МПС. Мочевая система. Уретероцеле. +

Уретероцеле.

 

Катенёв Валентин Львович аватар
Не на сайте
Был на сайте: 7 лет 2 месяцев назад
Зарегистрирован: 22.03.2008 - 22:15
Публикации: 54876

Продолжение.

Приложения: 
1.u.slayd173.jpg2.u.slayd174.jpg3.u.slayd175.jpg
Катенёв Валентин Львович аватар
Не на сайте
Был на сайте: 7 лет 2 месяцев назад
Зарегистрирован: 22.03.2008 - 22:15
Публикации: 54876

Продолжение.

Приложения: 
2.u.slayd160.jpg3.u.slayd161.jpg3.u.slayd162.jpg4.u.slayd163.jpg1.u.slayd159.jpg1.u.slayd159.jpg
Катенёв Валентин Львович аватар
Не на сайте
Был на сайте: 7 лет 2 месяцев назад
Зарегистрирован: 22.03.2008 - 22:15
Публикации: 54876

Уретероцеле.

 

Приложения: 
1.eret_.slayd30.jpg
Катенёв Валентин Львович аватар
Не на сайте
Был на сайте: 7 лет 2 месяцев назад
Зарегистрирован: 22.03.2008 - 22:15
Публикации: 54876

Уретероцеле

 

Приложения: 
1.uret_.slayd40.jpg
Катенёв Валентин Львович аватар
Не на сайте
Был на сайте: 7 лет 2 месяцев назад
Зарегистрирован: 22.03.2008 - 22:15
Публикации: 54876

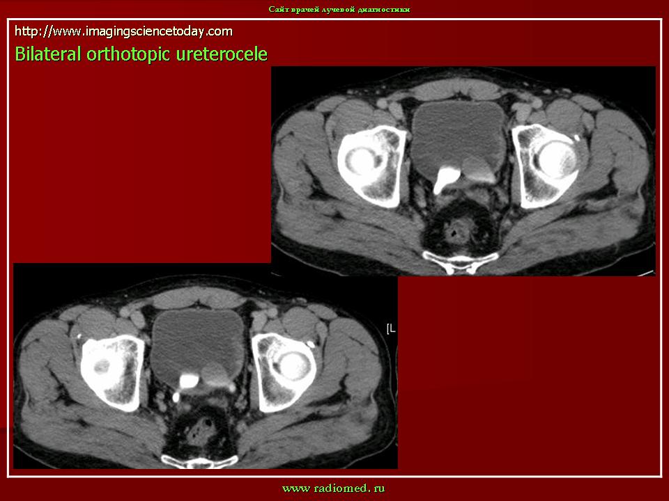
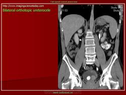
Уретероцеле

 

Приложения: 
1.ure_.slayd58.jpg
Катенёв Валентин Львович аватар
Не на сайте
Был на сайте: 7 лет 2 месяцев назад
Зарегистрирован: 22.03.2008 - 22:15
Публикации: 54876

Из литературных источников.

 

Приложения: 
1yayaslayd95.jpg