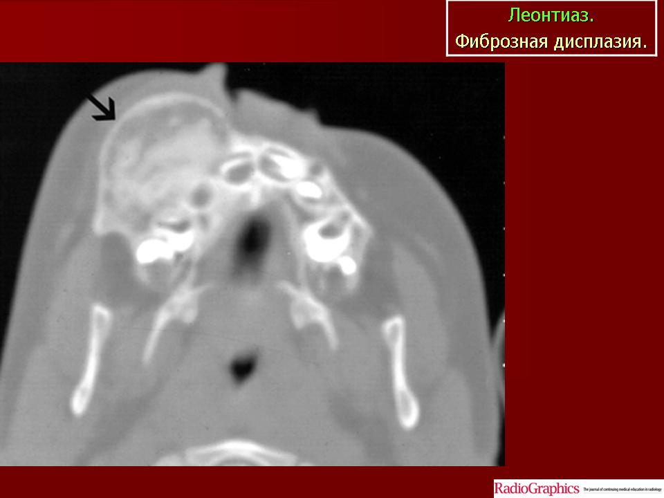
К редкому виду поражения черепа относится фиброзная дисплазия в костях его свода. При такой локализации она симулирует остеому. Lenson (1957) подробно описал диагностическую ошибку у 10-летней девочки. Чаще всего при множественной форме фиброзной дисплазии поражены одновременно лобная и верхнечелюстные кости. Фиброзная дисплазия верхней челюсти в литературе получила название «костного леонтиаза», или «костной львиности». Всего описано около 140 наблюдений фиброзной дисплазии подобной локализации. В 1962 г. Н. В. Великорусова сообщила о 5 детях с леонтиазом. Очаги фиброзной дисплазии отличаются тем, что костная ткань в них разрастается с извращением остеогенеза. В результате функционально неполноценная остеобластическая ткань не в состоянии выполнять опорную функцию. Она разрастается, занимая большой объем, кость принимает «вздутый» вид. При локализации в верхнечелюстной кости появляются асимметрия лица, выступание пораженной верхней челюсти, а при двустороннем поражении — «львиное» выражение лица.
Костный леонтиаз.
К редкому виду поражения черепа относится фиброзная дисплазия в костях его свода. При такой локализации она симулирует остеому. Lenson (1957) подробно описал диагностическую ошибку у 10-летней девочки.
Чаще всего при множественной форме фиброзной дисплазии поражены одновременно лобная и верхнечелюстные кости. Фиброзная дисплазия верхней челюсти в литературе получила название «костного леонтиаза», или «костной львиности». Всего описано около 140 наблюдений фиброзной дисплазии подобной локализации.
В 1962 г. Н. В. Великорусова сообщила о 5 детях с леонтиазом. Очаги фиброзной дисплазии отличаются тем, что костная ткань в них разрастается с извращением остеогенеза. В результате функционально неполноценная остеобластическая ткань не в состоянии выполнять опорную функцию.
Она разрастается, занимая большой объем, кость принимает «вздутый» вид. При локализации в верхнечелюстной кости появляются асимметрия лица, выступание пораженной верхней челюсти, а при двустороннем поражении — «львиное» выражение лица.
Продолжение.