ПС. Ценкера дивертикул. Киллиан – Джеймисон - дивертикул. +

Ценкера дивертикул.

Киллиан – Джеймисон - дивертикул

Катенёв Валентин Львович аватар
Не на сайте
Был на сайте: 7 лет 3 недели назад
Зарегистрирован: 22.03.2008 - 22:15
Публикации: 54876

 

ГЛОТОЧНО-ПИЩЕВОДНЫЕ ДИВЕРТИКУЛЫ

Данная разновидность мешковидных выпячиваний стенки пищевода впервые описана F. A. Zenker и носит его имя, однако о ней упоминал еще К. Людлов в 1764 г.

Глоточно-пищеводные (гипофарингеальные, ценкеровские) дивертикулы составляют от 1,3 до 5 % от всех дивертикулов пищевода, т. е. являются довольно редким заболеванием [Ванцян Э. Н., 1963; Розенфельд Л. Г., 1965; Тамулевичуте Д. И., Витенас А. М., 1986]. Мужчины страдают им в 3 раза чаще, чем женщины, что, по всей видимости, связано с несколько большими размерами гортани у лиц мужского пола. Обнаружение ценкеровских дивертикулов у пациентов моложе 15 лет относится к области казуистики.

Местом расположения глоточно-пищеводных дивертикулов является так называемый треугольник Ланье — Хаккермана, боковые стороны которого образованы волокнами щитоглоточной части нижнего констриктора глотки, а основание — перстнегло-точной частью той же мышцы. Упомянутое анатомическое образование есть своего рода место наименьшего сопротивления, где нижний отдел глотки сдавливается между позвоночником и гортанью.

Встречаются также дивертикулы треугольника Лаймера, вершиной обращенного книзу. Его боковые стороны образованы продольными пучками мышечной оболочки пищевода, а основанием служит перстнеглоточная часть нижнего констриктора глотки.

Этиология. Этиология ценкеровских дивертикулов до настоящего времени неизвестна. Предрасполагающими моментами могут

быть пороки внутриутробного развития, дефекты и воспалительные процессы слизистой оболочки данной зоны, дисфункция глоточно-пищеводной мускулатуры, дегенеративные изменения позвоночника и др. [Тамулевичуте Д. И., Витенас А. М., 1986].

Катенёв Валентин Львович аватар
Не на сайте
Был на сайте: 7 лет 3 недели назад
Зарегистрирован: 22.03.2008 - 22:15
Публикации: 54876

Ценкера дивертикул.

Приложения: 
1.c.slayd123.jpg11.c.1.div_.slayd7__1.jpg12.c.2.div_.slayd8__2.jpg13.c.111.d.1.d.c.slayd10_3.jpg14.c.112.d.2.d.c.slayd3__4.jpg
Глазков Игорь Артурович аватар
Не на сайте
Был на сайте: 9 месяцев 2 недели назад
Зарегистрирован: 19.12.2008 - 20:41
Публикации: 1597

Спасибо Валентин Львович.

Прийди к Себе

Катенёв Валентин Львович аватар
Не на сайте
Был на сайте: 7 лет 3 недели назад
Зарегистрирован: 22.03.2008 - 22:15
Публикации: 54876

Дивертикул Ценкера.

 

Приложения: 
1.dc_.slayd79.jpg
Катенёв Валентин Львович аватар
Не на сайте
Был на сайте: 7 лет 3 недели назад
Зарегистрирован: 22.03.2008 - 22:15
Публикации: 54876

Ценкера дивертикул.

Barium swallow with fluoroscopy, lateral view</p> <p>During swallowing an outpouching of the posterior hypopharyngeal wall is clearly visualised at the level C5-C6, right above the upper oesophageal sphincter. The pouch is characterized by a narrow neck entrapping some barium after the swallowing.

ID: 12377 Zenker's diverticulum Dr Erik Ranschaert - 18 Nov 2010 Zenker's diverticulum

ID: 17006 Zenker's diverticulum Dr Roberto Schubert - 8 Mar 2012

Zenker's diverticulum AP </p> <p>

ID: 13718 Zenkers diverticulum Dr Lee-Anne Slater - 10 May 2011 Barium swallow showed a large posterolateral pouch just above the level ...

Случаи и цифры

  •  
    Случай 1: 
  •  
    Случай 2: сагиттальная КТ
  •  
    Случай 2: осевой КТ
  •  
    Случай 3:
  •  
    Случай 4: вид сбоку
  • Zenker diverticul ...
     
    Случай 5: фронтальный вид
  •  
    Случай 6: cinefluoroscopy дивертикула Zenker
  •  
    Случай 7
  •  
    Случай 8
Катенёв Валентин Львович аватар
Не на сайте
Был на сайте: 7 лет 3 недели назад
Зарегистрирован: 22.03.2008 - 22:15
Публикации: 54876

Дивертикул Ценкера.

 

Приложения: 
0.radiographics_logo.png0.rg_.337125153.fig14acenker_v.gif0.rg_.337125153.fig14bcenker_v.gif0.rg_.337125153.fig14ccenker_v.gif
Катенёв Валентин Львович аватар
Не на сайте
Был на сайте: 7 лет 3 недели назад
Зарегистрирован: 22.03.2008 - 22:15
Публикации: 54876

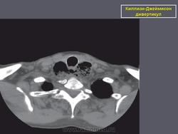
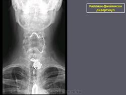
Киллиан – Джеймисон - дивертикул.

 

Приложения: 
0.radiographics_logo.png0.rg_.337125153.fig15advustoronnyaya_killian-dzhemison_divertikulov_v_76-letney_zhenshchiny.gif0.rg_.337125153.fig15bdvustoronnyaya_killian-dzhemison_divertikulov_v_76-letney_zhenshchiny.gif
Катенёв Валентин Львович аватар
Не на сайте
Был на сайте: 7 лет 3 недели назад
Зарегистрирован: 22.03.2008 - 22:15
Публикации: 54876

Ценкера дивертикул.

http://www.nejm.org/doi/full/10.1056/NEJMicm1701620

 

67-летний мужчина