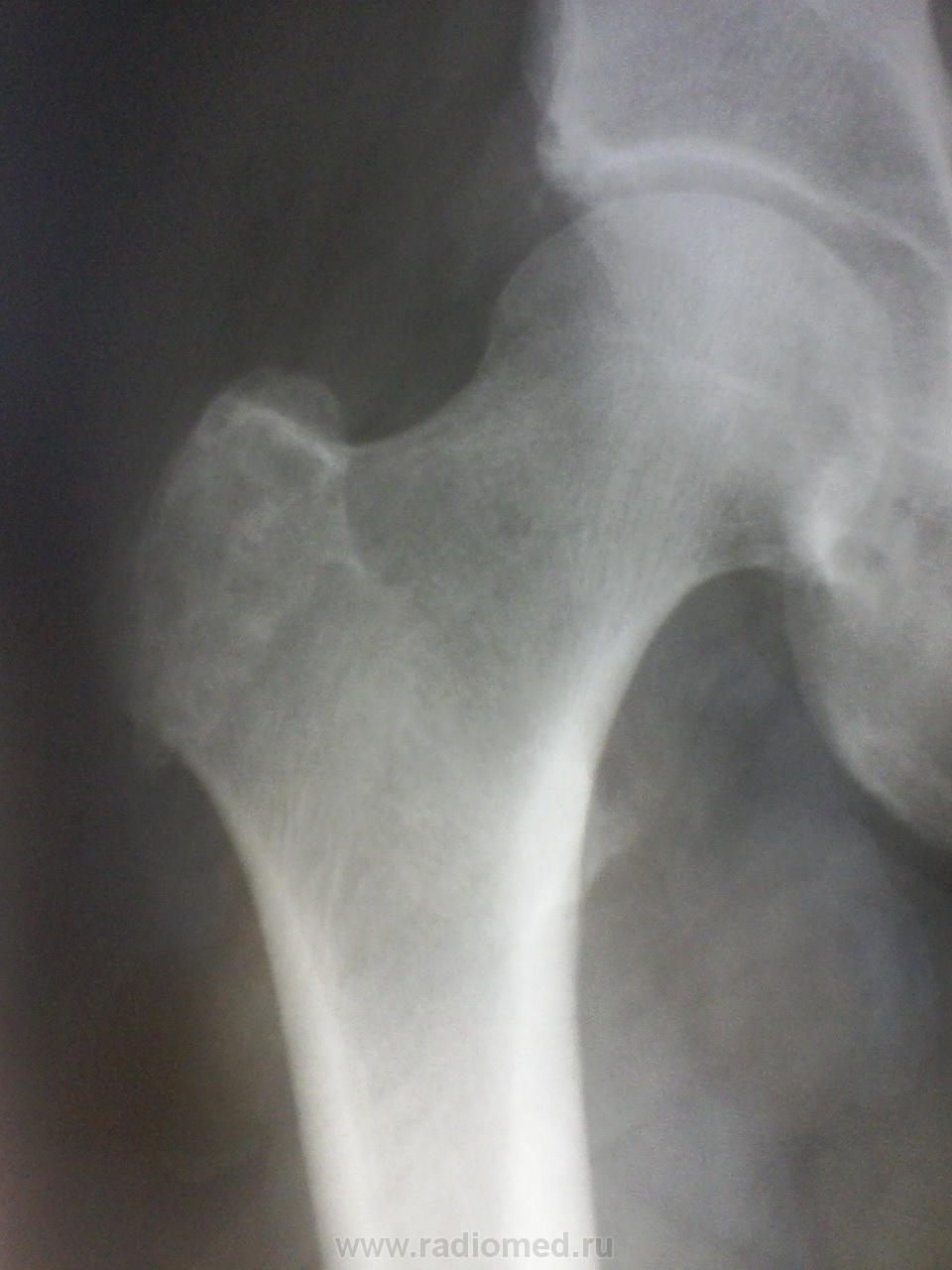
Я бы предположил хондрому, рекомендована КТ тазбедренного сустава, для уточнения характера изменений( даже если предположить, что имеет место образование кости, если честно, не вижу признаков злокачественности).
Я бы предположил хондрому, рекомендована КТ тазбедренного сустава, для уточнения характера изменений( даже если предположить, что имеет место образование кости, если честно, не вижу признаков злокачественности).
написала хондрому, контроль через полгода (, думаете надо было КТ рекомендовать ?
Я бы предположил хондрому, рекомендована КТ тазбедренного сустава, для уточнения характера изменений( даже если предположить, что имеет место образование кости, если честно, не вижу признаков злокачественности).
100 пудово! По любому есть нарушение структуры, просто рентген, хоть в 8 пр. ничего не даст к диагнозу.
Для начала - так хотя бы с отведением снимок...а то вдруг там и "хондромы" то никакой не окажется)))))
Согласен, может, и не оказаться. И если бы не крыша вертлужной... К ней глаз цепляется. Какая-то она обкусанная для такого возраста. Если болит, отправил бы на дообследование. Пусть и её тоже смотрящий там поглядит!)
"Лишь утратив всё до конца, мы обретаем свободу." F.C.
Намекаете на хондрому?.. А как Вам верхне-наружный отдел вертлужной впадины - может, и он ей задет?..
"Лишь утратив всё до конца, мы обретаем свободу." F.C.
а сколько средних лет мужчине? опухоль хрящева,я на сколько выдно по снимку, скорее всего хондросаркома
Я бы предположил хондрому, рекомендована КТ тазбедренного сустава, для уточнения характера изменений( даже если предположить, что имеет место образование кости, если честно, не вижу признаков злокачественности).
кт в любом случае делать надо также как и биопсию.
Для начала - так хотя бы с отведением снимок...а то вдруг там и "хондромы" то никакой не окажется)))))
Болезни ног: виды, симптомы, причины, профилактика и лечение
Ну, есть обызвествления мягких тканей.
М.б. бурсит?
Почему? Обызвествление синовиальной сумки так не может выглядеть?
Не вижу извести. Она плотнее кости.
"Слушай всех, прислушивайся к немногим, решай сам".©
Я бы написал остеосклероз большого вертела.. и ктшка
Не помню точно, 50-55
Не нам судить…
Будьте аккуратнее, меня в пршлый раз АЮ покусал за это (
Не нам судить…
написала хондрому, контроль через полгода (, думаете надо было КТ рекомендовать ?
Не нам судить…
Не подумала в запарке

Не нам судить…
А Вы что скажете ?
Не нам судить…
Всем спасибо за мнения, если что-то выявится- сообщу
Не нам судить…
"Слушай всех, прислушивайся к немногим, решай сам".©
100 пудово! По любому есть нарушение структуры, просто рентген, хоть в 8 пр. ничего не даст к диагнозу.
Согласен, может, и не оказаться. И если бы не крыша вертлужной... К ней глаз цепляется. Какая-то она обкусанная для такого возраста. Если болит, отправил бы на дообследование. Пусть и её тоже смотрящий там поглядит!)
"Лишь утратив всё до конца, мы обретаем свободу." F.C.