Рак поджелудочной железы?

Пол пациента: 
Область исследования: 
Методы исследования: 

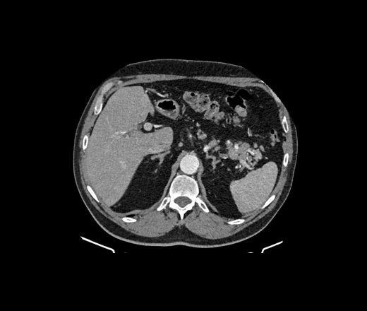
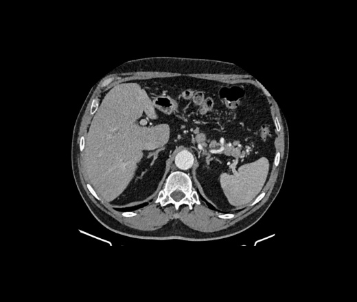
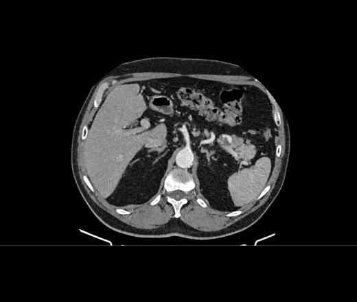
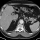
Здравствуйте, подскажите пациент 60 лет, особо жалоб нет, на узи было изменения в печени, в хвосте поджелудочной железы отмечаются немного гиподенсивные изменения может ли это быть раком? на МРТ лучше покажет?

https://disk.yandex.kz/d/PA969jbOhnMsjw

 

  • https://radiomed.ru/sites/default/files/styles/case_slider_image/public/user/60703/snimok0055.jpg?itok=r0FDqnPv
  • https://radiomed.ru/sites/default/files/styles/case_slider_image/public/user/60703/snimok0056.jpg?itok=zxACEDn0
  • https://radiomed.ru/sites/default/files/styles/case_slider_image/public/user/60703/snimok0057.jpg?itok=VZlJ2t4I
  • https://radiomed.ru/sites/default/files/styles/case_slider_image/public/user/60703/snimok0058.jpg?itok=bQCxWaLL
ID:94142
Цель публикации: 
И.Бондаренко аватар
Не на сайте
Был на сайте: 2 дня 10 часов назад
Зарегистрирован: 13.09.2011 - 22:55
Публикации: 9206

В печени гиперваскулярное образование в 5 сугменте, требует наблюдения. Поджелудочная - ничего плохого не вижу. А вот лимфоаденопатия выражена. Если мтс, то откуда - не знаю

X-rayCTscan аватар
Не на сайте
Был на сайте: 1 неделя 20 часов назад
Зарегистрирован: 22.11.2025 - 20:20
Публикации: 4

Спасибо!