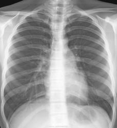
ЦФОГК, девушка 16 лет

Методы исследования: 

Плановая флюорография школьников. После была дообследованна и оказалось.....   . Какие мнения будут уважаемые коллеги?  

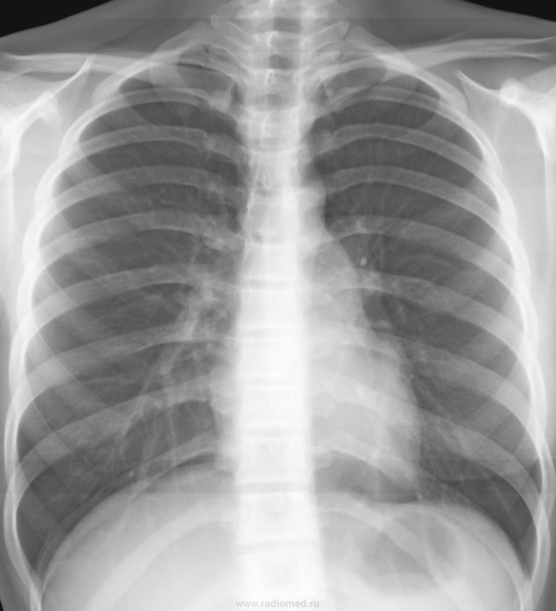
В глаза бросалась доп тень правее корня правого легкого.  После была правая боковая проекция (лаборант срезал верхушку - поэтому не буду его выкладывать с браком), на которой доп теней не наблюдал, во время выяснения анамнеза жизни девушки заметил что у нее длинные волосы в виде двух косичек с резинками на концах, пересняли в прямой проекции в моем присутствии как надо было - с убранными волосами. вот что получилось в итоге:

таким вот образом лаборанты подкидывают нам дополнительную работу, не соблюдая всех правилов укладки пациентов. Всем спасибо за участие в экспертизе. 

ID:43905
svetlana292929 аватар
Не на сайте
Был на сайте: 4 года 1 месяц назад
Зарегистрирован: 18.06.2012 - 13:53
Публикации: 869

справа в средних отделах хрень какая-то. ТБЦ?

Евгений Дорофеев аватар
Не на сайте
Был на сайте: 11 лет 6 месяцев назад
Зарегистрирован: 06.06.2013 - 17:28
Публикации: 1746

В мягких тканях левой надключичной области кальцинат (не исключается кальцинированный лимфоузел). В органах грудной клетки патологии я не нашёл. А можно анамнез поподробнее?

maker4ik аватар
Не на сайте
Был на сайте: 9 лет 3 дня назад
Зарегистрирован: 19.10.2011 - 17:49
Публикации: 2682

Я, видимо, дура. Норму бы написала. В крайнем случае получше бы разглядела передний отрезок 4 ребра справа.

Dima аватар
Не на сайте
Был на сайте: 7 лет 7 месяцев назад
Зарегистрирован: 05.08.2012 - 17:39
Публикации: 2467

Жаль нет боковой... Справа анамальная сосудистая тень связанная с корнем, похоже АВМ. Слева над ключицей вероятно коса.

Терпимость - это когда прощают чужие ошибки; такт - когда не замечают их. (Артур Шницлер)

алкс аватар
Не на сайте
Был на сайте: 10 лет 5 месяцев назад
Зарегистрирован: 24.10.2012 - 22:55
Публикации: 2915

Рек. вызвать рентгентехника. Артефакт.

И.Бондаренко аватар
Не на сайте
Был на сайте: 1 день 11 часов назад
Зарегистрирован: 13.09.2011 - 22:55
Публикации: 9213

Волосы.

Gorbovsky аватар
Не на сайте
Был на сайте: 6 лет 6 месяцев назад
Зарегистрирован: 03.08.2011 - 18:05
Публикации: 348

Аномальный дренаж легочных вен?

Было бы величайшей ошибкой думать (с)

Сергей Кузьминов аватар
Не на сайте
Был на сайте: 1 год 5 месяцев назад
Зарегистрирован: 06.10.2012 - 15:51
Публикации: 11813

Татуировка,что ли справа?

ig-dok аватар
Не на сайте
Был на сайте: 10 лет 4 месяцев назад
Зарегистрирован: 06.12.2013 - 23:04
Публикации: 17

АСТЕНИК

ig-dok аватар
Не на сайте
Был на сайте: 10 лет 4 месяцев назад
Зарегистрирован: 06.12.2013 - 23:04
Публикации: 17

АСТЕНИК

Dima аватар
Не на сайте
Был на сайте: 7 лет 7 месяцев назад
Зарегистрирован: 05.08.2012 - 17:39
Публикации: 2467

Непонятна цель экспертизы, зачем раскрывать карты до завершения времени? В который раз убеждаюсь без бокового вообще не нужно оценивать патологию, хотя мысль о косе возникла сразу, но не думал что на экспертизу будет выставлен случай недоработки лаборанта.

Терпимость - это когда прощают чужие ошибки; такт - когда не замечают их. (Артур Шницлер)

Дмитрий Волегов аватар
Не на сайте
Был на сайте: 3 года 11 месяцев назад
Зарегистрирован: 22.05.2013 - 00:32
Публикации: 1148

лаборанту- выговор.

С Уважением, Дмитрий.

Daniel' аватар
Не на сайте
Был на сайте: 6 месяцев 3 недели назад
Зарегистрирован: 27.06.2013 - 22:21
Публикации: 2210

не сердитесь на меня коллеги - выставил потому что и такое в нашей работе встречается, хотелось бы знать можно ли заподозрить артефакт по первому снимку не увидя случайно длинных кос пациентки. а на боковых не всегда видно того что есть на самом деле, но боковой не стал выкладывать не по этой причине. лаборанту то выговор и показательный случай для начинающих. ведь анамнез и внимательность помогают избежать необоснованных допобследований.

Nikolas аватар
Не на сайте
Был на сайте: 2 месяцев 11 часов назад
Зарегистрирован: 21.12.2010 - 20:37
Публикации: 4560

Вы правильно сделали, что представили очередное наблюдение. Только поспешили дать ответ. Заключение "волосы" дал доктор И. Бондаренко. Хотелость бы знать почему так точно? Напишите коллега свое обоснование. Будет полезно для многих.

Daniel' аватар
Не на сайте
Был на сайте: 6 месяцев 3 недели назад
Зарегистрирован: 27.06.2013 - 22:21
Публикации: 2210

видел в других экспертизах что ответ давали через 10 комментариев, думал здесь так принято - да и некоторые начали спрашивать, в личку писать с просьбой дать ответ. в следующий раз обещаю раньше времени секрета не расскрывать. 

И.Бондаренко аватар
Не на сайте
Был на сайте: 1 день 11 часов назад
Зарегистрирован: 13.09.2011 - 22:55
Публикации: 9213

Просто ни на что не похоже, да и анализу не поддавалось, интенсивность тени смущала, расположение. И основное просто от себя: не раз на сайте выставлялись случаи когда описывали разную патологию, а оказывались волосы + девушка. У самого есть грустный опыт когда думали о плохом, а оказалась просто раскошная коса.

Nikolas аватар
Не на сайте
Был на сайте: 2 месяцев 11 часов назад
Зарегистрирован: 21.12.2010 - 20:37
Публикации: 4560

ответ? Доходчиво.  С уважением Nik