КСС. Intraosseous Pneumatocysts. +

Intraosseous Pneumatocysts.

Наблюдение Karunakaran        

тюрин аватар
Не на сайте
Был на сайте: 5 месяцев 1 неделя назад
Зарегистрирован: 18.12.2009 - 17:23
Публикации: 215

встречал 1 раз материал по этому поводу. интересно: какая клиническая значимость есть у внутрикостной воздушной кисты? только снижение прочности кости?

Катенёв Валентин Львович аватар
Не на сайте
Был на сайте: 7 лет 5 месяцев назад
Зарегистрирован: 22.03.2008 - 22:15
Публикации: 54876

Авторы подборки (подборок) свидетельствуют, что клиники, у пациентов с такой патологией не отмечалось..., но Вы правы, по всей видимости, такая штукенция, но больших размеров может найти своё отображение на рентгенограмме...

Катенёв Валентин Львович аватар
Не на сайте
Был на сайте: 7 лет 5 месяцев назад
Зарегистрирован: 22.03.2008 - 22:15
Публикации: 54876

https://radiopaedia.org/articles/vertebral-pneumatocyst

Случаи и цифры

  •  
    Дело 1
  •  
    Случай 2
  •  
    Случай 3
  •  
    Случай 4
Катенёв Валентин Львович аватар
Не на сайте
Был на сайте: 7 лет 5 месяцев назад
Зарегистрирован: 22.03.2008 - 22:15
Публикации: 54876

Явление вакуума в межпозвонковых дисках

Случаи и цифры

Катенёв Валентин Львович аватар
Не на сайте
Был на сайте: 7 лет 5 месяцев назад
Зарегистрирован: 22.03.2008 - 22:15
Публикации: 54876

Случаи и цифры

  •  
    Дело 1
  •  
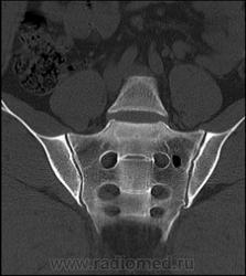
    Случай 2: Внутрикостная пневмоцистика
  • Внутрикостная п ...
     
    Внутрикостная пневмоцистика
 
Катенёв Валентин Львович аватар
Не на сайте
Был на сайте: 7 лет 5 месяцев назад
Зарегистрирован: 22.03.2008 - 22:15
Публикации: 54876
Катенёв Валентин Львович аватар
Не на сайте
Был на сайте: 7 лет 5 месяцев назад
Зарегистрирован: 22.03.2008 - 22:15
Публикации: 54876
Катенёв Валентин Львович аватар
Не на сайте
Был на сайте: 7 лет 5 месяцев назад
Зарегистрирован: 22.03.2008 - 22:15
Публикации: 54876