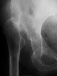
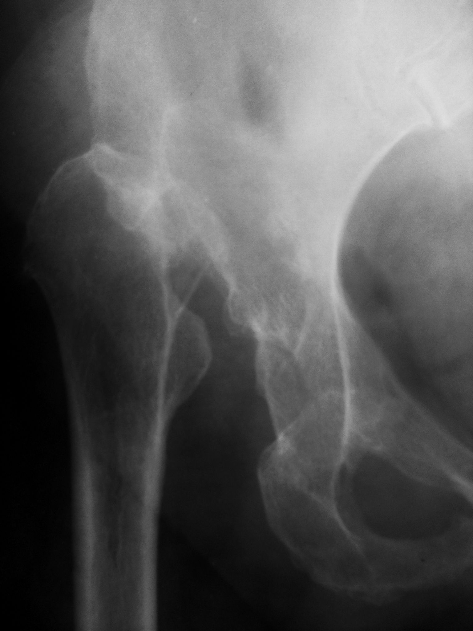
71-летняя дисплазия.

Женщине 71 год. Диагноз с раннего детства.

  • https://radiomed.ru/sites/default/files/styles/case_slider_image/public/user/2841/sdc10017.jpg?itok=8ilurZI7
ID:55223
Евгений1313 аватар
Не на сайте
Был на сайте: 13 лет 1 неделя назад
Зарегистрирован: 15.10.2010 - 19:13
Публикации: 808

Врожденный вывих бедра.

Гриша Хата аватар
Не на сайте
Был на сайте: 10 лет 1 неделя назад
Зарегистрирован: 09.02.2011 - 20:40
Публикации: 665

Отсутствие головки и шейки с пат. вывихом правого бедра могут быть результатом туб. каксита, перенесенного в детстве.

Петрович аватар
Не на сайте
Был на сайте: 7 лет 2 месяцев назад
Зарегистрирован: 22.03.2009 - 01:13
Публикации: 3908

Однако и впадина тоже отсутствует. Дисплазия врождённая и пожизненная.

Неоднозначно всё

Петрович аватар
Не на сайте
Был на сайте: 7 лет 2 месяцев назад
Зарегистрирован: 22.03.2009 - 01:13
Публикации: 3908

Но вот седалищная кость справа усложнённой формы и структуры. Возможно, не обошлось без травмы в её долгой печальной жизни.

Неоднозначно всё

Гриша Хата аватар
Не на сайте
Был на сайте: 10 лет 1 неделя назад
Зарегистрирован: 09.02.2011 - 20:40
Публикации: 665

Вертлужной впадины сейчас действетельно нет, но контур её остался. Это значит, что когда-то была, просто, со временем зарасла за ненадобностью. Ведь природа не терпит пустоты. Так что туб. коксит не исключен. Что касается правой седалищной кости, то она выглядит по-другому, как и вся правая половина таза. Вероятно, это связано с костной атрофией и перекосом таза вправо, что в свою очередь связано с давностью процесса и укорочением правого бедра.

Евгений1313 аватар
Не на сайте
Был на сайте: 13 лет 1 неделя назад
Зарегистрирован: 15.10.2010 - 19:13
Публикации: 808

Правильно говорит Петрович -врождённый вивих бедра с гипоплазией головки и вертлужной впадины. Укорочение пр. нижней конечности.Подвздошный неартроз.Признаков перенесенного туберкулеза ни каких.

AnyaBajtBLG аватар
Не на сайте
Был на сайте: 11 лет 10 месяцев назад
Зарегистрирован: 21.06.2012 - 16:04
Публикации: 17

травмы в анамнезе не было?