Основы. Голова. Лучевая анатомия головы. КТ головы в мягкотканном окне. +

Лучевая анатомия головы

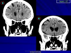
КТ головы в мягкотканном окне.

Катенёв Валентин Львович аватар
Не на сайте
Был на сайте: 7 лет 5 месяцев назад
Зарегистрирован: 22.03.2008 - 22:15
Публикации: 54876

КТ головы в мягкотканном окне.

Приложения: 
11.a.slayd105.jpg12.a.slayd106.jpg13.a.slayd107.jpg14.a.slayd108.jpg15.a.slayd109.jpg
Катенёв Валентин Львович аватар
Не на сайте
Был на сайте: 7 лет 5 месяцев назад
Зарегистрирован: 22.03.2008 - 22:15
Публикации: 54876

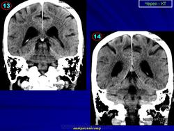
Продолжение.

Приложения: 
21.a.slayd110.jpg22.a.slayd111.jpg23.a.slayd112.jpg24.a.slayd113.jpg25.a.slayd114.jpg
Катенёв Валентин Львович аватар
Не на сайте
Был на сайте: 7 лет 5 месяцев назад
Зарегистрирован: 22.03.2008 - 22:15
Публикации: 54876

Нормальная КТ - анатомия головного мозга.

Приложения: 
1.ki_.slayd1_.jpg2.ki_.slayd2_.jpg3.ki_.slayd3_.jpg4.ki_.slayd4_.jpg5.ki_.slayd5_.jpg6.ki_.slayd6_.jpg7.ki_.slayd7_.jpg8.ki_.slayd8_.jpg11.ki_.slayd9_.jpg12.ki_.slayd10.jpg13.ki_.slayd11.jpg14.ki_.slayd12.jpg15.ki_.slayd13.jpg16.ki_.slayd14.jpg17.ki_.slayd15.jpg18.ki_.slayd16.jpg21.ki_.slayd17.jpg22.ki_.slayd18.jpg23.ki_.slayd19.jpg24.ki_.slayd20.jpg25.ki_.slayd21.jpg26.ki_.slayd22.jpg27.ki_.slayd23.jpg28.ki_.slayd24.jpg
Катенёв Валентин Львович аватар
Не на сайте
Был на сайте: 7 лет 5 месяцев назад
Зарегистрирован: 22.03.2008 - 22:15
Публикации: 54876

К анатомии лицевой области.

Приложения: 
1.anat_.slayd321.jpg2.anat_.slayd322.jpg3.anat_.slayd323.jpg4.anat_.slayd324.jpg5.anat_.slayd325.jpg
Катенёв Валентин Львович аватар
Не на сайте
Был на сайте: 7 лет 5 месяцев назад
Зарегистрирован: 22.03.2008 - 22:15
Публикации: 54876

Стандартная цифровая ангиография головы.

Приложения: 
1.an_.slayd318.jpg2.an_.slayd319.jpg3.an_.slayd320.jpg4.an_.slayd321.jpg5.an_.slayd322.jpg6.an_.slayd323.jpg7.an_.slayd324.jpg
Катенёв Валентин Львович аватар
Не на сайте
Был на сайте: 7 лет 5 месяцев назад
Зарегистрирован: 22.03.2008 - 22:15
Публикации: 54876