ГМ. Энцефалопатии токсикогенные. +

Энцефалопатии токсикогенные (по литературным источникам)

Катенёв Валентин Львович аватар
Не на сайте
Был на сайте: 7 лет 1 месяц назад
Зарегистрирован: 22.03.2008 - 22:15
Публикации: 54876

Энцефалопатии токсикогенные

 

Приложения: 
1yoyoyoyoslayd56.jpg1yoyoyoyoslayd57.jpg1yoyoyoyoslayd58.jpg1yoyoyoyoslayd59.jpg1yoyoyoyoslayd65.jpg1yoyoyoyoslayd66.jpg1yoyoyoyoslayd67.jpg1yoyoyoyoslayd68.jpg1yoyoyoyoslayd69.jpg1yoyoyoyoslayd70.jpg1yoyoyoyoslayd71.jpg1yoyoyoyoslayd72.jpg1yoyoyoyoslayd73.jpg1yoyoyoyoslayd74.jpg1yoyoyoyoslayd75.jpg
Dima аватар
Не на сайте
Был на сайте: 7 лет 3 месяцев назад
Зарегистрирован: 05.08.2012 - 17:39
Публикации: 2467

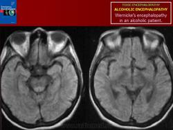
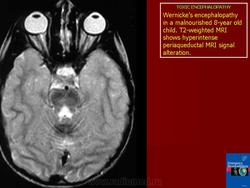
Спасибо, Валентин Львович! Алькогольную встречал несколько раз, у относительно молодых пациентов. Без анамнеза и клинической картины, энцефалопатии очень сложно дифференцировать, если не попадется патогманичного признака.

Терпимость - это когда прощают чужие ошибки; такт - когда не замечают их. (Артур Шницлер)

Катенёв Валентин Львович аватар
Не на сайте
Был на сайте: 7 лет 1 месяц назад
Зарегистрирован: 22.03.2008 - 22:15
Публикации: 54876
Катенёв Валентин Львович аватар
Не на сайте
Был на сайте: 7 лет 1 месяц назад
Зарегистрирован: 22.03.2008 - 22:15
Публикации: 54876