Беспокоит кашель и температура

Пол пациента: 
Тип патологии: 
Методы исследования: 

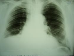
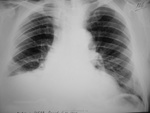
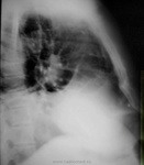
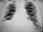
Женщина обратилась с жалобами по поводу кашля и температуры, которая поднимается до38 град. Был сделан снимок в двух проекциях.

Хочется спросить уважаемых коллег: "Есть ли там плевральный выпот"?

  • https://radiomed.ru/sites/default/files/styles/case_slider_image/public/user/712/sl273093.jpg?itok=zeG7efSl
ID:6942
Грицько Виталий аватар
Не на сайте
Был на сайте: 8 лет 12 месяцев назад
Зарегистрирован: 05.01.2010 - 14:06
Публикации: 1058

Выпот очень просится. Скопию не делали?

Глазков Игорь Артурович аватар
Не на сайте
Был на сайте: 9 месяцев 2 недели назад
Зарегистрирован: 19.12.2008 - 20:41
Публикации: 1597

скопию не делали

Прийди к Себе

Катенёв Валентин Львович аватар
Не на сайте
Был на сайте: 7 лет 3 недели назад
Зарегистрирован: 22.03.2008 - 22:15
Публикации: 54876

Массивное затемнение "вне анатомических границ", чаще всего дает выпот.

Medeа аватар
Не на сайте
Был на сайте: 14 лет 10 месяцев назад
Зарегистрирован: 10.09.2010 - 18:11
Публикации: 152

Или УЗИ. Что Вам подвластно?)) А все ли грудные позвонки одинаковой высоты?

Глазков Игорь Артурович аватар
Не на сайте
Был на сайте: 9 месяцев 2 недели назад
Зарегистрирован: 19.12.2008 - 20:41
Публикации: 1597

над позвонками не задумывался. УЗИ не имеется, так как весь персонал уже ушёл. Но можно будет дообследовать.

Прийди к Себе

dok-a аватар
Не на сайте
Был на сайте: 9 месяцев 1 неделя назад
Зарегистрирован: 14.02.2009 - 19:31
Публикации: 623

Конечно, выпот искать рентгенологическими методами в настоящее время, когда достаточно поставить датчик УЗИ, что бы выявить минимум жидкости, не совсем правильно. Но, когда УЗИ не имеется, латерография решает эту задачу.

Катенёв Валентин Львович аватар
Не на сайте
Был на сайте: 7 лет 3 недели назад
Зарегистрирован: 22.03.2008 - 22:15
Публикации: 54876

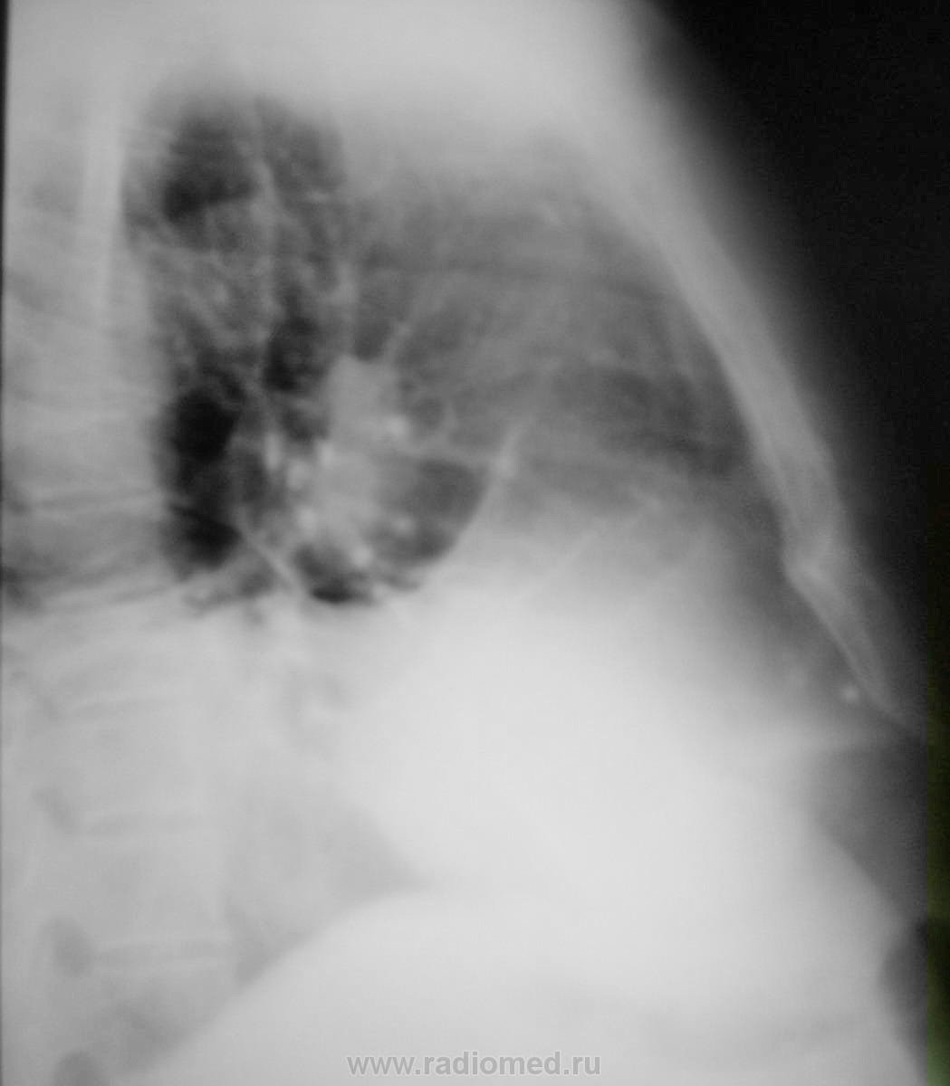
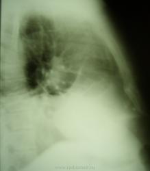
Снимки.

 

Приложения: 
1.sn_.sl273092a.jpg2.sn_.sl273092ab.jpg3.sn_.sl273093a.jpg4.sn_.sl273093ab.jpg
Helios аватар
Не на сайте
Был на сайте: 7 месяцев 3 недели назад
Зарегистрирован: 06.08.2010 - 15:16
Публикации: 4417

И слева, кажется, тоже.Выпот, даже не сомневайтесь.Причем "добрый"( в смысле, жидкости много).

Сан Саныч1 аватар
Не на сайте
Был на сайте: 11 месяцев 2 недели назад
Зарегистрирован: 07.06.2010 - 21:17
Публикации: 2114

Правосторонний средний гидроторакс. Позвонки одинаковой высоты.

Хочешь сделать что-то нормально - сделай это сам!

lupan аватар
Не на сайте
Был на сайте: 6 лет 10 месяцев назад
Зарегистрирован: 07.01.2010 - 17:17
Публикации: 1406

Коллеги! А на ателектаз нижней и средней долей совсем не похоже?

Великое преймущество врача заключается в том, что он не обязан следовать собственным советам. ( А. Кристи)

Грицько Виталий аватар
Не на сайте
Был на сайте: 8 лет 12 месяцев назад
Зарегистрирован: 05.01.2010 - 14:06
Публикации: 1058

lupan wrote:

Коллеги! А на ателектаз нижней и средней долей совсем не похоже?

Такой ателектаз средостение хорошенько бы потянул.

Катенёв Валентин Львович аватар
Не на сайте
Был на сайте: 7 лет 3 недели назад
Зарегистрирован: 22.03.2008 - 22:15
Публикации: 54876

Грицько Виталий wrote:

lupan wrote:

Коллеги! А на ателектаз нижней и средней долей совсем не похоже?

Такой ателектаз средостение хорошенько бы потянул.

Потянул-бы, если-бы выпота справа не было. А так плюс - на минус - средостение-то на месте, при значительном выпоте справа.

Стоит подумать над версией предложенной коллегой lupan

Helios аватар
Не на сайте
Был на сайте: 7 месяцев 3 недели назад
Зарегистрирован: 06.08.2010 - 15:16
Публикации: 4417

Конечно, в таком случае самый первый диагностический шаг, который я предпринимаю,то УЗИ.

Сан Саныч1 аватар
Не на сайте
Был на сайте: 11 месяцев 2 недели назад
Зарегистрирован: 07.06.2010 - 21:17
Публикации: 2114

Да, узи+скопия расставят точки.

Хочешь сделать что-то нормально - сделай это сам!

Глазков Игорь Артурович аватар
Не на сайте
Был на сайте: 9 месяцев 2 недели назад
Зарегистрирован: 19.12.2008 - 20:41
Публикации: 1597

комментарии. Обязательно сделаем УЗИ.

Прийди к Себе

Грицько Виталий аватар
Не на сайте
Был на сайте: 8 лет 12 месяцев назад
Зарегистрирован: 05.01.2010 - 14:06
Публикации: 1058

Я думал коллега предлагает ателектаз без выпота, а с выпотом вполне может быть. Но какой тогда смысл в узи? КТ даст больше информации и по жидкости и по бронхам.

Helios аватар
Не на сайте
Был на сайте: 7 месяцев 3 недели назад
Зарегистрирован: 06.08.2010 - 15:16
Публикации: 4417

У нас ближайший военный КТ в Хабаровске.Гражданским надо платить, поэтому делаем УЗИ и пока не ошибались.