Синдром. Кикучи синдром. +

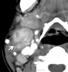
Кикучи синдром (Кикучи – Фуимото болезнь, описана японскими врачами M. Kikuchi, Y. Fujimoto; синоним – гистиоцитарный некротизирующий лимфаденит) – заболевание, проявляющееся безболезненным односторонним поражением шейных лимфатических узлов с возможной последующей генерализацией лимфаденопатии, лихорадкой, поражением кожи по типу крапивницы, иногда – спленомегалией. Увеличение мезентериальных лимфоузлов может симулировать аппендицит. При лабораторном обследовании выявляют нейтропению, лимфоцитоз, ускорение СОЭ, увеличение концентрации печеночных ферментов, в сыворотке крови обнаруживают антитела к ДНК, антилимфоцитарные антитела. При гистологическом исследовании лимфоузлов – пятнистый паракортикальный некроз из эозинофильного материала, окруженный гистиоцитами, макрофагами, Т-клетками. Предполагается, что волчанкоподобный синдром развивается в связи с инфекцией, вызванной парвовирусом. Терапия – глюкокортикоиды.

M. Kikuchi. Lymphadenitis showing focal reticulum cell hyperplasia with nuclear debris and phagocytosis. Acta haematologica Japonica. Nippon Ketsueki Gakkai Zasshi, 1972; 35: 379–380.

Y. Fujimoto, Y. Kozima, K. Yamaguchi. Cervical subacute necrotizing lymphadenitis: a new clinicopathologic entity. Naika, 1972; 20: 920–927.