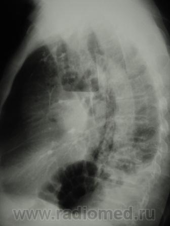
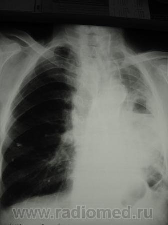
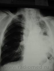
Пол пациента: Мужской пол Тип патологии: Злокачественное новообразование Область исследования: Грудная клетка и верхние дыхательные пути Методы исследования: Rg https://radiomed.ru/sites/default/files/styles/case_slider_image/public/user/952/c_r_2.JPG?itok=YsHdp0KV ID:885 Вс, 31/01/2010 - 16:08 #1 Игорь Иванович Не на сайте Был на сайте: 3 года 9 месяцев назад Зарегистрирован: 23.01.2010 - 14:56 Публикации: 3695 Да, вроде бы и легкое уменьшено, и средостение уехало. А что там за огромный абсцесс? Не опухоль же распадается? Такого с уровнем не должно быть. Вс, 31/01/2010 - 16:16 #2 DR.RAD Не на сайте Был на сайте: 11 лет 9 месяцев назад Зарегистрирован: 25.03.2009 - 18:22 Публикации: 805 случай давнишний, у пациента подтвержденный центральный рак, оперировать не стали, пришел когда хуже почувствовал себя, я ему тоже написала абсцесс. а куда он делся дальше незнаю(((((( Вс, 31/01/2010 - 16:42 #3 Петрович Не на сайте Был на сайте: 7 лет 2 месяцев назад Зарегистрирован: 22.03.2009 - 01:13 Публикации: 3908 Vika, ну совсем уж мелкие фантики, от ириски. Не годятся такие для диагностики! Неоднозначно всё Вс, 31/01/2010 - 17:05 #4 Катенёв Валенти... Не на сайте Был на сайте: 7 лет 3 недели назад Зарегистрирован: 22.03.2008 - 22:15 Публикации: 54876 И не просто абсцесс, возможно, еще и с задне-базальным осумкованным выпотом. А если, куда-то делся (пациент)..., то на все - "воля божья" Ибо, как было сказано в одном из мультисериалов - "Мышка, норки не выроет без воли Аллаха!" Вс, 31/01/2010 - 21:13 #5 Катенёв Валенти... Не на сайте Был на сайте: 7 лет 3 недели назад Зарегистрирован: 22.03.2008 - 22:15 Публикации: 54876 Несколько иллюстраций к вышесказанному. Приложения: Пнд, 01/02/2010 - 11:36 #6 DR.RAD Не на сайте Был на сайте: 11 лет 9 месяцев назад Зарегистрирован: 25.03.2009 - 18:22 Публикации: 805 С абсцессом его все равно к хирургу послали скорее всего, фамилию не помню, чтобы посмотреть что с ним стало.
Да, вроде бы и легкое уменьшено, и средостение уехало. А что там за огромный абсцесс? Не опухоль же распадается? Такого с уровнем не должно быть.
случай давнишний, у пациента подтвержденный центральный рак, оперировать не стали, пришел когда хуже почувствовал себя, я ему тоже написала абсцесс. а куда он делся дальше незнаю((((((
Vika, ну совсем уж мелкие фантики, от ириски. Не годятся такие для диагностики!
Неоднозначно всё
И не просто абсцесс, возможно, еще и с задне-базальным осумкованным выпотом.
А если, куда-то делся (пациент)..., то на все - "воля божья"
Ибо, как было сказано в одном из мультисериалов - "Мышка, норки не выроет без воли Аллаха!"
Несколько иллюстраций к вышесказанному.
С абсцессом его все равно к хирургу послали скорее всего, фамилию не помню, чтобы посмотреть что с ним стало.