ГМ. Нейросаркоидоз. +

Нейросаркоидоз

 

Евгений Второй аватар
Не на сайте
Был на сайте: 4 месяцев 3 недели назад
Зарегистрирован: 13.09.2011 - 22:00
Публикации: 1772

Второе наблюдение просто супер. Я бы написал Киари I + сирингомиелия + онмк в вбб (преимущественно бассейне левой задней нижней мозжечковой артерии) + лептоменингиальные изменения по типу туберкулёзного менингита. Ну и спинальный арахноидит до кучи. А оказывается это саркоидоз. Не сарказм, правда на мой взгляд куча патологии в большей степени связанной с мальформацией. А единственный верифицированный случай нейросаркодоза в моей практике выглядел как кистозно-солидной структуры объёмное образование. Если нельзя или нежелательно комментировать публикации - удалю.

Катенёв Валентин Львович аватар
Не на сайте
Был на сайте: 7 лет 5 месяцев назад
Зарегистрирован: 22.03.2008 - 22:15
Публикации: 54876

Что Вы коллега!

Комментируйте обязательно, комментировать нужно, и спасибо Вам за это.

Сергей Нагорный аватар
Не на сайте
Был на сайте: 10 лет 1 месяц назад
Зарегистрирован: 13.07.2010 - 22:49
Публикации: 1370

Классные наблюдения, ни в обдном случае я бы не написал нейросаркоидоз... Интересно, авторы случаев его заподозрили по МРТ или всё-таки после верификации?

С уважением, С.Н. Нагорный

Катенёв Валентин Львович аватар
Не на сайте
Был на сайте: 7 лет 5 месяцев назад
Зарегистрирован: 22.03.2008 - 22:15
Публикации: 54876

Наблюдения от "буржуев", ссылки на фундаментальный источник на каждом слайде имеются, источники дюже фундаментальные, так что лажи быть не может, о "журнале" даже не говорю, там верификация обязательна.

Сергей Нагорный аватар
Не на сайте
Был на сайте: 10 лет 1 месяц назад
Зарегистрирован: 13.07.2010 - 22:49
Публикации: 1370

Катенёв Валентин Львович wrote:

Наблюдения от "буржуев", ссылки на фундаментальный источник на каждом слайде имеются, источники дюже фундаментальные, так что лажи быть не может, о "журнале" даже не говорю, там верификация обязательна.

Не, Валентин Львович, я имел ввиду - по МРТ картине заподозрен был такой диагноз ДО верификации? Если так, снимаю шляпу... То, что верификация есть-  сомнений нет.

С уважением, С.Н. Нагорный

Катенёв Валентин Львович аватар
Не на сайте
Был на сайте: 7 лет 5 месяцев назад
Зарегистрирован: 22.03.2008 - 22:15
Публикации: 54876

А, может быть, Вы, уважаемые коллеги, кратенько, да здесь, в веточке изложите "типаж" для нейросаркоидоза?

Катенёв Валентин Львович аватар
Не на сайте
Был на сайте: 7 лет 5 месяцев назад
Зарегистрирован: 22.03.2008 - 22:15
Публикации: 54876

Грег А. Christoforidis, Эрик М. Spickler, Мария Владимировна Ресио и Бхарат М. Мехта
 
 
Приложения: 
f1.largesarkoidoz..jpgf2.largesarkoidoz..jpgf3.largesarkoidoz..jpg
Катенёв Валентин Львович аватар
Не на сайте
Был на сайте: 7 лет 5 месяцев назад
Зарегистрирован: 22.03.2008 - 22:15
Публикации: 54876

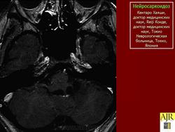
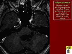
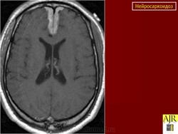
Нейросаркоидоз

Приложения: 
journal_logo.jpgf16.mediumneyrosarkoidoz.giff17.mediumneyrosarkoidoz.giff18.mediumneyrosarkoidoz.giff19.mediumneyrosarkoidoz.giff20.mediumneyrosarkoidoz.gif
Катенёв Валентин Львович аватар
Не на сайте
Был на сайте: 7 лет 5 месяцев назад
Зарегистрирован: 22.03.2008 - 22:15
Публикации: 54876
Катенёв Валентин Львович аватар
Не на сайте
Был на сайте: 7 лет 5 месяцев назад
Зарегистрирован: 22.03.2008 - 22:15
Публикации: 54876

Нейросаркоидоз

ID: 17921 Neurosarcoidosis Dr Frank Gaillard - 25 May 2012 The case demonstrates typical features of neurosarcoidosis, which are of...

Случаи и цифры

  •  
    Случай 1: с участием лептоменинга
  •  
    Случай 2: с участием паренхимы
  •  
    Случай 3
  •  
    Случай 4: вокруг гипофизарного стебля
  •  
    Случай 5: вовлечение спинного мозга
  •  
    Случай 6: вовлечение гипофизарного стебля
Катенёв Валентин Львович аватар
Не на сайте
Был на сайте: 7 лет 5 месяцев назад
Зарегистрирован: 22.03.2008 - 22:15
Публикации: 54876

anatpat.unicamp

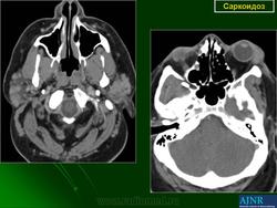
Саркоидоз твердой мозговой оболочки.

 

Приложения: 
140610-1.jpg140610-2.jpg140610-3.jpg140610-4.jpg140610-5.jpg140610-6.jpg140610-7.jpg140610-8.jpg140610-9.jpg140610-11.jpg140610-12.jpg140610-13.jpg140610-14.jpg140610-15.jpg140610-22.jpg140610-28.jpg140610-29.jpg140610-30.jpg140610-31.jpg140610-32.jpg140610-33.jpg140610-34.jpg140610-35.jpg140610-36.jpg
Катенёв Валентин Львович аватар
Не на сайте
Был на сайте: 7 лет 5 месяцев назад
Зарегистрирован: 22.03.2008 - 22:15
Публикации: 54876

Продолжение.

 

Приложения: 
140610-37.jpg140610-38.jpg140610-39.jpg140610-40.jpg140610-41.jpg140610-42.jpg140610-43.jpg140610-44.jpg140610-45.jpg140610-46.jpg140610-47.jpg140610-48.jpg140610-49.jpg140610-50.jpg140610-51.jpg140610-54.jpg140610-55.jpg140610-56.jpg140610-57.jpg140610-58.jpg140610-59.jpg140610-60.jpg
Катенёв Валентин Львович аватар
Не на сайте
Был на сайте: 7 лет 5 месяцев назад
Зарегистрирован: 22.03.2008 - 22:15
Публикации: 54876

https://www.wjgnet.com/1949-8470/full/v4/i3/75.htm#__sec10

Рисунок 8
Рисунок 8 Нейросаркоидоз.