов имелось сочетание внутренней взвеси и толстой капсулы. У 2 пациентов киста не отличалась от простой солидной кисты печени, однако, учитывая эндемичность района по Э, работа связанная с уходом за животными, были проведены серологические реакции, оказавшиеся положительными на Э. Оперативное вмешательство подтвердило диагноз. На третьем месте по частоте было выявление в печени полукольца обизвестления (4 больных) - дугообразной линии гиперэхогенного сигнала с анэхогенной зоной дистальнее, толшина полукольца колебалась от 1,4 до 2мм (рис 2).
Рис 2. Обизвестленная капсула Э в УЗ изображении – анэхогенная дорожка. Внутренняя структура не прослеживается
При данной УЗ картине внутренняя макроструктура выявляемых изменений не выявлялась вследствие полного отражения УЗ от кальцинатов. В данной клинико- диагностической ситуации наличие Э кисты могло только предполагаться, и требовалось дополнительной обследование, в частности, рентгеновская компьютерная томография. Дифференциальная диагностика проводилась с обизвествленными метастазами рака толстой кишки (6 больных), обизвестлением гематомы печени (2 больных). Во всех случаях поставить точный диагноз удалось после проведения КТ.
У 2 больных в печени было выявлено необычное солидное образование - округлой формы, диаметром 5 и 5,7см в 5 и 6 сегментах печени. Необычность состояла в наличии эхогенных линейных структур хаотично расположенных, плотно прилежащих друг к другу внутри образования. Между образованием и тканью печени определялась гипоэхогенная полоска толщиной до2мм. По периметру прослеживалась капсула с включениями солей кальция, наблюдался краевой симптом ослабления УЗ. Ц(Э)ДК не выявляло признаков кровотока внутри образования, гипоэхогенной зоне между ним и тканью печени(рис 3а).
Рис 3а. Умерший Э, УЗИ, серая шкала – эхогенные линейные структуры, отсутствие жидкости внутри, гипоэхогенный ободок по периферии
Трехмерная реконструкция изображения, послойный анализ внутренней макроструктуры подтвердил данные двухмерного сканирования в режиме серой шкалы, тканевой гармонике о линейных мягкотканных образованиях внутри очага, тесно прилежащих друг к другу. Обращало внимание прерывистое пропитывание периферии солями кальция, длительная работа пациентов в эндемичных районах Средней Азии. Компьютерная, магнитно -резонансная томография подтвердила скорлупообразное обизвестление по периферии образования, мягкотканный его характер (рис 3б).
Рис 3б тот же больной РКТ, подтверждаются данные УЗИ о мягкотанном характере умершего эхинококка, обизвестления капсулы(→)
При исследовании с усилением, введением парамагнетика накопления контрастного вещества в очаге не определялось. Серологические реакции на Э оказались отрицательные. При оперативном вмешательстве у обоих больных был выявлен умерший Э.
На основании УЗИ нами выделено 4 варианта эхографической макроструктуры Э.
1) “простая киста” 2) киста с эхогенной взвесью 3)киста с многослойной капсулой(подвариант + эхогенная взвесь) 4) “многокамерная” киста ( подвариант + взвесь) 5) киста с обизвестленной капсулой (подвариант множественные микрокальцинаты в капсуле)а 6) псевдосолидный (погибший) эхинококк
Компьютерную томографию печени выполнили 19(100%) пациентам из группы больных с эхинококкозом в связи с подозрением на паразитарное заболевание и для уточнения изменений печени при уже установленном диагнозе гидатидной болезни. Анализ компьютерных томограмм позволил определить локализацию паразитарных кист в печени в соответствии с сегментарным строением, отношение паразитарного фокуса к паренхиме, капсуле, воротам печени, крупным сосудам, нижней полой вене, соседним органам. При изучении КТ-изображений оценивали форму, наружный и внутренний контуры кисты, толщину и плотность стенки кисты, её содержимое, признаки отложения солей кальция. На компьютерных томограммах выявляли следующие признаки эхинококковых кист: утолщение стенки кисты, неровность ее контуров, расслоение паразитарных мембран, неоднородность содержимого, наличие дочерних кист, перифокальный гиподенсивный ободок.
Плотность содержимого кист варьировала от 9 до 42 ед.Н, нарастала в поздних стадиях эхинококковой болезни. Дочерние кисты имели меньшую плотность, чем плотность материнской кисты. Вариант солидного (умершего) Э в УЗ изображении (2 больных) сопровождался повышением плотности содержимого паразитарной кисты до 36-42 ед.Н. В просвете гидатидомы визуализировались обрывки паразитарных мембран в виде высокоплотных извитых линейных структур, по периферии определялось скорлупообразное обизвестление капсулы (рис а, б). У 4 больных, у которых выявлялся симптом гиперэхогенной дуги с анэхогенной зоной по данным УЗИ, РКТ выявило многокамерное кистозное образование с массивным обизвестлением капсулы (рис 4 ).
Рис 4. Э, РКТ – обизвестление капсулы Э(→)
РКТ была ведущей в дифференциации данной УЗ формы Э с метастатическими поражениями при коллоидном раке толстой кишки. Метастазы отличались внутренней солидной структурой с множественными глыбкообразными включениями солей кальция внутри.
Наши наблюдения дают основание не согласиться с точкой зрения, что гибели паразита всегда сопутствует массивное отложение солей кальция в капсуле.
КТ использовали для уточнения данных УЗИ с целью дифференциальной диагностики между паразитарной и непаразитарной кистами печени в диагностически неясных случаях. Дифференциальную диагностику проводили на основании следующих КТ критериев. Денситометрические показатели эхинококковых и непаразитарных кист различались при больших размерах кисты, составляя 10–25 ед. Н при эхинококковой кисте и 0–15 ед. Н при непаразитарной кисте. Это позволяло отличить эхинококковые кисты от непаразитарных и поликистоза печени даже при отсутствии других дифференциально - диагностических признаков. Плотность содержимого эхинококковой кисты значительно повышается (20 ед. Н и более) после гибели паразита. В 70% наблюдений при эхинококкозе выявлялась капсула кисты, толщина которой составляет 2–3 мм. В трети случаев удавалось выявить частичный или тотальный кальциноз капсулы, что является специфическим признаком паразитарного характера поражения. В 23% наблюдений при эхинококкозе отмечалось наличие дочерних кист и множественное поражение органов брюшной полости (селезенки, почек, надпочечников).
Магнитно - резонанснуютомография применяли на завершающем этапе неинвазивного диагностического обследования 13 больным эхинококкозом печени с целью детализации характера патоморфологических изменений в очаге поражения и уточнения степени вовлечения в процесс крупных сосудисто-секреторных структур.
Свободный выбор плоскостей изображения позволил уточнить топический диагноз. С другой стороны, благодаря высокому мягкотканному контрасту при МРТ выявили значимые дополнительные признаки паразитарных кист. Так, например, МРТ была наиболее информативной в выявлении неровностей внутреннего края кисты и начинающегося расслоения паразитарных мембран.
Несомненным преимуществом метода явилась возможность дифференцирования изменений в архитектонике печени с высокой разрешающей способностью. Вокруг гидатидных кист на МР -томограммах визуализировался ободок слабого изменения МР-сигнала (гипоинтенсивный на Т1 ВИ, гиперинтенсивный на Т2 ВИ) с нечеткими контурами, соответствующий перикистозным изменениям (рис 5а,б ). С помощью МР-волюметрии рассчитывали объем эхинококковых кист, объем непораженной паренхимы печени и степень выраженности компенсаторной гипертрофии органа. МРТ позволила диагностировать эхинококковые кисты в брюшной полости при сочетанном эхинококкозе без дополнительного контрастирования кишечника. При проведении МРТ были выявлены
Рис. 5а Рис. 5б
Рис 5. Э, МРТ Т2,Т2 ВИ – а)гипреинтенсивный сигнал от жидкого содержимого в Т2ВИ б)гипоинтенсивное в Т1ВИ (на фоне введения 40,0 парамагнетика Омнискана).
Визуализация капсулы и перикистозных изменений выявила следующие дифференциально диагностические признаки эхинококковых кист печени. На Т2ВИ кисту выявляли как участок с повышенной интенсивностью МР сигнала, неправильно округлой формы, с четкими, ровными контурами. Гидатиднаяжидкость имела равномерный гиперинтенсивный сигнал с умеренной его гипоинтенсивностью в базальных отделах при наличии большого количества “гидатидного песка” в кисте. Перегородки в просвете кисты, стенки дочерних и внучатых кист имели гипоинтенсивный сигнал. Хитиновая оболочка кисты давала гипоинтенсивный сигнал (рис 6). При этом различие гипоинтенсивности фиброзной капсулы и хитиновой оболочки паразита создавало на томограммах двухслойное изображение стенки кисты, что было характерно только для паразитарной кисты и позволяло дифференцировать ее от всех других кистозных поражений. Эту же программу, но в различных плоскостях (аксиальной, коронарной и сагиттальной) использовали для топической
Рис 6. Э, МРТ – Т2 ВИ – гипоинтенсивный сигнал от хитиновой оболочки, перегородчатых структур, «гидатного песка», двухслойность капсулы
диагностики, в особенности при множественном поражении и больших размерах кист, когда определение ее органной принадлежности было затруднено. На T2ВИ и T2ВИ с подавлением сигнала от жира стенка кисты выявлялась как очень низкоинтенсивный ободок, окружающий кисту. Толщина стенки кисты колебалась между 1 и 5 мм (средняя толщина 2,2 ± 0,7 мм). Линейные участки сниженной интенсивности сигнала в просвете были характерны для погибшей кисты и представляли собой отслоившуюся хитиновую оболочку. На Т1ВИ в аксиальной плоскости киста визуализировалась как участок со сниженной интенсивностью МР сигнала, неправильно округлой формы, с четкими, ровными контурами. При этом стенку кисты обычно было трудно оценить из –за схожего низкоинтенсивного сигнала, такого же, как и от жидкости в полости кисты. Подавление сигнала от жировой ткани позволяло дифференцировать жировые и геморрагические включения в кистах, что было особенно важным в диагностике осложненных кист печени. Кальцинаты в стенках кисты выявляли как области c отсутствием МР сигнала, т.е., как темные участки в стенках с низкой или очень низкой интенсивностью сигнала. Использование МР ангиографии (МРА) и МР холангиопанкреатикографии (МРХПГ) позволяло точно локализовать протяженность и топографическое взаимоотношение кисты с крупным сосудом, протоковой системой печени. Правильная интерпретация изображений с помощью МРТ была возможна во всех случаях, когда кисты имели диаметр более 30 мм. Эти кисты всегда имели типичные признаки, соответствующие эхинококковому поражению. Типичные признаки: фиброзная и хитиновая оболочка кисты с гипоинтенсивным промежутком между ними, кальцинаты в стенке фиброзной капсулы, наличие дочерних кист в просвете материнской, плавающая хитиновая оболочка в просвете кисты (симптом “лилии”) и интенсивность сигнала от жидкости гидатидной кисты. Однако при кистах меньше 30 мм в диаметре не всегда выявляли типичные признаки, характерные для эхинококковых кист, и поэтому дифференциальная диагностика с другими кистозными поражениями печени была чрезвычайно затруднена. Сравнение диагностической точности применяемых нами методов позволяет утверждать, что МРТ является наиболее точным методом в выявлении и дифференциальной диагностике эхинококковых кист печени. Таким образом, МРТ является методом неинвазивной диагностики, позволяющим эффективно обследовать больных эхинококкозом печени, проводить дифференциальную диагностику заболевания. Она дает возможность выявить морфологические характеристики развития паразита, оказывающие определяющее значение в выборе метода оперативного лечения. Ее можно рекомендовать как уточняющий метод, который может применяться в диагностически сложных случаях, а также для уточнения локализации внепеченочных кист брюшной полости и для предоперационного обследования пациентов с эхинококкозом печени, особенно в тех случаях, когда требуется уточнение определения взаимосвязи кист с сосудами печени и желчными протоками. При комплексном лучевом обследовании вовлечение крупных сосудистых структур печени и нижней полой вены выявили у 9 больных эхинококкозом, при этом наиболее характерными были смещение и сдавление сосудов. Наиболее эффективными методами диагностики данных осложнений являлась СКТ с болюсным контрастным усилением и МРТ.
Приводим клиническое наблюдение. Больная Г- ва В.А. 35лет , жалоб не предьявляет. При профилактическом осмотре на УЗИ выявлено: по органам без особенностей, тоны сердца приглушены, пульс 79 ударов в минуту, А/Д 140/95мм.рт.ст. Живот мягкий, безболезненный. Лабораторные данные – общий анализ крови - эозинофилия, общий анализ мочи, коагулограмма в пределах возрастной нормы. При УЗИ органов брюшной полости выявлено два кистозных образования, занимающие правую долю с характерной для Э многослойной капсулой (рис 7а). КТ, МРТ уточнили кистозный характер изменений, их локализацию, наличие толстой капсулы (рис 7б). На основании комплексного анализа поставлен диагноз Э кисты.
Рис 7. Э печени а)УЗИ – кистозное образование с многослойной капсулой, эхогенной взвесью, краевым ослаблением УЗ б, в) РКТ, МРТ – кистозные образования, толстая капсула
Характерные для паразитарных кист печени очаги обызвествления были выявлены у 1 больного. У 13 больных кисты были более 100 мм в диаметре. Наиболее информативным и универсальным методом было УЗИ, которое является скрининговым методом для обследования больных с кистозным поражением органов брюшной полости. Точный диагноз эхинококкоза печени при УЗИ был установлен в большинстве случаев больных. При этом определение характера внутрикистозных включений (дочерние кисты, перегородки и др.) облегчало дифференциальную диагностику. Разрешению диагностических сомнений способствовали серологические реакции (РНГА и ИФА) на эхинококкоз, а также данные цитологического, бактериологического, биохимического исследования и микроскопии нативного материала, полученного при чрескожной диагностической пункции под контролем УЗИ. УЗИ обладало меньшей информативностью при множественном и распространенном эхинококкозе. Определение точного топического диагноза при УЗИ было затруднено при гигантских эхинококковых кистах и множественном поражении; в этих случаях возникала необходимость сочетания УЗИ с КТ или МРТ. Сложности дифференциальной лучевой диагностики эхинококковых заболеваний печени были связаны с особенностями строения паразитарных очагов. Затруднения встретили при дифференцировании простых кист и моновезикулярных эхинококковых кист с тонкими оболочками, без расслоения паразитарных мембран и внутренних структур. Правильная диагностика в таких случаях базировалась на комплексном клинико-лабораторном и лучевом обследовании больных. При анализе результатов СКТ с болюсным контрастным усилением отметили, что контрастирование окружающей паренхимы печени при паразитарных кистах в 50% случаев было диффузно-неравномерным.
При лучевой диагностике эхинококковых кист псевдоопухолевого типа использовали ультразвуковое допплеровское исследование, демонстрирующее аваскулярность гидатидом, и компьютерную томографию, уточняющую их структуру. Среди доброкачественных опухолей печени в плане дифференциальной диагностики с эхинококкозом наибольшие затруднения представляли билиарные цистаденомы. Выявление опухолевых узлов и папиллярных разрастаний, накапливающих контраст при усилении, способствовало правильной диагностике опухолей.
Диагностическая эффективность лучевых методов исследования в распознавании эхинококкоза печени представлены в таблице 2. Как показал анализ, в ряду методик КТ являлась наиболее специфичным и чувствительным методом в определении Э печени, затем МРТ и УЗИ. Комплексный анализ данных лучевых методов существенно повышал специфичность и чувствительность методов в дооперционной диагностике паразитарного поражения.
Таблица 2.
Диагностическая эффективность лучевых методов исследования при эхинококкозе печени
Диагноз
Чувствительность
Специфичность
УЗИ
УЗИ
+ КТ
УЗИ
+ КТ
МРТ
УЗИ
УЗИ
+ КТ
УЗИ
+ КТ
МРТ
Эхинококкоз печени
63,8%
82,5%
89,5%
67,6%
88,2%
91,8%
Таким образом, комплексное лучевое исследование позволяет с высокой степенью достоверности поставить диагноз гидатидной формы эхинококкового поражения печени, провести дифференциальную диагностику с другими заболеваниями.
Эхинококкоз
Из литературных источников.
Лучевая диагностика эхинококкоза печени.
Камалова К.Ц., Шрестха Х.К., Котляров П.М. ФГУ «Российский научный центр рентгенорадиологии федерального агентства по здравоохранению и социальному развитию Российской Федерации» (г. Москва).
Введение
Эхинококкоз - паразитарная болезнь, эндемичная во многих регионах. Эхинококковая инвазия может поражать любую часть тела и проявляться различно в зависимости от стадии развития, сопутствующих осложнений, а также ответной реакции организма больного. Эхинококкоз представляет серьезную медицинскую и социальную проблему во многих странах мира, России, где сохраняются большие эндемические очаги, и наблюдается рост числа заболевших. Болезнь поражает практически все органы и системы организма (ProiettiS. etal., 2000; BoureeP., 2001; PolarР. etal., 2003; Белышева Е.С. и соавт., 2003).
Цель исследования:
Разработать новые и усовершенствовать известные признаки эхинококкоза печени по данным комплексного применения методов лучевой диагностики.
Задачи исследования:
1. Разработать методику магнитно – резонансной томографии при подозрении на эхинококк, семиотику заболевания.
2. Систематизировать общую и частную семиотику эхинококкового поражения печени по данным лучевых методов исследования.
Материалы и методы
Проанализированы данные лучевой диагностики 19 больных Э печени, у 4 из которых они сочетались с поражением легкого. У большинства - 13 пациентов - заболевание выявлено в процессе скринингового УЗ обследования, при котором в печени выявлено кистозное образование. 3 больных проходили исследование по поводу “увеличения живота”, болей в правом подреберье (2 больных), эозинофилии, субфибрилитета неясной этиологии (1 больной). В таблице 1 представлены варианты макроструктуры Э кист выявленных при УЗИ.
таблица 1
Варианты эхинококковых кист печени в ультразвуковом изображении
вид
к-во
взвесь
толст.капсула
кальцинаты
дилж/прот
сегменты
киста
4
2
3
-
-
6,7
многокамерная киста
9
8
6
-
3
5,6,7,8
солидное образование
полукольцо обизвестления
2
4
-
-
-
-
2
4
-
-
5
6,7
Как видно из таблицы, эхинококкоз печени наиболее часто выглядел многокамерным кистозным образованием, для которого было характерно наличие эхогенных перегородчатых структур, соответствовавших развитию дочерних эхинококковых кист за счет развития паразита (рис. 1).
Рис. 1. Эхинококковая киста, УЗИ, серая шкала – многокамерное кистозное образование с эхогенной взвесью
Размер Э данного вида колебался от 5 до 12 см в диаметре. Наряду с характерными перегородчатыми структурами у 8 больных дополнительно выявлялась эхогенная взвесь, свободно перемещавшаяся в кисте при перемене положения тела пациента - возникал симптом “снежной бури”. Взвесь представляла микрочастицы диаметром до 0,5мм.. У 6 пациентов многокамерность сочеталась с наличием двухслойной капсулы по периферии Э (рис. 1). Толщина капсулы была равномерна по всему периметру, составляя 1,5- 2 мм. Наружный слой капсулы был более тонким чем внутренний, более высокой эхогенности и в виде непрерывного кольца охватывал Э. Контуры ее могли быть волнистыми или овоидной формы. Между наружным слоем капсулы и тканью печени у 3 пациентов имелось щелевидное гипоэхогенное пространство толщиной до 1,5мм. Внутренний слой капсулы имел более низкую эхогенность, состоял из набора отдельных элементов точечного, линейного характера с небольшими промежутками между ними. Данная макроструктура вероятно соответствовала назначению кутикулярной оболочки - развитию новых паразитов внутри материнской матрицы. УЗИ не выявило в данной группе Э наличия признаков обизвестления в капсуле, что вероятно связано с активной фазой жизни Э, для которой наличие признаков отложения солей кальция в хитиновой оболочке не характерно. У 3 пациентов с локализацией эхинококка в области ворот (5,8 сегменты) и размером более 10см в диаметре УЗИ выявляло дилатацию внутрипеченочных желчных протоков за счет сдавления печеночного протока правой доли печени. При этом возникал характерный симптом ”двустволки” - по верхнему краю внутрипеченочной ветви портальной вены правой доли печени прослеживалась линейная гипоэхогенная структура, соответствовавшая ходу внутрипеченочного желчного протока. Диаметр расширенного протока соответствовал или превышал в 1,5 -2 раза диаметр соответствовавшей ветви портальной вены. Как показали сопоставления с морфологическими исследованиями послеоперационного материала, данный вид Э в ультразвуковом изображении был наиболее патогномоничен для эхинококковой кисты.
Другие варианты макроструктуры Э встречались значительно реже.
Э в виде простой кисты наблюдался у 6 больных и был вторым по частоте встречаемости - при ультразвуковом исследовании в одном из сегментов печени выявлялось анэхогенное образование размерами от 3 до 5 см. Высказать предположение о паразитарном характере образования удалось у 4 пациентов.В 1 случае внутри кистозного образования выявлялась эхогенная взвесь, симптом “снежной бури”, еще в одном на возможный Э указывало наличие двухслойной капсулы, и у 2 пациентов имелось сочетание внутренней взвеси и толстой капсулы. У 2 пациентов киста не отличалась от простой солидной кисты печени, однако, учитывая эндемичность района по Э, работа связанная с уходом за животными, были проведены серологические реакции, оказавшиеся положительными на Э. Оперативное вмешательство подтвердило диагноз. На третьем месте по частоте было выявление в печени полукольца обизвестления (4 больных) - дугообразной линии гиперэхогенного сигнала с анэхогенной зоной дистальнее, толшина полукольца колебалась от 1,4 до 2мм (рис 2).
Рис 2. Обизвестленная капсула Э в УЗ изображении – анэхогенная дорожка. Внутренняя структура не прослеживается
При данной УЗ картине внутренняя макроструктура выявляемых изменений не выявлялась вследствие полного отражения УЗ от кальцинатов. В данной клинико- диагностической ситуации наличие Э кисты могло только предполагаться, и требовалось дополнительной обследование, в частности, рентгеновская компьютерная томография. Дифференциальная диагностика проводилась с обизвествленными метастазами рака толстой кишки (6 больных), обизвестлением гематомы печени (2 больных). Во всех случаях поставить точный диагноз удалось после проведения КТ.
У 2 больных в печени было выявлено необычное солидное образование - округлой формы, диаметром 5 и 5,7см в 5 и 6 сегментах печени. Необычность состояла в наличии эхогенных линейных структур хаотично расположенных, плотно прилежащих друг к другу внутри образования. Между образованием и тканью печени определялась гипоэхогенная полоска толщиной до2мм. По периметру прослеживалась капсула с включениями солей кальция, наблюдался краевой симптом ослабления УЗ. Ц(Э)ДК не выявляло признаков кровотока внутри образования, гипоэхогенной зоне между ним и тканью печени(рис 3а).
Рис 3а. Умерший Э, УЗИ, серая шкала – эхогенные линейные структуры, отсутствие жидкости внутри, гипоэхогенный ободок по периферии
Трехмерная реконструкция изображения, послойный анализ внутренней макроструктуры подтвердил данные двухмерного сканирования в режиме серой шкалы, тканевой гармонике о линейных мягкотканных образованиях внутри очага, тесно прилежащих друг к другу. Обращало внимание прерывистое пропитывание периферии солями кальция, длительная работа пациентов в эндемичных районах Средней Азии. Компьютерная, магнитно -резонансная томография подтвердила скорлупообразное обизвестление по периферии образования, мягкотканный его характер (рис 3б).
Рис 3б тот же больной РКТ, подтверждаются данные УЗИ о мягкотанном характере умершего эхинококка, обизвестления капсулы(→)
При исследовании с усилением, введением парамагнетика накопления контрастного вещества в очаге не определялось. Серологические реакции на Э оказались отрицательные. При оперативном вмешательстве у обоих больных был выявлен умерший Э.
На основании УЗИ нами выделено 4 варианта эхографической макроструктуры Э.
1) “простая киста” 2) киста с эхогенной взвесью 3)киста с многослойной капсулой(подвариант + эхогенная взвесь) 4) “многокамерная” киста ( подвариант + взвесь) 5) киста с обизвестленной капсулой (подвариант множественные микрокальцинаты в капсуле)а 6) псевдосолидный (погибший) эхинококк
Компьютерную томографию печени выполнили 19(100%) пациентам из группы больных с эхинококкозом в связи с подозрением на паразитарное заболевание и для уточнения изменений печени при уже установленном диагнозе гидатидной болезни. Анализ компьютерных томограмм позволил определить локализацию паразитарных кист в печени в соответствии с сегментарным строением, отношение паразитарного фокуса к паренхиме, капсуле, воротам печени, крупным сосудам, нижней полой вене, соседним органам. При изучении КТ-изображений оценивали форму, наружный и внутренний контуры кисты, толщину и плотность стенки кисты, её содержимое, признаки отложения солей кальция. На компьютерных томограммах выявляли следующие признаки эхинококковых кист: утолщение стенки кисты, неровность ее контуров, расслоение паразитарных мембран, неоднородность содержимого, наличие дочерних кист, перифокальный гиподенсивный ободок.
Плотность содержимого кист варьировала от 9 до 42 ед.Н, нарастала в поздних стадиях эхинококковой болезни. Дочерние кисты имели меньшую плотность, чем плотность материнской кисты. Вариант солидного (умершего) Э в УЗ изображении (2 больных) сопровождался повышением плотности содержимого паразитарной кисты до 36-42 ед.Н. В просвете гидатидомы визуализировались обрывки паразитарных мембран в виде высокоплотных извитых линейных структур, по периферии определялось скорлупообразное обизвестление капсулы (рис а, б). У 4 больных, у которых выявлялся симптом гиперэхогенной дуги с анэхогенной зоной по данным УЗИ, РКТ выявило многокамерное кистозное образование с массивным обизвестлением капсулы (рис 4 ).
Рис 4. Э, РКТ – обизвестление капсулы Э(→)
РКТ была ведущей в дифференциации данной УЗ формы Э с метастатическими поражениями при коллоидном раке толстой кишки. Метастазы отличались внутренней солидной структурой с множественными глыбкообразными включениями солей кальция внутри.
Наши наблюдения дают основание не согласиться с точкой зрения, что гибели паразита всегда сопутствует массивное отложение солей кальция в капсуле.
КТ использовали для уточнения данных УЗИ с целью дифференциальной диагностики между паразитарной и непаразитарной кистами печени в диагностически неясных случаях. Дифференциальную диагностику проводили на основании следующих КТ критериев. Денситометрические показатели эхинококковых и непаразитарных кист различались при больших размерах кисты, составляя 10–25 ед. Н при эхинококковой кисте и 0–15 ед. Н при непаразитарной кисте. Это позволяло отличить эхинококковые кисты от непаразитарных и поликистоза печени даже при отсутствии других дифференциально - диагностических признаков. Плотность содержимого эхинококковой кисты значительно повышается (20 ед. Н и более) после гибели паразита. В 70% наблюдений при эхинококкозе выявлялась капсула кисты, толщина которой составляет 2–3 мм. В трети случаев удавалось выявить частичный или тотальный кальциноз капсулы, что является специфическим признаком паразитарного характера поражения. В 23% наблюдений при эхинококкозе отмечалось наличие дочерних кист и множественное поражение органов брюшной полости (селезенки, почек, надпочечников).
Магнитно - резонанснуютомография применяли на завершающем этапе неинвазивного диагностического обследования 13 больным эхинококкозом печени с целью детализации характера патоморфологических изменений в очаге поражения и уточнения степени вовлечения в процесс крупных сосудисто-секреторных структур.
Свободный выбор плоскостей изображения позволил уточнить топический диагноз. С другой стороны, благодаря высокому мягкотканному контрасту при МРТ выявили значимые дополнительные признаки паразитарных кист. Так, например, МРТ была наиболее информативной в выявлении неровностей внутреннего края кисты и начинающегося расслоения паразитарных мембран.
Несомненным преимуществом метода явилась возможность дифференцирования изменений в архитектонике печени с высокой разрешающей способностью. Вокруг гидатидных кист на МР -томограммах визуализировался ободок слабого изменения МР-сигнала (гипоинтенсивный на Т1 ВИ, гиперинтенсивный на Т2 ВИ) с нечеткими контурами, соответствующий перикистозным изменениям (рис 5а,б ). С помощью МР-волюметрии рассчитывали объем эхинококковых кист, объем непораженной паренхимы печени и степень выраженности компенсаторной гипертрофии органа. МРТ позволила диагностировать эхинококковые кисты в брюшной полости при сочетанном эхинококкозе без дополнительного контрастирования кишечника. При проведении МРТ были выявлены
Рис. 5а Рис. 5б
Рис 5. Э, МРТ Т2,Т2 ВИ – а)гипреинтенсивный сигнал от жидкого содержимого в Т2ВИ б)гипоинтенсивное в Т1ВИ (на фоне введения 40,0 парамагнетика Омнискана).
Визуализация капсулы и перикистозных изменений выявила следующие дифференциально диагностические признаки эхинококковых кист печени. На Т2ВИ кисту выявляли как участок с повышенной интенсивностью МР сигнала, неправильно округлой формы, с четкими, ровными контурами. Гидатиднаяжидкость имела равномерный гиперинтенсивный сигнал с умеренной его гипоинтенсивностью в базальных отделах при наличии большого количества “гидатидного песка” в кисте. Перегородки в просвете кисты, стенки дочерних и внучатых кист имели гипоинтенсивный сигнал. Хитиновая оболочка кисты давала гипоинтенсивный сигнал (рис 6). При этом различие гипоинтенсивности фиброзной капсулы и хитиновой оболочки паразита создавало на томограммах двухслойное изображение стенки кисты, что было характерно только для паразитарной кисты и позволяло дифференцировать ее от всех других кистозных поражений. Эту же программу, но в различных плоскостях (аксиальной, коронарной и сагиттальной) использовали для топической
Рис 6. Э, МРТ – Т2 ВИ – гипоинтенсивный сигнал от хитиновой оболочки, перегородчатых структур, «гидатного песка», двухслойность капсулы
диагностики, в особенности при множественном поражении и больших размерах кист, когда определение ее органной принадлежности было затруднено. На T2ВИ и T2ВИ с подавлением сигнала от жира стенка кисты выявлялась как очень низкоинтенсивный ободок, окружающий кисту. Толщина стенки кисты колебалась между 1 и 5 мм (средняя толщина 2,2 ± 0,7 мм). Линейные участки сниженной интенсивности сигнала в просвете были характерны для погибшей кисты и представляли собой отслоившуюся хитиновую оболочку. На Т1ВИ в аксиальной плоскости киста визуализировалась как участок со сниженной интенсивностью МР сигнала, неправильно округлой формы, с четкими, ровными контурами. При этом стенку кисты обычно было трудно оценить из –за схожего низкоинтенсивного сигнала, такого же, как и от жидкости в полости кисты. Подавление сигнала от жировой ткани позволяло дифференцировать жировые и геморрагические включения в кистах, что было особенно важным в диагностике осложненных кист печени. Кальцинаты в стенках кисты выявляли как области c отсутствием МР сигнала, т.е., как темные участки в стенках с низкой или очень низкой интенсивностью сигнала. Использование МР ангиографии (МРА) и МР холангиопанкреатикографии (МРХПГ) позволяло точно локализовать протяженность и топографическое взаимоотношение кисты с крупным сосудом, протоковой системой печени. Правильная интерпретация изображений с помощью МРТ была возможна во всех случаях, когда кисты имели диаметр более 30 мм. Эти кисты всегда имели типичные признаки, соответствующие эхинококковому поражению. Типичные признаки: фиброзная и хитиновая оболочка кисты с гипоинтенсивным промежутком между ними, кальцинаты в стенке фиброзной капсулы, наличие дочерних кист в просвете материнской, плавающая хитиновая оболочка в просвете кисты (симптом “лилии”) и интенсивность сигнала от жидкости гидатидной кисты. Однако при кистах меньше 30 мм в диаметре не всегда выявляли типичные признаки, характерные для эхинококковых кист, и поэтому дифференциальная диагностика с другими кистозными поражениями печени была чрезвычайно затруднена. Сравнение диагностической точности применяемых нами методов позволяет утверждать, что МРТ является наиболее точным методом в выявлении и дифференциальной диагностике эхинококковых кист печени. Таким образом, МРТ является методом неинвазивной диагностики, позволяющим эффективно обследовать больных эхинококкозом печени, проводить дифференциальную диагностику заболевания. Она дает возможность выявить морфологические характеристики развития паразита, оказывающие определяющее значение в выборе метода оперативного лечения. Ее можно рекомендовать как уточняющий метод, который может применяться в диагностически сложных случаях, а также для уточнения локализации внепеченочных кист брюшной полости и для предоперационного обследования пациентов с эхинококкозом печени, особенно в тех случаях, когда требуется уточнение определения взаимосвязи кист с сосудами печени и желчными протоками. При комплексном лучевом обследовании вовлечение крупных сосудистых структур печени и нижней полой вены выявили у 9 больных эхинококкозом, при этом наиболее характерными были смещение и сдавление сосудов. Наиболее эффективными методами диагностики данных осложнений являлась СКТ с болюсным контрастным усилением и МРТ.
Приводим клиническое наблюдение. Больная Г- ва В.А. 35лет , жалоб не предьявляет. При профилактическом осмотре на УЗИ выявлено: по органам без особенностей, тоны сердца приглушены, пульс 79 ударов в минуту, А/Д 140/95мм.рт.ст. Живот мягкий, безболезненный. Лабораторные данные – общий анализ крови - эозинофилия, общий анализ мочи, коагулограмма в пределах возрастной нормы. При УЗИ органов брюшной полости выявлено два кистозных образования, занимающие правую долю с характерной для Э многослойной капсулой (рис 7а). КТ, МРТ уточнили кистозный характер изменений, их локализацию, наличие толстой капсулы (рис 7б). На основании комплексного анализа поставлен диагноз Э кисты.
Рис 7. Э печени а)УЗИ – кистозное образование с многослойной капсулой, эхогенной взвесью, краевым ослаблением УЗ б, в) РКТ, МРТ – кистозные образования, толстая капсула
Характерные для паразитарных кист печени очаги обызвествления были выявлены у 1 больного. У 13 больных кисты были более 100 мм в диаметре. Наиболее информативным и универсальным методом было УЗИ, которое является скрининговым методом для обследования больных с кистозным поражением органов брюшной полости. Точный диагноз эхинококкоза печени при УЗИ был установлен в большинстве случаев больных. При этом определение характера внутрикистозных включений (дочерние кисты, перегородки и др.) облегчало дифференциальную диагностику. Разрешению диагностических сомнений способствовали серологические реакции (РНГА и ИФА) на эхинококкоз, а также данные цитологического, бактериологического, биохимического исследования и микроскопии нативного материала, полученного при чрескожной диагностической пункции под контролем УЗИ. УЗИ обладало меньшей информативностью при множественном и распространенном эхинококкозе. Определение точного топического диагноза при УЗИ было затруднено при гигантских эхинококковых кистах и множественном поражении; в этих случаях возникала необходимость сочетания УЗИ с КТ или МРТ. Сложности дифференциальной лучевой диагностики эхинококковых заболеваний печени были связаны с особенностями строения паразитарных очагов. Затруднения встретили при дифференцировании простых кист и моновезикулярных эхинококковых кист с тонкими оболочками, без расслоения паразитарных мембран и внутренних структур. Правильная диагностика в таких случаях базировалась на комплексном клинико-лабораторном и лучевом обследовании больных. При анализе результатов СКТ с болюсным контрастным усилением отметили, что контрастирование окружающей паренхимы печени при паразитарных кистах в 50% случаев было диффузно-неравномерным.
При лучевой диагностике эхинококковых кист псевдоопухолевого типа использовали ультразвуковое допплеровское исследование, демонстрирующее аваскулярность гидатидом, и компьютерную томографию, уточняющую их структуру. Среди доброкачественных опухолей печени в плане дифференциальной диагностики с эхинококкозом наибольшие затруднения представляли билиарные цистаденомы. Выявление опухолевых узлов и папиллярных разрастаний, накапливающих контраст при усилении, способствовало правильной диагностике опухолей.
Диагностическая эффективность лучевых методов исследования в распознавании эхинококкоза печени представлены в таблице 2. Как показал анализ, в ряду методик КТ являлась наиболее специфичным и чувствительным методом в определении Э печени, затем МРТ и УЗИ. Комплексный анализ данных лучевых методов существенно повышал специфичность и чувствительность методов в дооперционной диагностике паразитарного поражения.
Таблица 2.
Диагностическая эффективность лучевых методов исследования при эхинококкозе печени
Диагноз
Чувствительность
Специфичность
УЗИ
УЗИ
+ КТ
УЗИ
+ КТ
МРТ
УЗИ
УЗИ
+ КТ
УЗИ
+ КТ
МРТ
Эхинококкоз печени
63,8%
82,5%
89,5%
67,6%
88,2%
91,8%
Таким образом, комплексное лучевое исследование позволяет с высокой степенью достоверности поставить диагноз гидатидной формы эхинококкового поражения печени, провести дифференциальную диагностику с другими заболеваниями.
Эхинококковая киста
Продолжение
Продолжение.
Эхинококкоз
Наблюдение Аманбаева Г.Т.
Продолжение.