ПЕРВЫЙ РАЗ ТАКОЕ ВИЖУ!!!

Пол пациента: 
Тип патологии: 
Методы исследования: 

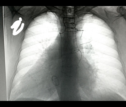
Мужчина 1950 г р. Проф ФЛГ. Операция по поводу имплантации искуственного клапана. Читал снимки и вот такое обнаружил! Слетела проволока с грудины:(. Коллеги посмотрите пожалуйста может кто видел подобное? Что делать? 

ФЛГ

Флг огк ID:72835
Цель публикации: 
Gaster аватар
Не на сайте
Был на сайте: 6 лет 6 месяцев назад
Зарегистрирован: 28.10.2014 - 12:16
Публикации: 749

Архива нет? Может быть он прекрасно живёт с этим уже как лет этак 20-ать.

Gaster аватар
Не на сайте
Был на сайте: 6 лет 6 месяцев назад
Зарегистрирован: 28.10.2014 - 12:16
Публикации: 749

Отправить туда где делали на консультацию.

Gaster аватар
Не на сайте
Был на сайте: 6 лет 6 месяцев назад
Зарегистрирован: 28.10.2014 - 12:16
Публикации: 749

Ели далеко ехать - отправить к хирургу.

сергеев николай аватар
Не на сайте
Был на сайте: 18 часов 49 минут назад
Зарегистрирован: 22.06.2016 - 18:45
Публикации: 4594

Неа нет архива

Будьте осторожны со своими мыслями они начало поступков.

Сергей Кузьминов аватар
Не на сайте
Был на сайте: 1 год 2 недели назад
Зарегистрирован: 06.10.2012 - 15:51
Публикации: 11813

Скорее всего, так оно и было. Так собрали. Операция-то когда была? Не накануне же.

Scandinav аватар
Не на сайте
Был на сайте: 1 год 7 месяцев назад
Зарегистрирован: 13.01.2016 - 19:18
Публикации: 1821

Металлическая лигатура, в случае повреждения, небезопасна. Требуется удаление, обычно, в торакальном отделении.

сергеев николай аватар
Не на сайте
Был на сайте: 18 часов 49 минут назад
Зарегистрирован: 22.06.2016 - 18:45
Публикации: 4594

Да не знаю,вопросов не задавал,лаборанты нафотали пришел читать увидел. Спасибо большое коллеги за комментарии

Будьте осторожны со своими мыслями они начало поступков.

Игорь Иванович аватар
Не на сайте
Был на сайте: 3 года 9 месяцев назад
Зарегистрирован: 23.01.2010 - 14:56
Публикации: 3695

Можно отморозиться, несостоятельный МОС.

Игорь Ким аватар
Не на сайте
Был на сайте: 1 год 3 месяцев назад
Зарегистрирован: 17.10.2014 - 17:30
Публикации: 4672

Кардиохирургия, имплантированный митральный клапан.Дефект металлоконструкции.

Вася Разумная аватар
Не на сайте
Был на сайте: 1 месяц 4 недели назад
Зарегистрирован: 06.12.2012 - 22:09
Публикации: 571

Можно написать "разрыв серкляжного шва". Назначить рентгенографию грудины в 2 проекциях, что бы посмотреть куда мигрировала эта фигнюха. Иногда они впиваются в мягкие ткани и вызывают отек и боли...