Онкология. ОГК. Полостные (кавитирующие) метастазы. "Атипичные" метастазы. +

"Полостные" метастазы

Джун Бом Seo, Юнг-Gi Im, Джин Мо Goo, Мен Чжин Чанг, Ми-Young Kim.

 

1. Метастазы. Плоскоклеточный рак левого главного бронха.

2. Метастазы. Рак гортани.

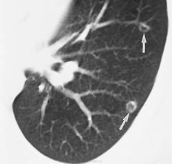
3. Метастазы. Динамика (2).

4. Метастазы. Аденокарцинома прямой кишки.

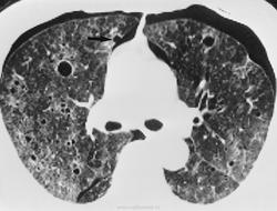
5, 6, 7.  Кавитирующие метастазы, пневмоторакс. Ангиосаркома волосистой части головы.

Катенёв Валентин Львович аватар
Не на сайте
Был на сайте: 7 лет 5 месяцев назад
Зарегистрирован: 22.03.2008 - 22:15
Публикации: 54876

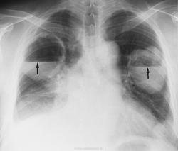
Множественные метастазы.

 

Приложения: 
11..mnozhestvennymi_metastazami.jpg
Катенёв Валентин Львович аватар
Не на сайте
Был на сайте: 7 лет 5 месяцев назад
Зарегистрирован: 22.03.2008 - 22:15
Публикации: 54876

Уважаемые коллеги!

Возможно, в Вашей практике встречались подобные наблюдения, выставляйте, довольно редкое явление...

Катенёв Валентин Львович аватар
Не на сайте
Был на сайте: 7 лет 5 месяцев назад
Зарегистрирован: 22.03.2008 - 22:15
Публикации: 54876