Педжета болезнь 1. +

Бюст сэра Джеймса Пейджа в больнице Святого Варфоломея

Доктор медицинских наук, профессор   Берченко Геннадий Николаевич

Болезнь Педжета [(деформирующий остоз; МКБ–10: М88

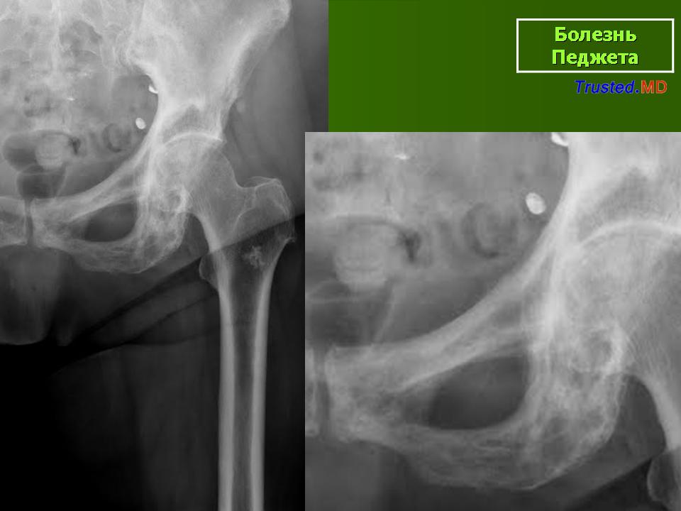
Болезнь Педжета (костей) (деформирующий остеит) ― заболевание, характеризующееся выраженной патологической перестройкой (ремоделированием) кости, при этом первоначально увеличенная резорбция кости сменяется её усиленным дезорганизованным новообразованием, что приводит к формированию чрезмерно васкуляризированной, болезненной, склонной к переломам кости. В результате длительной беспрерывной перестройки в очаге поражения костная ткань приобретает специфическую мозаичную структуру.

Болезнь Педжета проявляется у больных в возрасте старше 40 лет. Заболеваемость варьирует в пределах 0,1–3% населения. У лиц моложе 40 лет частота заболеваемости не превышает 0,5%, у лиц старше 90 лет частота заболеваемости около 10%. Деформирующий остоз чаще встречается у мужчин. Поражение только одной кости (монооссальная форма), преимущественно большеберцовой, бедренной, или таза встречается редко, в 85% в процесс вовлекается множество костей (длинные кости, кости таза, черепа и позвоночника) ― полиоссальная форма. В основном поражаются кости, несущие наибольшую механическую нагрузку (поясничные и крестцовые позвонки, бедренная и большеберцовые кости и др.); характерны поражения костей крыши черепа; из лицевых костей чаще поражаются челюсти.

Этиология и патогенез. Наличие в ряде случаев семейного характера заболевания и его преобладание среди определённых этнических групп, дало основание высказать предположение о наследственном характере болезни. Возникновение заболевания может быть связано с медленной вирусной инфекцией, что подтверждается ультраструктурными исследованиями, показавшими наличие внутри ядер и цитоплазмы остеокластов и их предшественников включений, имеющих значительное сходство с нуклеокапсидами парамиксовирусов. Основные изменения при болезни Педжета обусловлены патологией остеокластов. В пользу диспластической природы заболевания свидетельствует афункциональный характер перестройки кости, локальность процесса, возникновение болезни в возрасте старше 40 лет, развитие в поражённых костях сарком.

Катенёв Валентин Львович аватар
Не на сайте
Был на сайте: 7 лет 1 месяц назад
Зарегистрирован: 22.03.2008 - 22:15
Публикации: 54876

Продолжение.

Приложения: 
1.p.slayd11.jpg2.p.slayd12.jpg
Катенёв Валентин Львович аватар
Не на сайте
Был на сайте: 7 лет 1 месяц назад
Зарегистрирован: 22.03.2008 - 22:15
Публикации: 54876

Продолжение.

Приложения: 
1.pe_.slayd119.jpg2.pe_.slayd120.jpg1.p.slayd153.jpg2.p.slayd154.jpg3.p.slayd155.jpg1.p.slayd163.jpg2.p.layd164.jpg3.p._slayd165.jpg4.p.slayd166.jpg
Катенёв Валентин Львович аватар
Не на сайте
Был на сайте: 7 лет 1 месяц назад
Зарегистрирован: 22.03.2008 - 22:15
Публикации: 54876

Продолжение.

Приложения: 
1.p.slayd143.jpg1.p.slayd147.jpg2.p.slayd144.jpg3.p.slayd145.jpg4.p.slayd146.jpg
Катенёв Валентин Львович аватар
Не на сайте
Был на сайте: 7 лет 1 месяц назад
Зарегистрирован: 22.03.2008 - 22:15
Публикации: 54876

Продолжение.

Приложения: 
1.p.slayd26.jpg2.p.slayd27.jpg3.p.slayd28.jpg
Катенёв Валентин Львович аватар
Не на сайте
Был на сайте: 7 лет 1 месяц назад
Зарегистрирован: 22.03.2008 - 22:15
Публикации: 54876

Вторичная остеосаркома может развиваться на фоне болезни Педжета, остеобластомы, множественных врожденных экзостозов. В работе выделено 3 остеосаркомы на фоне болезни Педжета, 3 - постлучевых остеосарком и 1 - остеосаркома костей таза при болезни Оллье.

Макроскопическая картина выявляет границу саркоматозного компонента, особенно если разрушена кортикальная пластинка пораженной кости.

Микроскопическая картина остеосаркомы при болезни Педжета - удается выявить мозаичные структуры цементирования в окружении веретеноклеточного саркоматозного компонента, гистологический вариант остеосаркомы и степень дифференцировки опухоли отличается от случая к случаю. В наших наблюдениях все три остеосаркомы обладали признаками низкой степени дифференцировки с фокусами патологического остеоида.

Катенёв Валентин Львович аватар
Не на сайте
Был на сайте: 7 лет 1 месяц назад
Зарегистрирован: 22.03.2008 - 22:15
Публикации: 54876

Из литературных источников.

Приложения: 
1.ped_.slayd29.jpg2.ped_.slayd30.jpg3.ped_.slayd31.jpg
Катенёв Валентин Львович аватар
Не на сайте
Был на сайте: 7 лет 1 месяц назад
Зарегистрирован: 22.03.2008 - 22:15
Публикации: 54876

 

Деформирующая остеодистрофия (болезнь Педжета) чаще проявляется у мужчин в возрасте 40-60 лет, характеризуется постепенно прогрессирующим утолщением коркового слоя костей с развитием гиперостозов, деформацией, искривлением костей, беспорядочностью их структуры, образованием в них кист; поражаются кости мозгового черепа, позвоночника и длинных трубча­тых костей. Размеры мозгового черепа увеличиваются, наружная пластинка костей свода черепа местами утолщена, гиперостозы чередуются с участка­ми беспорядочного разрежения кости. В связи с деформацией костных от­верстий и каналов основания черепа и межпозвонковых отверстий наруша­ется функция черепных и спинномозговых нервов, возможны расстройства кровообращения. Деформация глазниц обусловливает экзофтальм. Нередко отмечаются признаки внутричерепной гипертензии. Позвонки сплющены; в трубчатых костях сужены костномозговые каналы, возможны патологические переломы костей, при этом линия перелома четкая, ровная, как при переломе очищенного банана («банановый перелом»); усилены физиологические изгибы позвоночника. Процесс может быть относительно ограниченным или распро­страненным. Содержание кальция и фосфора в крови нормально или слегка увеличено, активность щелочной фосфатазы повышена. Предполагается доми­нантный тип наследования с различной экспрессивностью. Описал болезнь в 1877 г. английский хирург J. Paget (1814-1899).

Катенёв Валентин Львович аватар
Не на сайте
Был на сайте: 7 лет 1 месяц назад
Зарегистрирован: 22.03.2008 - 22:15
Публикации: 54876

Педжета болезнь

PA chest

ID: 22904 Paget disease - affecting rib Dr Matt Skalski - 2 May 2013 This case is courtesy of one of my mentors, Dr. Cliff TaoRelated article...

Случаи и цифры

  • Intertrabecular ...

     
    Рисунок 1: гистопатология
  •  
    Случай 2
  • CT Axial
     
    Случай 3: череп
  • Болезнь Педжета
     
    Случай 4: таз
  • Болезнь Педжета
     
    Случай 5: дистальная бедренная кость
  •  
    Случай 6: лопатка
  •  
    Случай 7: череп
  •  
    Случай 8: со вторичной остеосаркомой
  •  
    Случай 9
  •  
    Случай 10
  •  
    Случай 11
  •  
    Случай 12: вовлечение грудины
  •  
    Случай 13: на МРТ
  •  
    Случай 14
  • Внешнее вращение ...
     
    Случай 15: ребро
  •  
    Случай 16
  •  
     Случай 17
  •  
    Случай 18: 
  •  
    Случай 19
  •  
    Случай 20
  •  
    Случай 21
  •  
    Случай 22:
  •  
    Случай 23
  • левый бедро
     
    Случай 24: поражение бедра
  •  
    Случай 25: правая подвздошная кость
  •  
    Случай 26
  •  

    Случай 27: патологические переломы

Дифференциальная диагностика изображения

  •  
    Волокнистая дисплазия
  • гиперостоз
     
    Гиперестоз front
Катенёв Валентин Львович аватар
Не на сайте
Был на сайте: 7 лет 1 месяц назад
Зарегистрирован: 22.03.2008 - 22:15
Публикации: 54876

Педжета болезнь

 

Приложения: 
1.slayd223..zh_.jpg2.slayd224..zh_.jpg3.slayd225..zh_.jpg
Катенёв Валентин Львович аватар
Не на сайте
Был на сайте: 7 лет 1 месяц назад
Зарегистрирован: 22.03.2008 - 22:15
Публикации: 54876

"Педжетоидная" манифестация на фоне фиброзной дисплазии.

Приложения: 
1yayaslayd150.jpg
Катенёв Валентин Львович аватар
Не на сайте
Был на сайте: 7 лет 1 месяц назад
Зарегистрирован: 22.03.2008 - 22:15
Публикации: 54876

Продолжение.

 

Приложения: 
1yfyaslayd14.jpg
Катенёв Валентин Львович аватар
Не на сайте
Был на сайте: 7 лет 1 месяц назад
Зарегистрирован: 22.03.2008 - 22:15
Публикации: 54876

Продолжение.

Приложения: 
1fyfy.slayd267.jpg1fyfy.slayd268.jpg
Катенёв Валентин Львович аватар
Не на сайте
Был на сайте: 7 лет 1 месяц назад
Зарегистрирован: 22.03.2008 - 22:15
Публикации: 54876

Продолжение.

 

Приложения: 
0.radiographics_logo.png0.115093fig21apaget_bolezn_kosti.jpeg0.115093fig21bpaget_bolezn_kosti.jpeg
Катенёв Валентин Львович аватар
Не на сайте
Был на сайте: 7 лет 1 месяц назад
Зарегистрирован: 22.03.2008 - 22:15
Публикации: 54876

Болезнь Педжета.

Болезнь Педжета (БП) является довольно распространенным заболеванием во многих европейских странах, США. Оценка распространенности у людей старше 55 лет колебалась от 2% до 5%. Факт, что значительная доля пациентов остаются бессимптомными на протяжении всей их жизни. БП всегда следует рассматривать в дифференциальной диагностике остеосклеротических, а также остеолитических скелетных поражений.
I стадия (литическя) — острая стадия, определяется деструкция кортикального слоя в виде очагов пламени или в форме клина.
II стадия (переходная) – смешанное поражение (остеолиз + склероз).
III стадия (склеротическая) – преобладание склероза с возможной деформацией кости
В монооссальных случаях, частота которых, согласно публикациям, начинается от 10-20% доходя до почти 50%, дифференциальный диагноз может быть гораздо сложнее. В огромном большинстве случаев БП, наличие неоднородных участков костного склероза или остеолиза с искажением трабекулярной архитектуры в сочетании с кортикальным утолщением и фокальным утолщением кости практически патогномоничен для данного заболевания. Бедренная кость является второй наиболее распространенной монооссальной локализацией после таза. В случаях, когда имеется ее дистальное поражение, рентгенологические признаки, характерные для БП, выявляются с меньшей частотой или менее выражены, так что дифференциация с другими процессами, в частности, опухолевыми, может быть затруднена.

 

Приложения: 
pedzheta.png
Катенёв Валентин Львович аватар
Не на сайте
Был на сайте: 7 лет 1 месяц назад
Зарегистрирован: 22.03.2008 - 22:15
Публикации: 54876

С Радиопедии.

 

Приложения: 
699f3c0a216e08527edf444b6c749e_jumbo.jpg
Катенёв Валентин Львович аватар
Не на сайте
Был на сайте: 7 лет 1 месяц назад
Зарегистрирован: 22.03.2008 - 22:15
Публикации: 54876

Продолжение.

 

Приложения: 
0.1.0ff59dd7670b6460f23d3b6d1e9aa8_big_gallerypedzheta.jpg0.21b231522901869ee343fac757ebeb9_big_gallerypedzheta.jpg0.ac9ce105aa85312df645bacaa741c5_big_gallerypedzheta.jpeg
Катенёв Валентин Львович аватар
Не на сайте
Был на сайте: 7 лет 1 месяц назад
Зарегистрирован: 22.03.2008 - 22:15
Публикации: 54876

Продолжение.

 

Приложения: 
1.image127bolezn_pedzheta.png
Катенёв Валентин Львович аватар
Не на сайте
Был на сайте: 7 лет 1 месяц назад
Зарегистрирован: 22.03.2008 - 22:15
Публикации: 54876

Продолжение.

 

Приложения: 
11.slayd109.jpg11.slayd110.jpg11.slayd111.jpg11.slayd112.jpg11.slayd113.jpg11.slayd114.jpg11.slayd115.jpg11.slayd116.jpg11.slayd117.jpg
Катенёв Валентин Львович аватар
Не на сайте
Был на сайте: 7 лет 1 месяц назад
Зарегистрирован: 22.03.2008 - 22:15
Публикации: 54876
 

фигура

Рисунок 6.   Педжета болезнь кости у 64-летней женщины. Боковая рентгенограмма дистального отдела предплечья фиксирует продвигающийся литический "фронт," типичный для «активной» фазы болезни (наконечник стрелы),  изменение кортикального слоя и трабекул, характерных для «склеротической» фазы (стрелка). 

 
Катенёв Валентин Львович аватар
Не на сайте
Был на сайте: 7 лет 1 месяц назад
Зарегистрирован: 22.03.2008 - 22:15
Публикации: 54876
 

фигура

Рисунок 7a.   Педжета болезнь у 50-летней женщины.

 
 
 

фигура

Рисунок 7b.   Педжета болезнь у 50-летней женщины. 

Катенёв Валентин Львович аватар
Не на сайте
Был на сайте: 7 лет 1 месяц назад
Зарегистрирован: 22.03.2008 - 22:15
Публикации: 54876

Renal Cell Carcinoma Metastasized to Pagetic Bone

https://www.ncbi.nlm.nih.gov/pmc/articles/PMC5025293/

 

Катенёв Валентин Львович аватар
Не на сайте
Был на сайте: 7 лет 1 месяц назад
Зарегистрирован: 22.03.2008 - 22:15
Публикации: 54876

Imaging of Paget Disease of Bone и его скелетно-мышечные осложнения

https://www.ajronline.org/doi/full/10.2214/AJR.10.7222?src=recsys

Катенёв Валентин Львович аватар
Не на сайте
Был на сайте: 7 лет 1 месяц назад
Зарегистрирован: 22.03.2008 - 22:15
Публикации: 54876
Приложения: 
nejmicm1502815_f1.jpeg
Катенёв Валентин Львович аватар
Не на сайте
Был на сайте: 7 лет 1 месяц назад
Зарегистрирован: 22.03.2008 - 22:15
Публикации: 54876
Катенёв Валентин Львович аватар
Не на сайте
Был на сайте: 7 лет 1 месяц назад
Зарегистрирован: 22.03.2008 - 22:15
Публикации: 54876

Продолжение.

 

Приложения: 
slayd1.jpgslayd2.jpgslayd3.jpg
Катенёв Валентин Львович аватар
Не на сайте
Был на сайте: 7 лет 1 месяц назад
Зарегистрирован: 22.03.2008 - 22:15
Публикации: 54876

Продолжение.

 

Приложения: 
123.slayd225.jpg
Катенёв Валентин Львович аватар
Не на сайте
Был на сайте: 7 лет 1 месяц назад
Зарегистрирован: 22.03.2008 - 22:15
Публикации: 54876

Продолжение.

 

Приложения: 
23.slayd229.jpg