Легкие, рентген+КТ Помогите разобраться.

Пол пациента: 
Методы исследования: 

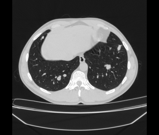
Молодой мужчина. Монтер путей. Жалоб нет. Ни чем не болел и ничего не беспокоит. Год назад при прохождении ФГ в легких были выявлены плотные очаговые и фокусные тени с четкими ровными контурами, рентенологом была выставлено заключение БОИ после твс. Больного обследовали, кровь моча б/о. Консультировали у фтизиатра, в заключении остаточные изменения после твс.(все проходит в ЦРБ)  Через год, т.е сейчас приходит на плановое ФГ где выявляют эти же тени но в большем количестве, и уже другой человек пишет мтс, рекомендует КТ. Больной снова сдает АОК, ОАМ которые абсолютны идеальны, других методов обследования не назначали. Жалоб никаких. 

Помогите разобраться с данными образованиями, не встречал и не знаю о таких, что это кисты?, аневризмы? Расположены по ходу сегментарных и субсегментарных артерий, имеют плотность от -3 до +5 Ед.Н.

  • https://radiomed.ru/sites/default/files/styles/case_slider_image/public/user/19498/img-0002-00001_49.jpg?itok=mr2wWMMi
  • https://radiomed.ru/sites/default/files/styles/case_slider_image/public/user/19498/img-0002-00002_36.jpg?itok=4mGCfbUs
  • https://radiomed.ru/sites/default/files/styles/case_slider_image/public/user/19498/img-0002-00003_36.jpg?itok=kxhdu77H
  • https://radiomed.ru/sites/default/files/styles/case_slider_image/public/user/19498/img-0002-00004_36.jpg?itok=wuc9jkQl
  • https://radiomed.ru/sites/default/files/styles/case_slider_image/public/user/19498/img-0002-00005_36.jpg?itok=7mj5KmpB
  • https://radiomed.ru/sites/default/files/styles/case_slider_image/public/user/19498/img-0002-00006_36.jpg?itok=R8emkf8g
  • https://radiomed.ru/sites/default/files/styles/case_slider_image/public/user/19498/img-0002-00007_36.jpg?itok=DTxnDIh-
  • https://radiomed.ru/sites/default/files/styles/case_slider_image/public/user/19498/img-0002-00008_36.jpg?itok=HdFz-pcw
  • https://radiomed.ru/sites/default/files/styles/case_slider_image/public/user/19498/img-0002-00009_36.jpg?itok=yE-EeKD0
  • https://radiomed.ru/sites/default/files/styles/case_slider_image/public/user/19498/img-0002-00010_37.jpg?itok=OTPJwzP-
  • https://radiomed.ru/sites/default/files/styles/case_slider_image/public/user/19498/img-0002-00011_37.jpg?itok=nZGfBAcy
  • https://radiomed.ru/sites/default/files/styles/case_slider_image/public/user/19498/img-0002-00012_37.jpg?itok=_RgI8poA
  • https://radiomed.ru/sites/default/files/styles/case_slider_image/public/user/19498/img-0002-00013_37.jpg?itok=J4RaGOhh
  • https://radiomed.ru/sites/default/files/styles/case_slider_image/public/user/19498/img-0002-00014_38.jpg?itok=UJxoFYXI
  • https://radiomed.ru/sites/default/files/styles/case_slider_image/public/user/19498/img-0002-00015_38.jpg?itok=3FQWMfSL
  • https://radiomed.ru/sites/default/files/styles/case_slider_image/public/user/19498/img-0002-00016_38.jpg?itok=MymJQ-s8
  • https://radiomed.ru/sites/default/files/styles/case_slider_image/public/user/19498/img-0002-00017_39.jpg?itok=_GkPmf95
  • https://radiomed.ru/sites/default/files/styles/case_slider_image/public/user/19498/img-0002-00018_39.jpg?itok=Aih_5-Px
  • https://radiomed.ru/sites/default/files/styles/case_slider_image/public/user/19498/img-0002-00019_40.jpg?itok=JB1sRCeC
  • https://radiomed.ru/sites/default/files/styles/case_slider_image/public/user/19498/img-0002-00020_40.jpg?itok=KHnPuCtS
  • https://radiomed.ru/sites/default/files/styles/case_slider_image/public/user/19498/img-0002-00021_40.jpg?itok=ky6iPrpP
  • https://radiomed.ru/sites/default/files/styles/case_slider_image/public/user/19498/img-0002-00022_41.jpg?itok=GaVIG9vC
  • https://radiomed.ru/sites/default/files/styles/case_slider_image/public/user/19498/img-0002-00023_41.jpg?itok=DMSNgofP
  • https://radiomed.ru/sites/default/files/styles/case_slider_image/public/user/19498/img-0002-00024_41.jpg?itok=VvfpDRBD
  • https://radiomed.ru/sites/default/files/styles/case_slider_image/public/user/19498/img-0002-00025_41.jpg?itok=MrKHxcR_
  • https://radiomed.ru/sites/default/files/styles/case_slider_image/public/user/19498/img-0002-00026_41.jpg?itok=phPllYnw
  • https://radiomed.ru/sites/default/files/styles/case_slider_image/public/user/19498/img-0002-00027_42.jpg?itok=geJzXNC8
  • https://radiomed.ru/sites/default/files/styles/case_slider_image/public/user/19498/img-0002-00028_42.jpg?itok=o2-wmOus
  • https://radiomed.ru/sites/default/files/styles/case_slider_image/public/user/19498/img-0002-00029_42.jpg?itok=TTBUMa4Z
  • https://radiomed.ru/sites/default/files/styles/case_slider_image/public/user/19498/img-0002-00030_42.jpg?itok=y6R3bo7v
  • https://radiomed.ru/sites/default/files/styles/case_slider_image/public/user/19498/img-0002-00031_42.jpg?itok=JEzN2ywS
  • https://radiomed.ru/sites/default/files/styles/case_slider_image/public/user/19498/img-0002-00032_42.jpg?itok=GTtTj2Jk
  • https://radiomed.ru/sites/default/files/styles/case_slider_image/public/user/19498/img-0002-00033_42.jpg?itok=kYGgdLEV
  • https://radiomed.ru/sites/default/files/styles/case_slider_image/public/user/19498/img-0002-00034_42.jpg?itok=MPsIxso-
  • https://radiomed.ru/sites/default/files/styles/case_slider_image/public/user/19498/img-0002-00035_42.jpg?itok=BHiNHfd8
  • https://radiomed.ru/sites/default/files/styles/case_slider_image/public/user/19498/img-0002-00036_42.jpg?itok=aoCWKWby
  • https://radiomed.ru/sites/default/files/styles/case_slider_image/public/user/19498/img-0002-00037_42.jpg?itok=EnAEPIEc
  • https://radiomed.ru/sites/default/files/styles/case_slider_image/public/user/19498/img-0002-00038_42.jpg?itok=hUA8vkel
  • https://radiomed.ru/sites/default/files/styles/case_slider_image/public/user/19498/img-0002-00039_42.jpg?itok=9ymPhLqk
  • https://radiomed.ru/sites/default/files/styles/case_slider_image/public/user/19498/img-0002-00040_41.jpg?itok=n5oxQjaT
  • https://radiomed.ru/sites/default/files/styles/case_slider_image/public/user/19498/img-0002-00041_41.jpg?itok=2bwYa9hz
  • https://radiomed.ru/sites/default/files/styles/case_slider_image/public/user/19498/img-0002-00042_41.jpg?itok=4EJTkRcs
  • https://radiomed.ru/sites/default/files/styles/case_slider_image/public/user/19498/img-0002-00043_41.jpg?itok=zseOQqHT
  • https://radiomed.ru/sites/default/files/styles/case_slider_image/public/user/19498/img-0002-00044_41.jpg?itok=txtD7Ns3
  • https://radiomed.ru/sites/default/files/styles/case_slider_image/public/user/19498/img-0002-00045_41.jpg?itok=6ELZZMtt
  • https://radiomed.ru/sites/default/files/styles/case_slider_image/public/user/19498/img-0002-00046_41.jpg?itok=Cthq-U24
  • https://radiomed.ru/sites/default/files/styles/case_slider_image/public/user/19498/img-0002-00047_41.jpg?itok=zCQE7E3V
  • https://radiomed.ru/sites/default/files/styles/case_slider_image/public/user/19498/img-0002-00048_41.jpg?itok=W3WuOB79
  • https://radiomed.ru/sites/default/files/styles/case_slider_image/public/user/19498/img-0002-00049_41.jpg?itok=vGSdnecD
  • https://radiomed.ru/sites/default/files/styles/case_slider_image/public/user/19498/img-0002-00050_41.jpg?itok=gGIlN8fc
  • https://radiomed.ru/sites/default/files/styles/case_slider_image/public/user/19498/img-0002-00051_41.jpg?itok=FbKxoc-Y
  • https://radiomed.ru/sites/default/files/styles/case_slider_image/public/user/19498/img-0002-00052_41.jpg?itok=dngmHEHE
  • https://radiomed.ru/sites/default/files/styles/case_slider_image/public/user/19498/img-0002-00053_41.jpg?itok=Awo72VGw
  • https://radiomed.ru/sites/default/files/styles/case_slider_image/public/user/19498/img-0002-00054_41.jpg?itok=kKx4Lj3V
  • https://radiomed.ru/sites/default/files/styles/case_slider_image/public/user/19498/img-0002-00055_41.jpg?itok=v3dxTtKX
  • https://radiomed.ru/sites/default/files/styles/case_slider_image/public/user/19498/img-0002-00056_41.jpg?itok=4rMb-HJH
  • https://radiomed.ru/sites/default/files/styles/case_slider_image/public/user/19498/img-0002-00057_41.jpg?itok=2N7PnlgF
  • https://radiomed.ru/sites/default/files/styles/case_slider_image/public/user/19498/img-0002-00058_40.jpg?itok=n2kQazQR
  • https://radiomed.ru/sites/default/files/styles/case_slider_image/public/user/19498/img-0002-00059_40.jpg?itok=MnucJ2UK
  • https://radiomed.ru/sites/default/files/styles/case_slider_image/public/user/19498/img-0002-00060_40.jpg?itok=8ds2FKBm
  • https://radiomed.ru/sites/default/files/styles/case_slider_image/public/user/19498/img-0002-00061_40.jpg?itok=sCrwaDb4
  • https://radiomed.ru/sites/default/files/styles/case_slider_image/public/user/19498/img-0002-00062_40.jpg?itok=7_2F7RLQ
  • https://radiomed.ru/sites/default/files/styles/case_slider_image/public/user/19498/img-0002-00063_40.jpg?itok=hK0tG15-
  • https://radiomed.ru/sites/default/files/styles/case_slider_image/public/user/19498/img-0002-00064_40.jpg?itok=vsUFixsC
  • https://radiomed.ru/sites/default/files/styles/case_slider_image/public/user/19498/img-0002-00065_40.jpg?itok=6dv1Dk-F
  • https://radiomed.ru/sites/default/files/styles/case_slider_image/public/user/19498/img-0002-00066_41.jpg?itok=ED_KKdKt
  • https://radiomed.ru/sites/default/files/styles/case_slider_image/public/user/19498/img-0002-00067_42.jpg?itok=7In4hreJ
  • https://radiomed.ru/sites/default/files/styles/case_slider_image/public/user/19498/img-0002-00068_42.jpg?itok=9zTbPL3i
  • https://radiomed.ru/sites/default/files/styles/case_slider_image/public/user/19498/img-0002-00069_42.jpg?itok=QHISxzO-
  • https://radiomed.ru/sites/default/files/styles/case_slider_image/public/user/19498/img-0002-00070_42.jpg?itok=lknTDty6
  • https://radiomed.ru/sites/default/files/styles/case_slider_image/public/user/19498/img-0002-00071_42.jpg?itok=NmfD8alB
  • https://radiomed.ru/sites/default/files/styles/case_slider_image/public/user/19498/img-0002-00072_42.jpg?itok=uiS6yyIW
  • https://radiomed.ru/sites/default/files/styles/case_slider_image/public/user/19498/img-0002-00073_42.jpg?itok=kgdKw04D
  • https://radiomed.ru/sites/default/files/styles/case_slider_image/public/user/19498/img-0002-00074_42.jpg?itok=Q1fchDuW
  • https://radiomed.ru/sites/default/files/styles/case_slider_image/public/user/19498/img-0002-00075_41.jpg?itok=tw_vzXjI
  • https://radiomed.ru/sites/default/files/styles/case_slider_image/public/user/19498/img-0002-00076_41.jpg?itok=HG1R5F4K
  • https://radiomed.ru/sites/default/files/styles/case_slider_image/public/user/19498/img-0002-00077_41.jpg?itok=b2tymPsU
  • https://radiomed.ru/sites/default/files/styles/case_slider_image/public/user/19498/img-0002-00078_40.jpg?itok=9g_x6pdf
  • https://radiomed.ru/sites/default/files/styles/case_slider_image/public/user/19498/img-0002-00079_41.jpg?itok=UnRS1NY5
  • https://radiomed.ru/sites/default/files/styles/case_slider_image/public/user/19498/img-0002-00080_41.jpg?itok=uO1kaTn4
  • https://radiomed.ru/sites/default/files/styles/case_slider_image/public/user/19498/img-0002-00081_41.jpg?itok=vJ4Rhgzb
  • https://radiomed.ru/sites/default/files/styles/case_slider_image/public/user/19498/img-0002-00082_41.jpg?itok=6ozzOVvr
  • https://radiomed.ru/sites/default/files/styles/case_slider_image/public/user/19498/img-0002-00083_42.jpg?itok=b-VBV2P-
  • https://radiomed.ru/sites/default/files/styles/case_slider_image/public/user/19498/img-0002-00084_42.jpg?itok=G86oZT5E
  • https://radiomed.ru/sites/default/files/styles/case_slider_image/public/user/19498/img-0002-00085_41.jpg?itok=UhDgLeT_
  • https://radiomed.ru/sites/default/files/styles/case_slider_image/public/user/19498/img-0002-00086_40.jpg?itok=qw2Q_Opk
  • https://radiomed.ru/sites/default/files/styles/case_slider_image/public/user/19498/img-0002-00087_40.jpg?itok=z54o-Ho8
  • https://radiomed.ru/sites/default/files/styles/case_slider_image/public/user/19498/img-0002-00088_40.jpg?itok=B1ieASws
  • https://radiomed.ru/sites/default/files/styles/case_slider_image/public/user/19498/img-0002-00089_40.jpg?itok=JBO_Suj5
  • https://radiomed.ru/sites/default/files/styles/case_slider_image/public/user/19498/img-0002-00090_40.jpg?itok=MZfI0QQM
  • https://radiomed.ru/sites/default/files/styles/case_slider_image/public/user/19498/img-0002-00091_39.jpg?itok=aCwK3VN1
  • https://radiomed.ru/sites/default/files/styles/case_slider_image/public/user/19498/img-0002-00092_39.jpg?itok=vQuHnFLl
  • https://radiomed.ru/sites/default/files/styles/case_slider_image/public/user/19498/img-0002-00093_38.jpg?itok=LIDbASMb
  • https://radiomed.ru/sites/default/files/styles/case_slider_image/public/user/19498/img-0002-00094_38.jpg?itok=GXR9RYNh
  • https://radiomed.ru/sites/default/files/styles/case_slider_image/public/user/19498/img-0002-00095_38.jpg?itok=kMUY-JGp
  • https://radiomed.ru/sites/default/files/styles/case_slider_image/public/user/19498/img-0002-00096_38.jpg?itok=q7r-5IBt
  • https://radiomed.ru/sites/default/files/styles/case_slider_image/public/user/19498/img-0002-00097_35.jpg?itok=HpU-e4mW
  • https://radiomed.ru/sites/default/files/styles/case_slider_image/public/user/19498/img-0002-00098_34.jpg?itok=8bCuAo5k
  • https://radiomed.ru/sites/default/files/styles/case_slider_image/public/user/19498/img-0002-00099_34.jpg?itok=60Lflmqz
  • https://radiomed.ru/sites/default/files/styles/case_slider_image/public/user/19498/img-0002-00100_34.jpg?itok=qYAcXyOv
  • https://radiomed.ru/sites/default/files/styles/case_slider_image/public/user/19498/img-0002-00101_28.jpg?itok=9fF3taC-
  • https://radiomed.ru/sites/default/files/styles/case_slider_image/public/user/19498/img-0002-00102_28.jpg?itok=lfkgoG-K
  • https://radiomed.ru/sites/default/files/styles/case_slider_image/public/user/19498/img-0002-00103_28.jpg?itok=sPNc8Mri
  • https://radiomed.ru/sites/default/files/styles/case_slider_image/public/user/19498/img-0002-00104_25.jpg?itok=qRCGPMVl
  • https://radiomed.ru/sites/default/files/styles/case_slider_image/public/user/19498/img-0002-00105_24.jpg?itok=xG9MMAWt
  • https://radiomed.ru/sites/default/files/styles/case_slider_image/public/user/19498/img-0002-00106_23.jpg?itok=5yiielrZ
  • https://radiomed.ru/sites/default/files/styles/case_slider_image/public/user/19498/img-0002-00107_23.jpg?itok=9vVQOtkG
  • https://radiomed.ru/sites/default/files/styles/case_slider_image/public/user/19498/img-0002-00108_22.jpg?itok=NSPMsEaT
  • https://radiomed.ru/sites/default/files/styles/case_slider_image/public/user/19498/img-0002-00109_21.jpg?itok=Hs8dkdLY
  • https://radiomed.ru/sites/default/files/styles/case_slider_image/public/user/19498/img-0002-00110_19.jpg?itok=D67rpITb
  • https://radiomed.ru/sites/default/files/styles/case_slider_image/public/user/19498/img-0002-00111_19.jpg?itok=NxcONkZx
  • https://radiomed.ru/sites/default/files/styles/case_slider_image/public/user/19498/img-0002-00112_16.jpg?itok=hwSFL9Pu
  • https://radiomed.ru/sites/default/files/styles/case_slider_image/public/user/19498/img-0002-00113_16.jpg?itok=wxpqzbO9
  • https://radiomed.ru/sites/default/files/styles/case_slider_image/public/user/19498/img-0002-00114_15.jpg?itok=pQnc2Xdc
  • https://radiomed.ru/sites/default/files/styles/case_slider_image/public/user/19498/img-0002-00115_14.jpg?itok=TL44sHFX
  • https://radiomed.ru/sites/default/files/styles/case_slider_image/public/user/19498/img-0002-00116_12.jpg?itok=akfzbE73
  • https://radiomed.ru/sites/default/files/styles/case_slider_image/public/user/19498/img-0002-00117_12.jpg?itok=SAupTVx3
  • https://radiomed.ru/sites/default/files/styles/case_slider_image/public/user/19498/img-0002-00118_9.jpg?itok=-1omfPC0
  • https://radiomed.ru/sites/default/files/styles/case_slider_image/public/user/19498/img-0002-00119_8.jpg?itok=BSuP4ePA
  • https://radiomed.ru/sites/default/files/styles/case_slider_image/public/user/19498/img-0002-00120_8.jpg?itok=PIqFifYa
  • https://radiomed.ru/sites/default/files/styles/case_slider_image/public/user/19498/img-0002-00121_8.jpg?itok=gs2FGv9s
  • https://radiomed.ru/sites/default/files/styles/case_slider_image/public/user/19498/img-0002-00122_7.jpg?itok=JB8DHnKh
  • https://radiomed.ru/sites/default/files/styles/case_slider_image/public/user/19498/img-0002-00123_7.jpg?itok=DfQaYm4n
  • https://radiomed.ru/sites/default/files/styles/case_slider_image/public/user/19498/img-0002-00124_6.jpg?itok=XQUhZvbn
  • https://radiomed.ru/sites/default/files/styles/case_slider_image/public/user/19498/img-0002-00125_8.jpg?itok=pCtHv5xH
  • https://radiomed.ru/sites/default/files/styles/case_slider_image/public/user/19498/img-0002-00126_6.jpg?itok=Rsvg-foS
  • https://radiomed.ru/sites/default/files/styles/case_slider_image/public/user/19498/img-0002-00127_5.jpg?itok=nxvYYsvY
  • https://radiomed.ru/sites/default/files/styles/case_slider_image/public/user/19498/img-0002-00128_5.jpg?itok=nj8QPQDm
  • https://radiomed.ru/sites/default/files/styles/case_slider_image/public/user/19498/img-0002-00129_5.jpg?itok=d57YxaZ2
  • https://radiomed.ru/sites/default/files/styles/case_slider_image/public/user/19498/img-0002-00130_5.jpg?itok=75Tq-Q6z
  • https://radiomed.ru/sites/default/files/styles/case_slider_image/public/user/19498/img-0002-00131_5.jpg?itok=gLITidyZ
  • https://radiomed.ru/sites/default/files/styles/case_slider_image/public/user/19498/img-0002-00132_5.jpg?itok=kjN2wY0X
  • https://radiomed.ru/sites/default/files/styles/case_slider_image/public/user/19498/img-0002-00133_5.jpg?itok=YIeak1uS
  • https://radiomed.ru/sites/default/files/styles/case_slider_image/public/user/19498/img-0002-00134_5.jpg?itok=nSthcliJ
  • https://radiomed.ru/sites/default/files/styles/case_slider_image/public/user/19498/img-0002-00135_5.jpg?itok=0FFvM9A7
  • https://radiomed.ru/sites/default/files/styles/case_slider_image/public/user/19498/img-0002-00136_5.jpg?itok=q0yg1cfH
  • https://radiomed.ru/sites/default/files/styles/case_slider_image/public/user/19498/img-0002-00137_5.jpg?itok=RZCIYtSK
  • https://radiomed.ru/sites/default/files/styles/case_slider_image/public/user/19498/img-0002-00138_5.jpg?itok=e--dqB6I
  • https://radiomed.ru/sites/default/files/styles/case_slider_image/public/user/19498/img-0002-00139_5.jpg?itok=-RaMtui4
  • https://radiomed.ru/sites/default/files/styles/case_slider_image/public/user/19498/img-0002-00140_5.jpg?itok=IHeM7-Xe
  • https://radiomed.ru/sites/default/files/styles/case_slider_image/public/user/19498/img-0002-00141_5.jpg?itok=UyNkHhgs
  • https://radiomed.ru/sites/default/files/styles/case_slider_image/public/user/19498/img-0002-00142_5.jpg?itok=w31v9Wul
  • https://radiomed.ru/sites/default/files/styles/case_slider_image/public/user/19498/img-0002-00143_5.jpg?itok=lChGJUMf
  • https://radiomed.ru/sites/default/files/styles/case_slider_image/public/user/19498/img-0002-00144_5.jpg?itok=XfqnWNRG
  • https://radiomed.ru/sites/default/files/styles/case_slider_image/public/user/19498/img-0002-00145_5.jpg?itok=oEa2mAO-
  • https://radiomed.ru/sites/default/files/styles/case_slider_image/public/user/19498/img-0002-00146_5.jpg?itok=TUpEfjpr
  • https://radiomed.ru/sites/default/files/styles/case_slider_image/public/user/19498/img-0002-00147_5.jpg?itok=75wvfAPl
  • https://radiomed.ru/sites/default/files/styles/case_slider_image/public/user/19498/img-0002-00148_5.jpg?itok=pwT7Jo24
  • https://radiomed.ru/sites/default/files/styles/case_slider_image/public/user/19498/img-0002-00149_5.jpg?itok=OIB3DEU_
  • https://radiomed.ru/sites/default/files/styles/case_slider_image/public/user/19498/img-0002-00150_4.jpg?itok=SIqaF5bB
  • https://radiomed.ru/sites/default/files/styles/case_slider_image/public/user/19498/img-0002-00151_4.jpg?itok=MMWZy_W7
  • https://radiomed.ru/sites/default/files/styles/case_slider_image/public/user/19498/img-0002-00152_4.jpg?itok=SLSiRbmK
  • https://radiomed.ru/sites/default/files/styles/case_slider_image/public/user/19498/img-0002-00153_4.jpg?itok=MRlaZ7mL
  • https://radiomed.ru/sites/default/files/styles/case_slider_image/public/user/19498/img-0002-00154_4.jpg?itok=Di9UJhRc
  • https://radiomed.ru/sites/default/files/styles/case_slider_image/public/user/19498/img-0002-00155_4.jpg?itok=zQ1JKwFq
  • https://radiomed.ru/sites/default/files/styles/case_slider_image/public/user/19498/img-0002-00156_4.jpg?itok=nuXhInpH
  • https://radiomed.ru/sites/default/files/styles/case_slider_image/public/user/19498/img-0002-00157_4.jpg?itok=n2lZxAtk
  • https://radiomed.ru/sites/default/files/styles/case_slider_image/public/user/19498/img-0002-00158_4.jpg?itok=CZZmSfwj
  • https://radiomed.ru/sites/default/files/styles/case_slider_image/public/user/19498/img-0002-00159_4.jpg?itok=owwJeB5B
  • https://radiomed.ru/sites/default/files/styles/case_slider_image/public/user/19498/img-0002-00160_4.jpg?itok=zTP_Leq_
  • https://radiomed.ru/sites/default/files/styles/case_slider_image/public/user/19498/img-0002-00161_4.jpg?itok=KsqowPgB
  • https://radiomed.ru/sites/default/files/styles/case_slider_image/public/user/19498/img-0002-00162_4.jpg?itok=qhZayhsa
  • https://radiomed.ru/sites/default/files/styles/case_slider_image/public/user/19498/img-0002-00163_4.jpg?itok=zYryreW1
  • https://radiomed.ru/sites/default/files/styles/case_slider_image/public/user/19498/img-0002-00164_4.jpg?itok=wjRALn94
  • https://radiomed.ru/sites/default/files/styles/case_slider_image/public/user/19498/img-0002-00165_4.jpg?itok=UykfUPQt
  • https://radiomed.ru/sites/default/files/styles/case_slider_image/public/user/19498/img-0002-00166_4.jpg?itok=X01Bg9EV
  • https://radiomed.ru/sites/default/files/styles/case_slider_image/public/user/19498/img-0002-00167_4.jpg?itok=tskFODJG
  • https://radiomed.ru/sites/default/files/styles/case_slider_image/public/user/19498/img-0002-00168_4.jpg?itok=botG2BKm
  • https://radiomed.ru/sites/default/files/styles/case_slider_image/public/user/19498/img-0002-00169_4.jpg?itok=UFDjLaAf
  • https://radiomed.ru/sites/default/files/styles/case_slider_image/public/user/19498/img-0002-00170_4.jpg?itok=ijKqO6V3
  • https://radiomed.ru/sites/default/files/styles/case_slider_image/public/user/19498/img-0002-00171_5.jpg?itok=SFXm7c_X
  • https://radiomed.ru/sites/default/files/styles/case_slider_image/public/user/19498/img-0002-00172_5.jpg?itok=0N9Z9vtl
  • https://radiomed.ru/sites/default/files/styles/case_slider_image/public/user/19498/img-0002-00173_5.jpg?itok=exzEpXd7
  • https://radiomed.ru/sites/default/files/styles/case_slider_image/public/user/19498/img-0002-00174_5.jpg?itok=2-9TmP1H
  • https://radiomed.ru/sites/default/files/styles/case_slider_image/public/user/19498/img-0002-00175_5.jpg?itok=7_Wv5YY6
  • https://radiomed.ru/sites/default/files/styles/case_slider_image/public/user/19498/img-0002-00176_6.jpg?itok=IRlM84aW
  • https://radiomed.ru/sites/default/files/styles/case_slider_image/public/user/19498/img-0002-00177_5.jpg?itok=UEJOXiXJ
  • https://radiomed.ru/sites/default/files/styles/case_slider_image/public/user/19498/img-0002-00178_5.jpg?itok=-8hOmUlg
  • https://radiomed.ru/sites/default/files/styles/case_slider_image/public/user/19498/img-0002-00179_3.jpg?itok=TawXOHEz
  • https://radiomed.ru/sites/default/files/styles/case_slider_image/public/user/19498/img-0002-00180_3.jpg?itok=zcvxQm0h
  • https://radiomed.ru/sites/default/files/styles/case_slider_image/public/user/19498/img-0002-00181_3.jpg?itok=2lNTwugL
  • https://radiomed.ru/sites/default/files/styles/case_slider_image/public/user/19498/img-0002-00182_4.jpg?itok=Z-k3u1DH
  • https://radiomed.ru/sites/default/files/styles/case_slider_image/public/user/19498/img-0002-00183_3.jpg?itok=CAAx5_FG
  • https://radiomed.ru/sites/default/files/styles/case_slider_image/public/user/19498/img-0002-00184_3.jpg?itok=xWP1K1pp
  • https://radiomed.ru/sites/default/files/styles/case_slider_image/public/user/19498/img-0002-00185_3.jpg?itok=045k9vje
  • https://radiomed.ru/sites/default/files/styles/case_slider_image/public/user/19498/img-0002-00186_3.jpg?itok=mL7-J3k_
  • https://radiomed.ru/sites/default/files/styles/case_slider_image/public/user/19498/img-0002-00187_3.jpg?itok=VgjZv9DF
  • https://radiomed.ru/sites/default/files/styles/case_slider_image/public/user/19498/img-0002-00188_4.jpg?itok=XsPnepGe
  • https://radiomed.ru/sites/default/files/styles/case_slider_image/public/user/19498/img-0002-00189_3.jpg?itok=YlTlp4ZC
  • https://radiomed.ru/sites/default/files/styles/case_slider_image/public/user/19498/img-0002-00190_3.jpg?itok=bZAgU7sq
  • https://radiomed.ru/sites/default/files/styles/case_slider_image/public/user/19498/img-0002-00191_4.jpg?itok=I7m6rX85
  • https://radiomed.ru/sites/default/files/styles/case_slider_image/public/user/19498/img-0002-00192_4.jpg?itok=efY4GJQO
  • https://radiomed.ru/sites/default/files/styles/case_slider_image/public/user/19498/img-0002-00193_4.jpg?itok=oHbBkuvr
  • https://radiomed.ru/sites/default/files/styles/case_slider_image/public/user/19498/img-0002-00194_5.jpg?itok=57NEYqDL
  • https://radiomed.ru/sites/default/files/styles/case_slider_image/public/user/19498/img-0002-00195_5.jpg?itok=9Yiu7Mt5
  • https://radiomed.ru/sites/default/files/styles/case_slider_image/public/user/19498/img-0002-00196_4.jpg?itok=IBWy8cgu
  • https://radiomed.ru/sites/default/files/styles/case_slider_image/public/user/19498/img-0002-00197_4.jpg?itok=DTK7Nd-O
  • https://radiomed.ru/sites/default/files/styles/case_slider_image/public/user/19498/img-0002-00198_4.jpg?itok=HR2z9me8
  • https://radiomed.ru/sites/default/files/styles/case_slider_image/public/user/19498/img-0002-00199_3.jpg?itok=1WP-Et54
  • https://radiomed.ru/sites/default/files/styles/case_slider_image/public/user/19498/img-0002-00200_3.jpg?itok=V_G9OQP6
  • https://radiomed.ru/sites/default/files/styles/case_slider_image/public/user/19498/img-0002-00201_3.jpg?itok=vofloIU9
  • https://radiomed.ru/sites/default/files/styles/case_slider_image/public/user/19498/img-0002-00202_3.jpg?itok=Dk6y1RzK
  • https://radiomed.ru/sites/default/files/styles/case_slider_image/public/user/19498/img-0002-00203_3.jpg?itok=aMMlJHvy
  • https://radiomed.ru/sites/default/files/styles/case_slider_image/public/user/19498/img-0002-00204_3.jpg?itok=S_KKDydt
  • https://radiomed.ru/sites/default/files/styles/case_slider_image/public/user/19498/img-0002-00205_3.jpg?itok=WVioASzt
  • https://radiomed.ru/sites/default/files/styles/case_slider_image/public/user/19498/img-0002-00206_3.jpg?itok=Y3SScC6d
  • https://radiomed.ru/sites/default/files/styles/case_slider_image/public/user/19498/img-0002-00207_3.jpg?itok=vyrDfthi
  • https://radiomed.ru/sites/default/files/styles/case_slider_image/public/user/19498/img-0002-00208_3.jpg?itok=jgo8nwrH
  • https://radiomed.ru/sites/default/files/styles/case_slider_image/public/user/19498/img-0002-00209_3.jpg?itok=eYeZ6VC-
  • https://radiomed.ru/sites/default/files/styles/case_slider_image/public/user/19498/img-0002-00210_3.jpg?itok=k-Vl3_qU
  • https://radiomed.ru/sites/default/files/styles/case_slider_image/public/user/19498/img-0002-00211_3.jpg?itok=VgiFw48E
  • https://radiomed.ru/sites/default/files/styles/case_slider_image/public/user/19498/img-0002-00212_3.jpg?itok=WWOegODz
  • https://radiomed.ru/sites/default/files/styles/case_slider_image/public/user/19498/img-0002-00213_3.jpg?itok=2EgWFqUb
  • https://radiomed.ru/sites/default/files/styles/case_slider_image/public/user/19498/img-0002-00214_3.jpg?itok=ez32xIhB
  • https://radiomed.ru/sites/default/files/styles/case_slider_image/public/user/19498/img-0002-00215_3.jpg?itok=kKpvT_rL
  • https://radiomed.ru/sites/default/files/styles/case_slider_image/public/user/19498/img-0002-00216_3.jpg?itok=bLPLPOHe
  • https://radiomed.ru/sites/default/files/styles/case_slider_image/public/user/19498/img-0002-00217_3.jpg?itok=o2-aPNPN
  • https://radiomed.ru/sites/default/files/styles/case_slider_image/public/user/19498/img-0002-00218_4.jpg?itok=a-qD5QNc
  • https://radiomed.ru/sites/default/files/styles/case_slider_image/public/user/19498/img-0002-00219_3.jpg?itok=16_QK84S
  • https://radiomed.ru/sites/default/files/styles/case_slider_image/public/user/19498/img-0002-00220_3.jpg?itok=lOWxGQmn
  • https://radiomed.ru/sites/default/files/styles/case_slider_image/public/user/19498/img-0002-00221_2.jpg?itok=q1KvKuQw
  • https://radiomed.ru/sites/default/files/styles/case_slider_image/public/user/19498/img-0002-00222_2.jpg?itok=z5TZKFcP
  • https://radiomed.ru/sites/default/files/styles/case_slider_image/public/user/19498/img-0002-00223_2.jpg?itok=1rVSOTKs
  • https://radiomed.ru/sites/default/files/styles/case_slider_image/public/user/19498/img-0002-00224_3.jpg?itok=aGSP-u4a
  • https://radiomed.ru/sites/default/files/styles/case_slider_image/public/user/19498/img-0002-00225_2.jpg?itok=3kq-lFyl
  • https://radiomed.ru/sites/default/files/styles/case_slider_image/public/user/19498/img-0002-00226_2.jpg?itok=ENuL-Kap
  • https://radiomed.ru/sites/default/files/styles/case_slider_image/public/user/19498/img-0002-00227_2.jpg?itok=LeqwM5YH
  • https://radiomed.ru/sites/default/files/styles/case_slider_image/public/user/19498/img-0002-00228_2.jpg?itok=u24oPsYq
  • https://radiomed.ru/sites/default/files/styles/case_slider_image/public/user/19498/img-0002-00229_2.jpg?itok=j5kzu-2a
  • https://radiomed.ru/sites/default/files/styles/case_slider_image/public/user/19498/img-0002-00230_1.jpg?itok=LSxNlzzd
  • https://radiomed.ru/sites/default/files/styles/case_slider_image/public/user/19498/img-0002-00231_1.jpg?itok=x48eNspI
  • https://radiomed.ru/sites/default/files/styles/case_slider_image/public/user/19498/img-0002-00232_1.jpg?itok=LpFlW6xH
  • https://radiomed.ru/sites/default/files/styles/case_slider_image/public/user/19498/img-0002-00233_1.jpg?itok=fhiLwMBS
  • https://radiomed.ru/sites/default/files/styles/case_slider_image/public/user/19498/img-0002-00234_1.jpg?itok=9nXRYw2F
  • https://radiomed.ru/sites/default/files/styles/case_slider_image/public/user/19498/img-0002-00235_1.jpg?itok=Gs4S4yjr
  • https://radiomed.ru/sites/default/files/styles/case_slider_image/public/user/19498/img-0002-00236_1.jpg?itok=IQOY3yzy
  • https://radiomed.ru/sites/default/files/styles/case_slider_image/public/user/19498/img-0002-00237_1.jpg?itok=ta2uSxdv
  • https://radiomed.ru/sites/default/files/styles/case_slider_image/public/user/19498/img-0002-00238_1.jpg?itok=0Tpbg_Hr
  • https://radiomed.ru/sites/default/files/styles/case_slider_image/public/user/19498/img-0002-00239_1.jpg?itok=9GYNqFI-
  • https://radiomed.ru/sites/default/files/styles/case_slider_image/public/user/19498/20170630_083856.jpg?itok=-jGqlzZG
  • https://radiomed.ru/sites/default/files/styles/case_slider_image/public/user/19498/20170630_083942.jpg?itok=FCi1yot_
ID:72118
ВложениеРазмер
Иконка изображения 20170630_083856.jpg2.05 МБ
Иконка изображения 20170630_083942.jpg1.93 МБ
Цель публикации: 
Лейман Иван аватар
Не на сайте
Был на сайте: 2 месяцев 3 недели назад
Зарегистрирован: 09.01.2014 - 07:54
Публикации: 1190

Архивных снимков он не принес, но на амбулаторной карте наклеены талончики от флюшек с 2008 по 2015г, б/о.

И.Бондаренко аватар
Не на сайте
Был на сайте: 1 день 19 часов назад
Зарегистрирован: 13.09.2011 - 22:55
Публикации: 9206

Первая мысль была о ретенционных кистах, но как бы связаны с сосудами. Может аневризмы? Контраст надо ввести

Лейман Иван аватар
Не на сайте
Был на сайте: 2 месяцев 3 недели назад
Зарегистрирован: 09.01.2014 - 07:54
Публикации: 1190

И.Бондаренко wrote:

Первая мысль была о ретенционных кистах, но как бы связаны с сосудами. Может аневризмы? Контраст надо ввести

Контраста нет, совсем нет и не будет. 

Я скажем так в замешательстве, плотность жидкости наталкивают думать об кистах, но связь с сосудами это исключает; в то же время думать об аневризмах не позволяет думать такая низкая плотность.... Может я не прав, хз.  Да и появились они буквально за год.... 

ROI_888 аватар
Не на сайте
Был на сайте: 6 лет 11 месяцев назад
Зарегистрирован: 17.04.2017 - 17:15
Публикации: 1140

Эхинококкоз легких

Лейман Иван аватар
Не на сайте
Был на сайте: 2 месяцев 3 недели назад
Зарегистрирован: 09.01.2014 - 07:54
Публикации: 1190

ROI_888 wrote:

Эхинококкоз легких

Да ладно. За год бы уже полости были., если только гидатидозная.......

А. Горюнов аватар
Не на сайте
Был на сайте: 1 месяц 3 недели назад
Зарегистрирован: 07.10.2012 - 12:12
Публикации: 2744

Лейман Иван wrote:

ROI_888 wrote:

Эхинококкоз легких

Да ладно. За год бы уже полости были., если только гидатидозная.......

Как вариант: альвеококкоз.

Анатолий Петрович

ROI_888 аватар
Не на сайте
Был на сайте: 6 лет 11 месяцев назад
Зарегистрирован: 17.04.2017 - 17:15
Публикации: 1140

А. Горюнов wrote:

Как вариант: альвеококкоз.

Альвеококкоз в другой ветке))

Лейман Иван аватар
Не на сайте
Был на сайте: 2 месяцев 3 недели назад
Зарегистрирован: 09.01.2014 - 07:54
Публикации: 1190

ROI_888 прав, гидатитозный эхинококкоз вполне очень даже похож.

Almo аватар
Не на сайте
Был на сайте: 4 дня 7 часов назад
Зарегистрирован: 28.09.2008 - 18:50
Публикации: 8281

Не уверен, но есть впечатление о внутригрудной лимфоаденопатиии ( группа мелких лимфатических узлов).Не исключал бы вариант MTS, плохо что нет контраста. Попытался бы посмотреть нет ли увеличенных периферических лимфатических узлов, тогда можно бы было взять  из них  биопсию на гистологию.

Лейман Иван аватар
Не на сайте
Был на сайте: 2 месяцев 3 недели назад
Зарегистрирован: 09.01.2014 - 07:54
Публикации: 1190

Almo wrote:

Не уверен, но есть впечатление о внутригрудной лимфоаденопатиии ( группа мелких лимфатических узлов).Не исключал бы вариант MTS, плохо что нет контраста. Попытался бы посмотреть нет ли увеличенных периферических лимфатических узлов, тогда можно бы было взять  из них  биопсию на гистологию.

Александр, я думал мтс обычно имеют мягкотканную плотность, да и структура у них как бы однородная. А здесь кругляки наполненые жидкостью, с утолщенными стенками, некоторые кругляки сливаются образуя несколько камер. Смущает тото факт что они по ходу сосудов. Может это связано с тем что распространение идет от легочного ствола, из правых отделов сердца, а туда они попадают если верить Тюрину из воротной вены (ну эт я в пользу гидатитозного эхинококка).

олеся куксова аватар
Не на сайте
Был на сайте: 4 года 5 месяцев назад
Зарегистрирован: 14.05.2016 - 16:36
Публикации: 967

Лейман Иван wrote:

ROI_888 wrote:

Эхинококкоз легких

Да ладно. За год бы уже полости были., если только гидатидозная.......

Неосложненный эхинококк может "жить" долго спокойно. Может расти потихоньку, бессимптомно. Так что , поддерживаю версию Роя

Almo аватар
Не на сайте
Был на сайте: 4 дня 7 часов назад
Зарегистрирован: 28.09.2008 - 18:50
Публикации: 8281

Лейман Иван wrote:

Almo wrote:

Не уверен, но есть впечатление о внутригрудной лимфоаденопатиии ( группа мелких лимфатических узлов).Не исключал бы вариант MTS, плохо что нет контраста. Попытался бы посмотреть нет ли увеличенных периферических лимфатических узлов, тогда можно бы было взять  из них  биопсию на гистологию.

Александр, я думал мтс обычно имеют мягкотканную плотность, да и структура у них как бы однородная. А здесь кругляки наполненые жидкостью, с утолщенными стенками, некоторые кругляки сливаются образуя несколько камер. Смущает тото факт что они по ходу сосудов. Может это связано с тем что распространение идет от легочного ствола, из правых отделов сердца, а туда они попадают если верить Тюрину из воротной вены (ну эт я в пользу гидатитозного эхинококка).

Извините, коллега не имею  практического опыта по КТ-диагностике и не могу сказать что-то конкретное.Так "попускал пузыри"...