ГМ. СМ. Спинномозговые грыжи. +

Миеломенингоцеле – в грыжевое выпячивание вовлекаются оболочки и спинной мозг. Спинной мозг недоразвит, с участками глиоза, расширенным центральным каналом. Размеры грыжи почти не меняются при пункции.
Характер неврологических симптомов и степень их выраженности определяются уровнем расположения грыжи и степенью вовлечения в процесс спинного мозга. Неврологическая симптоматика чаще всего характеризуется параличами или парезами ног, парезами сфинктеров мочевого пузыря и прямой кишки. 

Клиника сопровождается грубыми трофическими расстройствами: отеком стоп, язвами и пролежнями на нижних конечностях и туловище.

Миелоцистоцеле представляет собой грыжевое выпячивание в дефект позвоночника оболочек и спинного мозга с резко расширенным центральным каналом, так что спинной мозг как бы является стенкой грыжевого мешка.
Характерен вид грыжевого выпячивания – кожа истончена, имеет синеватый оттенок, часто наблюдаются незаживающие свищи, окруженные участками грануляционной ткани.
Грубые атрофические изменения в спинном мозге обусловливают выраженную неврологическую симптоматику: параличи, тазовые расстройства, нарушение трофики тканей. 

Миеломенингоцеле.

Миелоцеле.

Липомиелоцеле.

Липомиеломенингоцеле

Задняя менингоцеле.

Катенёв Валентин Львович аватар
Не на сайте
Был на сайте: 7 лет 5 месяцев назад
Зарегистрирован: 22.03.2008 - 22:15
Публикации: 54876

Спинномозговая грыжа – выпячивание мозговых оболочек, корешков и вещества спинного мозга через отверстие, образованное в результате врожденного незаращения позвоночника, обычно срединно расположенное.
Spina bifida (spina – хребет, позвоночный столб, bifidus – надвое расщепленный), не всегда сочетается с грыжевым выпячиванием. Частота спинномозговой грыжи – один случай на 1000 – 3000 новорожденных.
Причиной развития спинномозговой грыжи является нарушение формирования спинного мозга и позвоночного канала в эмбриональном периоде. Грыжи могут располагаться на различных уровнях.
Наиболее частая их локализация – пояснично-крестцовый отдел позвоночного канала.

 

Спинномозговые грыжи подразделяются в зависимости от содержимого грыжевого выпячивания.
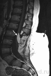
Менингоцеле – выбухание в дефект позвоночника только оболочек спинного мозга. Грыжевое выпячивание просвечивает в проходящем свете, покрыто истонченной кожей с элементами атрофии, пигментными пятнами, оволосением. Менингоцеле достигает иногда огромных размеров, имеет ножку, при пункции спадается. Эта форма является наиболее доброкачественной из всех спинномозговых грыж, так как спинной мозг обычно сформирован правильно.
Менингорадикулоцеле – выбухание в грыжевое выпячивание оболочек и корешков спинного мозга. Корешки истончены, демиелинизированы, неправильно сформированы, заканчиваются в стенках грыжевого мешка.
Грыжевое выпячивание имеет широкое основание, при пункции полностью опустошается. Неврологическая симптоматика при расположении грыжи в пояснично-крестцовом отделе характеризуется периферическими параличами и парезами, трофическими расстройствами на нижних конечностях.

«Детская неврология», О.Бадалян

Катенёв Валентин Львович аватар
Не на сайте
Был на сайте: 7 лет 5 месяцев назад
Зарегистрирован: 22.03.2008 - 22:15
Публикации: 54876

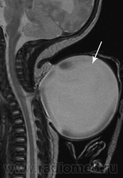
Менингоцеле

Приложения: 
3.cover_.giff18.medium._meningocele..giff19.medium._meningocele..gif
Катенёв Валентин Львович аватар
Не на сайте
Был на сайте: 7 лет 5 месяцев назад
Зарегистрирован: 22.03.2008 - 22:15
Публикации: 54876

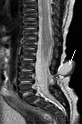
Терминальное миелоцистоцеле

Приложения: 
3.cover_.giff20.medium._terminal_myelocystocele..giff21.medium._terminal_myelocystocele..giff22.medium._terminal_myelocystocele..gif
Катенёв Валентин Львович аватар
Не на сайте
Был на сайте: 7 лет 5 месяцев назад
Зарегистрирован: 22.03.2008 - 22:15
Публикации: 54876

Продолжение.

Приложения: 
1.gr_.slayd16.jpg2.pr_.slayd17.jpg3.pr_.slayd18.jpg