Мик. Родококкоз. +

Родококкоз.

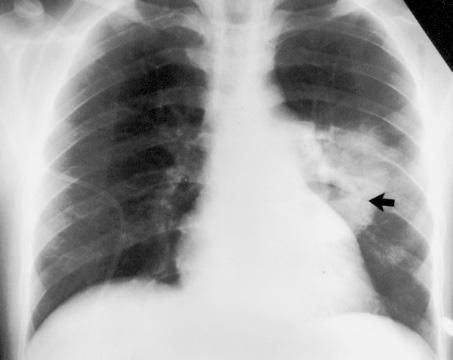
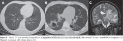
Родококкоз, как правило, встречается у лошадей и жеребят. Человек родококкозом не болеет. Но, у пациентов со СПИДом родококкоз встречается, и описано значительное количество случаев с легочными изменениями, вплоть до "кавитаций".

Наблюдение д-ра Чарльза Уайта

Фелипе Франциско Tuon; Ринальдо Фокачча Сицилиано, Тарик аль-Мусави, Флавия Росси, Вера Луиза Capelozzi; Роналду Сезар Gryschek, Эдуардо Александрино Серволо Медейрос

Рубен Солари, Луис Де Каролис, Диана Cangelosi, Ракель Ролле, Омар Палмиери, Марсело Корти