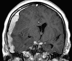
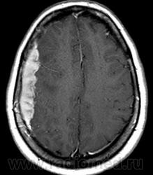
ГМ. СМ. Нейросаркоидоз. Саркоидоз на спинальном уровне. +

Саркоидоз на спинальном уровне.

 

Отдел патологии, школа медицинских наук.
Государственного Университета Кампинас (UNICAMP).
Кампинас, Сан-Паулу, Бразилия.

Катенёв Валентин Львович аватар
Не на сайте
Был на сайте: 6 лет 11 месяцев назад
Зарегистрирован: 22.03.2008 - 22:15
Публикации: 54876

Нейросаркоидоз

Приложения: 
journal_logo.jpgf24.largespinnogo_mozga_v_23-letniy_muzhchina.jpgf25.mediumspinnogo_mozga_v_23-letniy_muzhchina.giff26.mediumspinnogo_mozga_v_23-letniy_muzhchina.gif
Катенёв Валентин Львович аватар
Не на сайте
Был на сайте: 6 лет 11 месяцев назад
Зарегистрирован: 22.03.2008 - 22:15
Публикации: 54876
Приложения: 
sarkoidoz.jpg