Онкология. Хордома 1. +

Хордома.

Катенёв Валентин Львович аватар
Не на сайте
Был на сайте: 7 лет 2 недели назад
Зарегистрирован: 22.03.2008 - 22:15
Публикации: 54876

 

Хордома - медленно растущая злокачественная опухоль, встречающаяся в 1-4 % случаев злокачественных опухолей костей и образующаяся из остатков хорды (спинной струны). Локализация: хордома может развиваться в позвонках, большей частью шейных и грудных, но у половины больных - в крестцово-копчиковом отделе, а также в области турецкого седла, затылочной и верхнечелюстной областей. У мужчин хордома встречается в два раза чаще, чем у женщин. Основная часть больных - лица в возрасте 50- 70 лет. Хордома затылочной области редко превышает несколько сантиметров в диаметре, но при локализации в крестцово-копчиковой области она может стать гигантской (массой до 6,5 кг).

Макроскопически хордома имеет вид дольчатого студенистого узла и напоминает хондросарко-му или муцинозную аде!юкарциному. Вокруг нее определяется не капсула, а остатки кости, симулирующие капсулу, в которых разрастается опухолевая ткань. Часто встречаются очаги кровоизлияния.

Под микроскопом выделяют три типа хордомы. Обыкновенная хордома встречается чаще двух остальных типов. В ней видны крупные вакуолизированные или пенистые клетки, располагающиеся беспорядочно или же в виде тяжей различной ширины и формы. Иногда они напоминают клетки перстневидного рака. Наряду с ними имеются мелкие клетки с эозинофильной, лишенной вакуолей цитоплазмой и центрально расположенным округлым ядром. Ядерного полиморфизма нет, фигуры митоза встречаются редко. Хондроидная хордома встречается, главным образом, в клиновидно-затылочной области, но в три раза реже, чем обыкновенная хордома, вариантом которой она является. Этот тип опухоли содержит разрастания гиалинового хряща, то очень объемные, то весьма скудные. Клеточный атипизм незначителен.

Строма хордомы развита слабо. «Дедифференцированная» хордома напоминает злокачественную фиброзную гистиоцитому, но в ней встречаются участки, неотличимые от фибро- или остеосаркомы, а также высоко злокачественной хондросаркомы. «Дедифферениированная» хордома выявляется, как правило, в случае рецидива обыкновенной хордомы, в особенности после неэффективного хирургического лечения или лучевой терапии. Облучение является, возможно, тем фактором, который и вызывает такую своеобразную трансформацию хордомы.

Хордому нужно дифференцировать от метастатических поражений, липосаркомы, миксоидной хондросаркомы, остеохондромы, хондросаркомы 1-й степени, гранулемы, возникающей при попадании в ткани поливинилпирролидона (высокомолекулярное вещество, иногда используется как заменитель плазмы или добавка, способствующая длительной задержке в тканях некоторых лекарственных препаратов; гидрофильные макромолекулы поливинилпирролидона накапливаются в гистиоцитах, которые уподобляются клеткам хордомы). 

Катенёв Валентин Львович аватар
Не на сайте
Был на сайте: 7 лет 2 недели назад
Зарегистрирован: 22.03.2008 - 22:15
Публикации: 54876

Продолжение.

Приложения: 
1.hord_.23.h.slayd4_.jpg2.hord24.h.slayd5_.jpg3.hord_.26.h.slayd6_.jpg1.hor_.slayd65.jpg2.hor_.slayd66.jpg3.hor_.slayd67.jpg1.hor_.slayd68.jpg2.hor_.slayd70.jpg
Катенёв Валентин Львович аватар
Не на сайте
Был на сайте: 7 лет 2 недели назад
Зарегистрирован: 22.03.2008 - 22:15
Публикации: 54876

Продолжение.

Приложения: 
1.h.slayd37.jpg1.h.1.hor_.slayd13.jpg2.h.2.hor_.slayd14.jpg3.h.2..slayd9_.jpg4.h.21.h.slayd2_.jpg
Катенёв Валентин Львович аватар
Не на сайте
Был на сайте: 7 лет 2 недели назад
Зарегистрирован: 22.03.2008 - 22:15
Публикации: 54876

Продолжение.

Приложения: 
1.h.slayd152.jpg2.h.slayd153.jpg
Катенёв Валентин Львович аватар
Не на сайте
Был на сайте: 7 лет 2 недели назад
Зарегистрирован: 22.03.2008 - 22:15
Публикации: 54876

Продолжение.

Приложения: 
1.hor_.slayd97.jpg
Катенёв Валентин Львович аватар
Не на сайте
Был на сайте: 7 лет 2 недели назад
Зарегистрирован: 22.03.2008 - 22:15
Публикации: 54876

Продолжение.

Приложения: 
1.hordoma.slayd163.jpg
Катенёв Валентин Львович аватар
Не на сайте
Был на сайте: 7 лет 2 недели назад
Зарегистрирован: 22.03.2008 - 22:15
Публикации: 54876

Хордома.

Приложения: 
1.hord_.slayd89.jpg
Катенёв Валентин Львович аватар
Не на сайте
Был на сайте: 7 лет 2 недели назад
Зарегистрирован: 22.03.2008 - 22:15
Публикации: 54876

Продолжение

Приложения: 
1.hord_.slayd88.jpg
Катенёв Валентин Львович аватар
Не на сайте
Был на сайте: 7 лет 2 недели назад
Зарегистрирован: 22.03.2008 - 22:15
Публикации: 54876

Хордома.

Приложения: 
1.hordoma..slayd357.jpg
Катенёв Валентин Львович аватар
Не на сайте
Был на сайте: 7 лет 2 недели назад
Зарегистрирован: 22.03.2008 - 22:15
Публикации: 54876

Хордома.

Приложения: 
1.hordoma.slayd98.jpg
Катенёв Валентин Львович аватар
Не на сайте
Был на сайте: 7 лет 2 недели назад
Зарегистрирован: 22.03.2008 - 22:15
Публикации: 54876

.

Приложения: 
1.ogl_.slayd148.jpg2.ogl_.slayd180.jpg3.ogl_.slayd182.jpg2.ogl_.slayd187.jpg3.ogl_.slayd188.jpg4.ogl_.slayd191.jpg2.ogol_.slayd199.jpg3.ogl_.slayd201.jpg
Катенёв Валентин Львович аватар
Не на сайте
Был на сайте: 7 лет 2 недели назад
Зарегистрирован: 22.03.2008 - 22:15
Публикации: 54876

Хордома.

Приложения: 
1.hon_.slayd179.jpg2.hon_.slayd180.jpg3.hon_.slayd181.jpg4.hor_.slayd182.jpg5.hor_.slayd183.jpg6.hor_.slayd184.jpg7.hor_.slayd185.jpg8.hor_.slayd186.jpg
Катенёв Валентин Львович аватар
Не на сайте
Был на сайте: 7 лет 2 недели назад
Зарегистрирован: 22.03.2008 - 22:15
Публикации: 54876

Хордома.

Приложения: 
1.hor_.slayd187.jpg2.hor_.slayd188.jpg3.hor_.slayd189.jpg4.hor_.slayd190.jpg1.hor_.slayd191.jpg2.hor_.slayd192.jpg3.hor_.slayd193.jpg
Катенёв Валентин Львович аватар
Не на сайте
Был на сайте: 7 лет 2 недели назад
Зарегистрирован: 22.03.2008 - 22:15
Публикации: 54876

Хордома.

 

Приложения: 
1.ho_.slayd194.jpg2.ho_.slayd195.jpg3.ho_.slayd196.jpg4.ho_.slayd197.jpg
Катенёв Валентин Львович аватар
Не на сайте
Был на сайте: 7 лет 2 недели назад
Зарегистрирован: 22.03.2008 - 22:15
Публикации: 54876

Хордома

Приложения: 
1ffslayd116.jpg1ffslayd117.jpg
Катенёв Валентин Львович аватар
Не на сайте
Был на сайте: 7 лет 2 недели назад
Зарегистрирован: 22.03.2008 - 22:15
Публикации: 54876

Продолжение.

 

Приложения: 
1.yoyo_.skanirovanie0009b.jpg1.yoyo_.skanirovanie0010a.jpg1.yoyo_.skanirovanie0010b.jpg1.yoyo_.skanirovanie0010v.jpg1.yoyo_.skanirovanie0011a.jpg
Катенёв Валентин Львович аватар
Не на сайте
Был на сайте: 7 лет 2 недели назад
Зарегистрирован: 22.03.2008 - 22:15
Публикации: 54876

фигура
Просмотр увеличенной версии (134K)

Фиг.7А. -49-летний мужчина с сакральной хордомой.

фигура
Просмотр увеличенной версии (177K)

Фиг.7В. -49-летний мужчина с сакральной хордомой. 

фигура
Просмотр увеличенной версии (142K)

Фиг.7С. -49-летний мужчина с сакральной хордомой.

http://www.ajronline.org/doi/full/10.2214/ajr.174.2.1740417?src=recsys
Катенёв Валентин Львович аватар
Не на сайте
Был на сайте: 7 лет 2 недели назад
Зарегистрирован: 22.03.2008 - 22:15
Публикации: 54876

Сакральная хордома

https://www.ncbi.nlm.nih.gov/pmc/articles/PMC2493011/

Большая сакральная хордома

https://www.ncbi.nlm.nih.gov/pmc/articles/PMC5679766/

Мандибулярный метастаз из черепной хордомы

https://www.ncbi.nlm.nih.gov/pmc/articles/PMC2765704/

 

 

Катенёв Валентин Львович аватар
Не на сайте
Был на сайте: 7 лет 2 недели назад
Зарегистрирован: 22.03.2008 - 22:15
Публикации: 54876

Rare case of an extraosseous cervical chordoma with both intradural and extensive extraspinal involvement

https://www.ncbi.nlm.nih.gov/pmc/articles/PMC5672643/

Случай С5-вертебральной хордомы

https://www.ncbi.nlm.nih.gov/pmc/articles/PMC5613465/

 

Катенёв Валентин Львович аватар
Не на сайте
Был на сайте: 7 лет 2 недели назад
Зарегистрирован: 22.03.2008 - 22:15
Публикации: 54876

Хордома заднего средостения.

https://www.ncbi.nlm.nih.gov/pmc/articles/PMC5656078/

 

Катенёв Валентин Львович аватар
Не на сайте
Был на сайте: 7 лет 2 недели назад
Зарегистрирован: 22.03.2008 - 22:15
Публикации: 54876

https://radiologykey.com/imaging-of-sacral-tumors-and-tumor-simulators-experience-of-the-mayo-clinic/

A339464_1_En_4_Fig7_HTML.gif

Рисунок 4.7 

типичные особенности изображения хордомы с литическим деструктивным поражением в нижней части крестца
Катенёв Валентин Львович аватар
Не на сайте
Был на сайте: 7 лет 2 недели назад
Зарегистрирован: 22.03.2008 - 22:15
Публикации: 54876
A339464_1_En_4_Fig8_HTML.jpg
МР-изображения показывают большую гетерогенную твердую разрушающую массу, включающую большинство крестца и копчика, характерные для хордомы
Катенёв Валентин Львович аватар
Не на сайте
Был на сайте: 7 лет 2 недели назад
Зарегистрирован: 22.03.2008 - 22:15
Публикации: 54876

Хордома крестца.

https://radiologykey.com/chordoma-of-the-sacrum/

A339464_1_En_15_Fig3_HTML.gif
Рисунок 15.3
Катенёв Валентин Львович аватар
Не на сайте
Был на сайте: 7 лет 2 недели назад
Зарегистрирован: 22.03.2008 - 22:15
Публикации: 54876

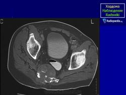
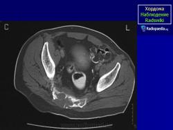
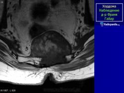
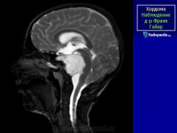
https://radiopaedia.org/articles/chordoma

  •  
    Рисунок 1: гистология
  •  
    Случай 1: 
  •  
    Случай 2: sacrococcygeal
  •  
    Случай 3:
  •  
    Случай 4: тело позвонка C2
  •  
    Случай 5: 
  •  
    Случай 6: 
  •  
    Случай 7: sacrococcegeal
  •  
    Случай 8: sacrococcygeal
  •  
    Случай 9: 
  •  
    Случай 10: sacrococcygeal
  •  
    Случай 11: 
  •  
    Случай 12: sacrococcygeal
  •  
    Случай 13: 
  •  
    Случай 14: 
  •  
    Случай 15: рецидивирующий sacrococcygeal
  •  
    Случай 16: клин
  •  
    Случай 17: C4
Дифференциальная диагностика изображения
  •  
    макроаденома
  •  
    хондросаркома
  • Sag T1 C +
     
    менингиома
  •  
    Макроаденома гипофиза