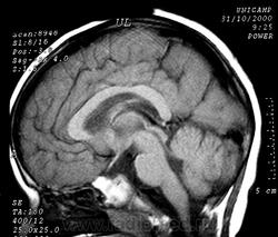
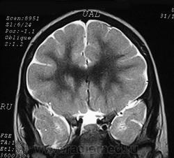
Пахигирия— уменьшение числа вторичных извилин. В пораженном полушарии нервные клетки образуют толстый недифференцированный слой с неправильно расположенными нервными волокнами и группами гетеротопных клеток. Нервные клетки незрелые. Белое вещество истончено. При этом нередко аномально развит корково-спинномозговой путь. Пахигирия может быть односторонней или двусторонней. Генерализованная пахигирия часто наблюдается при микроцефалии.
Пахигирия— уменьшение числа вторичных извилин. В пораженном полушарии нервные клетки образуют толстый недифференцированный слой с неправильно расположенными нервными волокнами и группами гетеротопных клеток. Нервные клетки незрелые. Белое вещество истончено. При этом нередко аномально развит корково-спинномозговой путь. Пахигирия может быть односторонней или двусторонней. Генерализованная пахигирия часто наблюдается при микроцефалии.
https://radiopaedia.org/images/239067