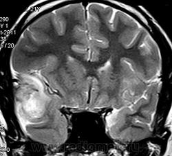
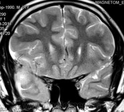
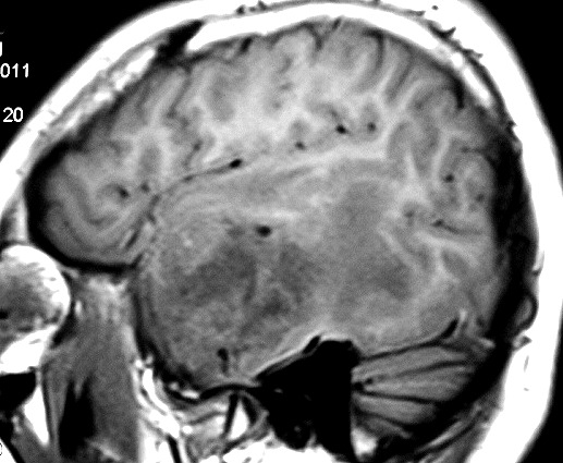
ГМ. Менингосаркома. +

Менингосаркома.

 

Отдел патологии, школа медицинских наук.
Государственного Университета Кампинас (UNICAMP).
Кампинас, Сан-Паулу, Бразилия.