Патологические состояния после перенесенного туберкулёза. Энн Н. Leung. На фоне снижения прозрачности кальцификаты. Состояние после правосторонней пульмонэктомии. Ср, 20/07/2011 - 02:22 #1 Катенёв Валенти... Не на сайте Был на сайте: 7 лет 6 месяцев назад Зарегистрирован: 22.03.2008 - 22:15 Публикации: 54876 Экстраплевральная "пломба"Приложения: Пнд, 08/08/2011 - 22:18 #2 Катенёв Валенти... Не на сайте Был на сайте: 7 лет 6 месяцев назад Зарегистрирован: 22.03.2008 - 22:15 Публикации: 54876 Экстраплевральная "пломба"Приложения: Вс, 12/02/2012 - 21:09 #3 Aleksandra85 Не на сайте Был на сайте: 14 лет 3 месяцев назад Зарегистрирован: 09.02.2012 - 20:26 Публикации: 28 ОГО! впервые такое вижу!! Чт, 15/03/2012 - 21:53 #4 Катенёв Валенти... Не на сайте Был на сайте: 7 лет 6 месяцев назад Зарегистрирован: 22.03.2008 - 22:15 Публикации: 54876 Торакопластика.Приложения: Втр, 17/07/2012 - 16:38 #5 Катенёв Валенти... Не на сайте Был на сайте: 7 лет 6 месяцев назад Зарегистрирован: 22.03.2008 - 22:15 Публикации: 54876 Посттуберкулёзные измененияПриложения: Сб, 11/08/2012 - 00:57 #6 Катенёв Валенти... Не на сайте Был на сайте: 7 лет 6 месяцев назад Зарегистрирован: 22.03.2008 - 22:15 Публикации: 54876 Продолжение.Приложения: Чт, 27/09/2012 - 16:34 #7 Катенёв Валенти... Не на сайте Был на сайте: 7 лет 6 месяцев назад Зарегистрирован: 22.03.2008 - 22:15 Публикации: 54876 Экстраплевральная пломбаПриложения: Ср, 18/09/2013 - 23:14 #8 Катенёв Валенти... Не на сайте Был на сайте: 7 лет 6 месяцев назад Зарегистрирован: 22.03.2008 - 22:15 Публикации: 54876 Последствия и осложнения туберкулёза http://radiographics.rsna.org/content/21/4/839.full Ср, 05/02/2014 - 11:58 #9 Катенёв Валенти... Не на сайте Был на сайте: 7 лет 6 месяцев назад Зарегистрирован: 22.03.2008 - 22:15 Публикации: 54876 Торакопластика. Приложения: Сб, 10/03/2018 - 09:59 #10 Катенёв Валенти... Не на сайте Был на сайте: 7 лет 6 месяцев назад Зарегистрирован: 22.03.2008 - 22:15 Публикации: 54876 Состояние после наложения олеоторакса. http://www.nejm.org/doi/full/10.1056/NEJMicm1609176 Приложения: Вс, 16/09/2018 - 20:04 #11 Катенёв Валенти... Не на сайте Был на сайте: 7 лет 6 месяцев назад Зарегистрирован: 22.03.2008 - 22:15 Публикации: 54876 торакопластика
Экстраплевральная "пломба"
Экстраплевральная "пломба"
ОГО! впервые такое вижу!!
Торакопластика.
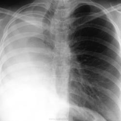
Посттуберкулёзные изменения
Продолжение.
Экстраплевральная пломба
Последствия и осложнения туберкулёза
http://radiographics.rsna.org/content/21/4/839.full
Торакопластика.
Состояние после наложения олеоторакса.
http://www.nejm.org/doi/full/10.1056/NEJMicm1609176