В.Л. Катенёв
Возможности цифровой флюорографии в выявлении дистрофических изменений в шейном отделе позвоночника.
(Рентгенологическое отделение МУЗ «Красногвардейская ЦРБ» Белгородской области)
Несколько ранее, мы сообщали об успешном применении цифрового флюорографа «Ренекс – Флюоро», для диагностики заболеваний придаточных полостей носа. Должен заметить, что мы также широко используем аппарат для цифровой флюорографии («Ренекс – Флюоро») для диагностики дистрофических изменений в шейном отделе позвоночника, в том числе, проводим исследования с физиологической нагрузкой – функциональное исследование, что позволяет выявить нестабильность, а следовательно, диагностировать (безусловно косвенно) дистрофические изменения в межпозвонковых дисках в фазе снижения их тургора, т.е. на ранней стадии.
Исследования шейного отдела позвоночника проводилось нами в стандартных проекциях в положении пациента стоя или сидя. При исследовании с физиологической нагрузкой предпочтительное положении пациента – «сидя». Функциональная рентгенография нами проводилась согласно методике, которая была предложена И.Л. Тагером и И.С. Мазо (Рентгенодиагностика спондилолистеза. М., Медицина. 1968).
Проведенные исследования (с 2006 г.), позволяют нам высказать следующее:
- применение цифровой флюорографии для исследования шейного отдела позвоночника позволяет, не снижая качества изображения (по сравнению с аналоговой рентгенографией), существенно снизить «дозовую нагрузку» на пациентов при данных исследованиях;
- возможность «цифровой обработки» изображения позволяет существенно улучшить качество получаемого изображения:
- использование данной методики позволяет существенно сократить «лимит времени», регламентированный на данное исследование, что является немаловажным фактором в работе;
- проведение исследований шейного отдела позвоночника данной методикой позволяет в некоторой степени «разгрузить прием» рентгенодиагностического кабинета.
При анализе, полученной теневой картины, мы руководствовались классификациями Шморля и Юнханса (Schmorl G., Junghans H.) и Де Сез (De Seze); учитывались признаки и симптомы, приведенные в ниже представленной таблице.
Признак / симптом
Свидетельствующий о
Выпрямленность шейного лордоза без формирования и с формированием патологического кифоза.
Нарушение статической функции шейного отдела позвоночника.
Неравномерное сужение межпозвонковых щелей.
Свидетельство снижения высоты межпозвонкового диска в результате дистрофических изменений в нём.
Смещение тел позвонков.
Косвенное свидетельство нестабильности в сегментах.
Дегенеративно -атрофические изменения.
1.Неровность и нечёткость замыкательных пластинок тел позвонков за счёт процессов, отражающих распад межпозвонкового диска с разрушением замыкающих пластинок тел позвонков, и внедрением элементов распавшегося межпозвонкового диска в тела позвонков в виде мелких узелков Поммера, что свидетельствует об анатомической и функциональной неполноценности межпозвонковых дисков и замыкательных пластинок сегментов.
2.Скошенность передне-верхних лимбусов тел позвонков, как следствие компресии лимбуса, сместившимся кпереди фиброзным кольцом.
3.Локальное «окостенение» передней продольной связки в результате компрессии её фиброзным кольцом, сместившимся кпереди.
Дегенеративно – реактивные изменения.
1. В виде остеофитов,
2. В виде субхондрального склероза, как проявление компенсаторной приспособительной реакции в позвонках на нагрузку, которая падает на измененный диск.
Наличие остеофитов и субхондрального склероза должно расцениваться как показатель перегрузки костной ткани.
3. Хрящевые узлы тел позвонков (грыжи Шморля) являются одним из проявлений дистрофических поражений в двигательных сегментах позвоночника и свидетельствуют о пролабировании фрагментов межпозвоночного диска в тело позвонка.
Признаки нестабильности.
Нарушение динамической функции. В процессе «сгибания» и «разгибания» определяются смещения тел позвонков кпереди и кзади, что указывает на дистрофические изменения в межпозвонковых дисках в фазе потери их тургора и о потери «фиксационной способности диска».
Сближение передних и задних отделов смежных позвонков (в зависимости от сгибания и разгибания) и уменьшение высоты переднего отдела диска более, чем на ¼.
Состояние дугоотросчатых суставов.
Остеосклеротическая субхондральная перестройка структуры костной ткани с неровностью суставных поверхностей. Краевые костные разрастания, удлиняющие и деформирующие суставные отростки.
Состояние межпозвонковых отверстий.
Сужение и деформация межпозвонковых отверстий.
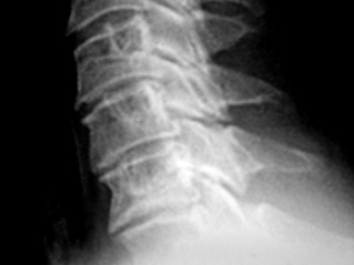
С целью иллюстрации применения цифровой флюорографии для исследования шейного отдела позвоночника, приводим несколько наблюдений.
Иллюстрации 1, 2, 3. Определяется «выпрямленность» шейного лордоза, неравномерное сужение межпозвонковых щелей в сегментах С2-С3, С3-С4. Резкое сужение межпозвонковых щелей в сегментах С4-С5, С5-С6, С6-С7, с выраженным субхондральным склерозом тел позвонков, неровностью замыкательных пластинок, образованием остроконечных остеофитов по передней поверхности тел позвонков. В дугоотросчатых суставах определяется сужение суставных щелей с выраженным субхондральным склерозом. На иллюстрации 2 хорошо дифференцируется остеосклеротическая перестройка тел С4, С5, С6, С7, как компенсаторная приспособительная реакция, в результате анатомической и функциональной несостоятельности межпозвонковых дисков.
Иллюстрация 4. Определяется выраженная «выпрямленность» шейного лордоза. Имеет место скошенность передне-верхних лимбусов тел С3, С4, С5, С6. Определяется некоторое снижение высоты тела С 5 в передних отделах. В дугоотросчатых суставах определяется субхондральный склероз, неровность замыкательных пластинок.
Иллюстрации 5, 6, 7. Определяется выраженная «сглаженность» шейного лордоза на уровне С2-С6. Определяется некоторая скошенность передне-верхних лимбусов тел С4, С5. В положении разгибания определяется смещение кзади тел С3, С4, С5 в виде лестничной комбинации, что свидетельствует о нестабильности в сегментах С3-С4, С4-С5, С5-С6 и указывает на дистрофические изменения в межпозвонковых дисках указанных сегментов.
Иллюстрация 7 – фрагмент с увеличением, на котором четко определяется смещение кзади тел позвонков.
Иллюстрации 8, 9, 10, 11, 12, 13. Определяется сглаженность шейного лордоза на уровне С2-С7 с тенденцией формирования патологического кифоза на уровне С4, С5, С6.
Определяется скошенность передне-верхних лимбусов тел С4, С5, С6. Определяется формирование остроконечного остеофита по передне-верхнему краю С6.
Иллюстрация 11 – в положении разгибания данных за нестабильность не выявлено.
Иллюстрация 12 – в положении сгибания определяется смещение тела С4 кпереди, что свидетельствует о нестабильности в сегменте С4-С5. Определяется деконфигурация суставной щели в дугоотросчатых суставах сегмента С4-С5. Дискартрогенная нестабильность в сегменте С4-С5.
Иллюстрация 13 – фрагмент с увеличением. По передней поверхности С6 хорошо дифференцируются остроконечные остеофиты.
Иллюстрации 14, 15, 16. Определяется сглаженность шейного лордоза с тенденцией формирования патологического кифоза на уровне С4, С5, С6.
В положении разгибания определяется смещение кзади тел С2, С3, С4, что свидетельствует о нестабильности в сегментах С2-С3, С3-С4, С4-С5.


