Ганглионеврома (неврогаиглиома, ганглионариая неврома). Доброкачественная опухоль, локализующаяся в ретроперитоиеальном пространстве, в заднем средостении, на шее, в клетчатке таза, в надпочечниках, реже в других местах (в том числе и в головном мозге). Представляет собою плотный, нередко дольчатый узел, четко отграниченный от окружающих тканей. Микроскопически характерны клетки типа ганглиозных, располагающиеся поодиночке или группами и окруженные рыхлыми пучками соединительной ткани и нервных волокон, главным образом иемиелииовых, с наличием шванновских элементов и фиброцитов. Местами формируются ритмичные палисадные структуры и завихрения. Именно в них скапливаются клетки типа леммоцитов. Иногда обнаруживают группы мелких клеток с иитенснвио окрашенными ядрами и небольшим ободком цитоплазмы типа симпатобластов. Волокнистые структуры окрашиваются по Ван-Гизоиу в желтые или розовые тона. Встречаются участки миксоматоза стромы, мелкие кисты. Расценивают как дизонтогенетическую опухоль. При микроскопическом исследовании могут выявляться незрелые элементы типа нейробластов, что заставляет относиться к прогнозу поражения более осторожно.
Нейробластома - один из видов злокачественных опухолей и встречается обычно у младенцев и детей и очень редко у детей старше 10 лет. Клетки этой опухоли напоминают нервные клетки на ранних этапах их развития у плода. Одна треть нейробластом развивается в надпочечниках, другая треть - в брюшной полости по ходу нервных стволов вдоль позвоночника и остальные - в грудной полости и на шее. Некоторые нейробластомы возникают из спинного мозга. Иногда в связи с широким распространением опухоли на момент диагностики трудно установить точно место, откуда возникла опухоль.
(син.: воспалительная псевдоопухоль, воспалительная фибросаркома, миофибробластома, смеша нноклеточная псевдоопухоль, фибром и ксо-идная лимфоплазмогистиоцитома) — групповое обозначение довольно редких опухолей, поражающих лиц обоего пола и разного возраста, зачастую детей. Различают легочную и внелегочную формы. В последнем случае поражаются мягкие ткани конечностей, селезенка, забрюшинные и медиастинальные мягкие ткани, кожа, урогенитальная система, желудочно-кишечный тракт и др. Макроскопически представляют собой четко отграниченный, плотноватый, беловато-серый или пестрый узел диаметром от 2 до 20 см. Бывают множественные узлы. Опухоль склонна к рецидивам. Описаны случаи малигнизации (трансформация в саркому). Под микроскопом определяется воспалительный компонент, который сопровождает три разных варианта пролиферации миофибробластов. Первый вариант напоминает обычную грануляционную ткань или нодозный фасциит.
Ганглионеврома (неврогаиглиома, ганглионариая неврома). Доброкачественная опухоль, локализующаяся в ретроперитоиеальном пространстве, в заднем средостении, на шее, в клетчатке таза, в надпочечниках, реже в других местах (в том числе и в головном мозге). Представляет собою плотный, нередко дольчатый узел, четко отграниченный от окружающих тканей. Микроскопически характерны клетки типа ганглиозных, располагающиеся поодиночке или группами и окруженные рыхлыми пучками соединительной ткани и нервных волокон, главным образом иемиелииовых, с наличием шванновских элементов и фиброцитов. Местами формируются ритмичные палисадные структуры и завихрения. Именно в них скапливаются клетки типа леммоцитов. Иногда обнаруживают группы мелких клеток с иитенснвио окрашенными ядрами и небольшим ободком цитоплазмы типа симпатобластов. Волокнистые структуры окрашиваются по Ван-Гизоиу в желтые или розовые тона. Встречаются участки миксоматоза стромы, мелкие кисты. Расценивают как дизонтогенетическую опухоль. При микроскопическом исследовании могут выявляться незрелые элементы типа нейробластов, что заставляет относиться к прогнозу поражения более осторожно.
Нейробластома - один из видов злокачественных опухолей и встречается обычно у младенцев и детей и очень редко у детей старше 10 лет. Клетки этой опухоли напоминают нервные клетки на ранних этапах их развития у плода.
Одна треть нейробластом развивается в надпочечниках, другая треть - в брюшной полости по ходу нервных стволов вдоль позвоночника и остальные - в грудной полости и на шее. Некоторые нейробластомы возникают из спинного мозга. Иногда в связи с широким распространением опухоли на момент диагностики трудно установить точно место, откуда возникла опухоль.
Воспалительная миофибробластическая опухоль
(син.: воспалительная псевдоопухоль, воспалительная фибросаркома, миофибробластома, смеша нноклеточная псевдоопухоль, фибром и ксо-идная лимфоплазмогистиоцитома) — групповое обозначение довольно редких опухолей, поражающих лиц обоего пола и разного возраста, зачастую детей. Различают легочную и внелегочную формы. В последнем случае поражаются мягкие ткани конечностей, селезенка, забрюшинные и медиастинальные мягкие ткани, кожа, урогенитальная система, желудочно-кишечный тракт и др. Макроскопически представляют собой четко отграниченный, плотноватый, беловато-серый или пестрый узел диаметром от 2 до 20 см. Бывают множественные узлы. Опухоль склонна к рецидивам. Описаны случаи малигнизации (трансформация в саркому). Под микроскопом определяется воспалительный компонент, который сопровождает три разных варианта пролиферации миофибробластов. Первый вариант напоминает обычную грануляционную ткань или нодозный фасциит.
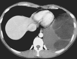
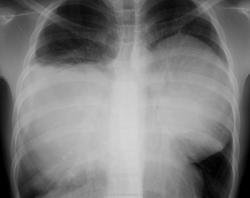
Тератома средостения.
Тератома
Нейрофиброма
Тератома
Медиастинальная липома
ID: 20044 Mediastinal lipoma Dr Frank Gaillard - 31 Oct 2012 Typical appearances of a fatty mass, followed for 15 years with no chang...
ID: 15292 Mediastinal lipoma Dr Bruno Di Muzio - 7 Oct 2011 Lipomas are well-circumscribed mesenchymal tumors that originate from ad...
Медиастинальная тератома
ID: 8918 Mediastinal teratoma Dr Frank Gaillard - 9 Mar 2010 Chest x-ray in a child demonstrates a rounded mass projecting over the m...
ID: 18216 Mediastinal teratoma Dr Roberto Schubert - 19 Jun 2012
ID: 13309 Mediastinal teratoma Dr Sudarshan Deshmukh - 25 Mar 2011 Chest X-rayshows Lt sided homogeneous opacity involving the mid zone ,lo...
Случаи и цифры
Дифференциальная диагностика изображения
Медиастинальная лимфома
ID: 15513 Mediastinal lymph node enlargement Dr Frank Gaillard - 23 Oct 2011
ID: 22201 Mediastinal lymphoma Dr Mahomed A. Osman - 19 Mar 2013 The mass was subsequently biopsied and histology confirmed it to be a B ...
ID: 24432 Mediastinal lymphoma Dr Ahmed Abd Rabou - 15 Aug 2013 DD of anterior mediastinal mass in children includes: normal thymus thym...
ID: 8655 Mediastinal lymphoma : large B-cell Dr Frank Gaillard - 21 Feb 2010 CT of the chest of 22 year old demonstrates a large mediastinal mass wit...
Саркома средостения
ID: 6714 Mediastinal sarcoma Dr Frank Gaillard - 9 Aug 2009 Final Diagnosis: Mediastinal mass and right lung, en block resecti...