![]()
из книги А.М. Орел "рентгендиагностика позвоночника для мануальных терапевтов".
Гиперплазия шиловидного отростка височной кости. Гиперплазия шиловидного отростка височной кости известна довольно давно. В 50-е годы увеличенные шиловидные отростки активно оперировали отоларингологи. Клинически аномалия проявляется болями в горле при отсутствии воспалительных изменений. Считалось, что данная симптоматика обусловлена давлением увеличенного шиловидного отростка на стенку глотки и раздражением языкоглоточного нерва. Оба фактора приводятк дистрофическим изменениям в окружающих мягких тканях. Ф.А. Хабиров считает, что увеличенный шиловидный отросток височной кости способен быть причиной длительно прогрессирующего болевого синдрома в шейном отделе позвоночника. При рентгенографии на вертеброграммах шейного отдела позвоночника в 2-ух проекциях дифференцыруютсялинейные тени, соединяющие шиловидные отростки и малые рога подъязычной кости. Нередко данная аномалия сочетается с наличием костной перемычки задней дужки атланта-аномалией Киммерле. Неполноценность функции шейного отдела позвоночника приводит к раннему присоединению дистрофических изменений.
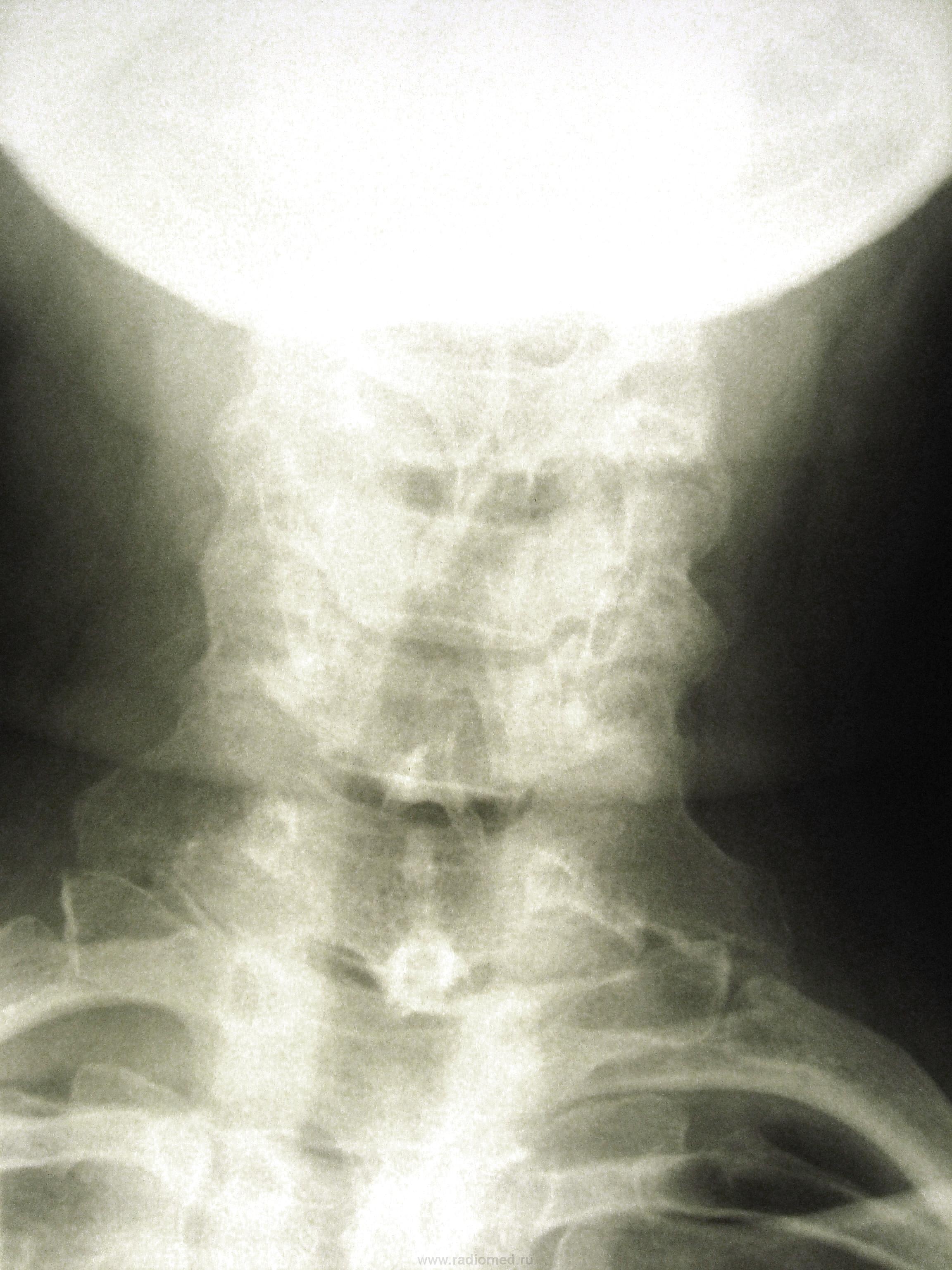
"На рентгенограмме краниовертебральной зоны в сагиттальной проекции продольная ось зуба аксиса составляет с продольной осью его тела угол, открытый кзади.
Иногда слияние зуба и тела 2 шейного позвонка происходит не по вертикальной оси, а под углом. В таком случае диагносцируют лордозированный аксис. Такое положение зуба изменяет распределение силовых нагрузок краниоцервикальной зоны и приводит к видимым сложностям при определении краниометрических показателей. З.Л. Бродская рекомендует при наличии этой аномалии в вычислениях проводить касательную к зубу С2."
А.М. Орел.
"Аномалии величины, асиммтричное положение оси суставных отростков.
Довольно часто суставные отростки одного и того же позвонка имеют неодинаковые размеры. Внекоторых случаях можно диагностировать резкое уменьшение их размеров, что может свидетельствовать об их гипоплазии. И.Л. Тагер и В.А. Дьяченко считают: из-за того что гипопластичный сустав обладает большей подвижностью, в данном двигательном сегменте создаются условия для раннего развитияповреждения межпозвонкового диска- остеохондроза и, возможно, соскальзывания позвонка".
А.М. Орел
На мой взгляд, в последнем случае, аномалия тропизма - когда щель межпозвонкового сустава расположена не в сагиттальной плоскости, а во фронтальной.
https://www.instagram.com/pediatricradiology/
по моему щель прослеживается в сагиттальной....
Совершенно согласна, нарушение тропизма.
Преобладающим (в т.ч. в клинике) будет асимметрия величины суставных отростков (гипоплазия левых двух) (И)
аномалия тропизма (но, поправлю, суставная щель НЕДАЛЕКО "ушла" от сагиттальной плоскости : до фронтальной далеко...)
--------------
"Просто, по видимости, не видеть логики в очевидных вещах - это тоже одно из свойств некоторых умов, наряду с грустными думами о свойствах ума других." © Vega 08/10/2011