Поиск
- « первая
- ‹ предыдущая
- 1
- 2
- 3
- 4
- 5
- 6
- 7
- 8
- 9
- …
- последняя »
- следующая ›
Системы компьютерной радиографии 1.Система компьютерной радиографии Point-of-Care СR 120 Принцип работы: • Вместо кассеты с рентгеновской пленкой в кассетоприемник рентгенаппарата...
Тип: Тема форума
Дата: 10.06.2008 - 21:25
Предлагаем магнито резонансный томограф сименс симфония 2004 года квантум градиенты, хороший набор катушек. Низкая цена доставка, установка, запуск. http://www.sshiteck.ru/...
Тип: Тема форума
Дата: 12.01.2011 - 12:22
43. Обучение МРТ/РКТ
Здравствуйте! Объявляется набор слушателей на курсы по теме "Основы МРТ и РКТ" (г. Казань). По вопросам обращаться lusett@bk.ru или по телефону 8 (843) 212-23-42.
Тип: Тема форума
Дата: 05.04.2017 - 11:19
Интересный набор в одном суставе. Особое внимание привлекла физарная зона. Поделитесь мнениями, с какой нозологией/патологией можно связать? Левый сустав для сравнения в одной проекции.
Тип: Клиническое наблюдение
Область: Скелетно-мышечная система
Модальность: Rg
Дата: 23.11.2017 - 21:05
женщина 1957 г.р. жалобы на ноющие боли по утрам в суставах кистей рук (считает себя больной больше месяца). Терапевт ставит под вопросом ревматомдный артрит. А может здесь подагра? по моему для...
Тип: Клиническое наблюдение
Область: Скелетно-мышечная система
Модальность: Rg
Дата: 12.07.2010 - 09:00
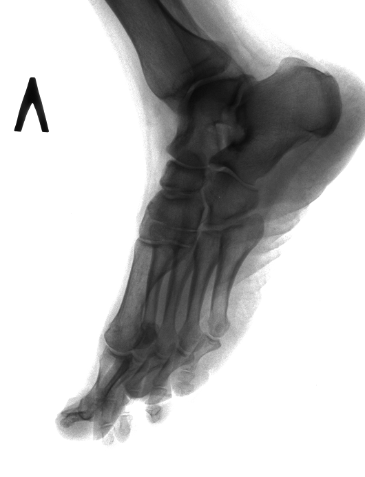
46. Стопы
Уважаемые коллеги! Прошу высказать мнение. Женщина 55л. Жалобы на боль в 1 пальце левой стопы. При осмотре- выражен отек 1 пальца, болезненность при пальпации. Свежую травму отрицает, утверждает что...
Тип: Клиническое наблюдение
Область: Скелетно-мышечная система
Модальность: Rg
Дата: 21.12.2017 - 21:43
Мужчина, 55 лет. Палец болит уже неск месяцев - терпит. В направлении подагра, но как-будто не слишком похоже на нее. Непонятным для меня выглядит прерывистость костной плотности. Подскажите,...
Тип: Клиническое наблюдение
Область: Скелетно-мышечная система
Модальность: Rg
Дата: 03.10.2018 - 11:38
Приводимая ниже информация как для частных лиц, так и медицинских организаций и IT-компаний: Формирую команду проекта на проведение НИОКР «Исследование и разработка программно-аппаратного...
Тип: Клиническое наблюдение
Дата: 13.01.2013 - 14:23
Умер Юрий Юрьевич Журавлев, создатель первого русскоязычного рентгеновского "Сайти практического рентгенолога" http://zhuravlev.info/modules.php?op=modload&name=Forum&file=viewtopic&...
Тип: Тема форума
Дата: 27.12.2016 - 23:33
Здравствуйте! Хотела бы разместить на данном форуме объявление об отдаче книг по рентгенологии. Как мне это сделать? С уважением, Рита
Тип: Тема форума
Дата: 28.10.2013 - 20:21
- « первая
- ‹ предыдущая
- 1
- 2
- 3
- 4
- 5
- 6
- 7
- 8
- 9
- …
- последняя »
- следующая ›








