"Дела флюшечные"...

Пол пациента: 
Тип патологии: 
Методы исследования: 

"Дела флюшечные"...

  • https://radiomed.ru/sites/default/files/styles/case_slider_image/public/user/12/2.f.p9070037.jpg?itok=f1bUdqCA
  • https://radiomed.ru/sites/default/files/styles/case_slider_image/public/user/12/3.f.p9070038.jpg?itok=29YY7p2-
  • https://radiomed.ru/sites/default/files/styles/case_slider_image/public/user/12/4.f.p9070038a.jpg?itok=tF60P4UR
  • https://radiomed.ru/sites/default/files/styles/case_slider_image/public/user/12/5.f.p9070039.jpg?itok=Y79eF5aR
  • https://radiomed.ru/sites/default/files/styles/case_slider_image/public/user/12/6.p9070039a_0.jpg?itok=P54DpO3c
ID:14417
Петрович аватар
Не на сайте
Был на сайте: 7 лет 8 месяцев назад
Зарегистрирован: 22.03.2009 - 01:13
Публикации: 3908

 

Ну, да массивный мягкотканный компонент есть, но всё же хотелось бы увидеть причинное ребро и в другой (косой) проекции.

Неоднозначно всё

Kuzmitch аватар
Не на сайте
Был на сайте: 13 лет 3 недели назад
Зарегистрирован: 01.10.2010 - 18:20
Публикации: 171

Neo ребра (честно говоря, не видел ни разу, поэтому плохо себе представляю) или перелом с гематомой?

Катенёв Валентин Львович аватар
Не на сайте
Был на сайте: 7 лет 6 месяцев назад
Зарегистрирован: 22.03.2008 - 22:15
Публикации: 54876

Травмы не было. Жалобы на локальные боли, как раз на уровне "того" места...

Kuzmitch аватар
Не на сайте
Был на сайте: 13 лет 3 недели назад
Зарегистрирован: 01.10.2010 - 18:20
Публикации: 171

Neo мягких тканей, или из плевры?...

Ермолаев аватар
Не на сайте
Был на сайте: 9 лет 3 месяцев назад
Зарегистрирован: 07.02.2009 - 16:33
Публикации: 670

Начал бы с УЗИ плевральной полости. Тогда круг поиска занчительно бы сократился. Нео, осумкованный плеврит (гидроторакс), посттравматическая гематома. Пациенты не всегда помнят факт травмы!

dok

Катенёв Валентин Львович аватар
Не на сайте
Был на сайте: 7 лет 6 месяцев назад
Зарегистрирован: 22.03.2008 - 22:15
Публикации: 54876

В ООД произвели открытую биопсию, поковыряли трепаном и всяли пациента на операционный стол.

tatyana аватар
Не на сайте
Был на сайте: 4 года 7 месяцев назад
Зарегистрирован: 24.06.2009 - 08:33
Публикации: 2090

В смысле, сразу после трепана - на операционный стол? Осложнения? Или когда гистологию дождались?

"самоуверенность дилетантов - предмет зависти профессионалов"

Катенёв Валентин Львович аватар
Не на сайте
Был на сайте: 7 лет 6 месяцев назад
Зарегистрирован: 22.03.2008 - 22:15
Публикации: 54876

Конечно после гистологии. Мезотелиома, согласно "бумажке".

tatyana аватар
Не на сайте
Был на сайте: 4 года 7 месяцев назад
Зарегистрирован: 24.06.2009 - 08:33
Публикации: 2090

Вас смущает диагноз? А ребро резецировали?

"самоуверенность дилетантов - предмет зависти профессионалов"

Катенёв Валентин Львович аватар
Не на сайте
Был на сайте: 7 лет 6 месяцев назад
Зарегистрирован: 22.03.2008 - 22:15
Публикации: 54876

Да, ребро резецировали. О мезотелиоме мы конечно думали, но мысль была, что "ноги" процесса из ребра...

Анатолий Владимирович Шумаков аватар
Не на сайте
Был на сайте: 8 лет 3 месяцев назад
Зарегистрирован: 16.10.2009 - 21:16
Публикации: 1941

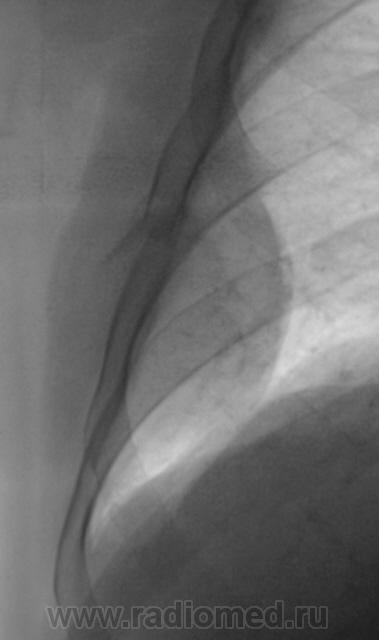
Если учитывать проекционные искажения - то протяженность участка поражения 6 ребра не - менее 8 см., хорошо виден "раструб" . В таких случаях обычно либо солитарнаяя миелома, либо метастатическое поражение... А мезотелиома скорее из области фантастики...

Евгений1313 аватар
Не на сайте
Был на сайте: 13 лет 5 месяцев назад
Зарегистрирован: 15.10.2010 - 19:13
Публикации: 808

Ещё один метастаз в ребро.

Almo аватар
Не на сайте
Был на сайте: 1 день 15 часов назад
Зарегистрирован: 28.09.2008 - 18:50
Публикации: 8306

А, узловую форму мезателионы с прорастанием в ребро вы не допускаете?

Анатолий Владимирович Шумаков аватар
Не на сайте
Был на сайте: 8 лет 3 месяцев назад
Зарегистрирован: 16.10.2009 - 21:16
Публикации: 1941

Все контактные прорастания никогда не дают раструба - элемента вздутия, а дают краевые узуры, и при такой длине поражения обязательно было бы прорастание нескольких - хотя бы двух ребер... но чтобы такая локальная мезотелиома поразила одно ребро на таком участке - никогда...

Петрович аватар
Не на сайте
Был на сайте: 7 лет 8 месяцев назад
Зарегистрирован: 22.03.2009 - 01:13
Публикации: 3908

 

А может и было поражение других ребер. Это будут решать уже другие. Автор был лаконичен и обошёлся одним снимком в неоптимальных режиме и проекции.

Неоднозначно всё

Катенёв Валентин Львович аватар
Не на сайте
Был на сайте: 7 лет 6 месяцев назад
Зарегистрирован: 22.03.2008 - 22:15
Публикации: 54876

Анатолий Владимирович Шумаков wrote:

Если учитывать проекционные искажения - то протяженность участка поражения 6 ребра не - менее 8 см., хорошо виден "раструб" . В таких случаях обычно либо солитарнаяя миелома, либо метастатическое поражение... А мезотелиома скорее из области фантастики...

Здравствуйте Анатолий Владимирович!

Что делать! "Область" сказала, мы приняли к сведению... Область - феодал, мы - не робщущие вассалы...

Катенёв Валентин Львович аватар
Не на сайте
Был на сайте: 7 лет 6 месяцев назад
Зарегистрирован: 22.03.2008 - 22:15
Публикации: 54876

Петрович wrote:

 

А может и было поражение других ребер. Это будут решать уже другие. Автор был лаконичен и обошёлся одним снимком в неоптимальных режиме и проекции.

Здравствуйте Петрович!

"Хиччник", он и в Африке хищник. Как раз, на мой взгляд, очень оптимально мы поступили! Из затрапезной ЦРБ-ушки "сбагрили" в специализированное, профильное лечебное учреждение, где все имеется для постановки диагноза, лечения и прочего. Диагностический и консультативный период, учитывая наши возможности, можно было растянуть надолго, что и про пациента забыли-бы. На мой взгляд тактика верная, заподозрил "зло", направь к "зловредникам", пусть разбираются...

tatyana аватар
Не на сайте
Был на сайте: 4 года 7 месяцев назад
Зарегистрирован: 24.06.2009 - 08:33
Публикации: 2090

Интересно будет узнать плановую гистологию удаленного препарата, она может отличаться от результатов биопсии

"самоуверенность дилетантов - предмет зависти профессионалов"

Катенёв Валентин Львович аватар
Не на сайте
Был на сайте: 7 лет 6 месяцев назад
Зарегистрирован: 22.03.2008 - 22:15
Публикации: 54876

tatyana wrote:

Интересно будет узнать плановую гистологию удаленного препарата, она может отличаться от результатов биопсии

По всей видимости оно так и будет....

tatyana аватар
Не на сайте
Был на сайте: 4 года 7 месяцев назад
Зарегистрирован: 24.06.2009 - 08:33
Публикации: 2090

Узнаете - скажете?

"самоуверенность дилетантов - предмет зависти профессионалов"

Катенёв Валентин Львович аватар
Не на сайте
Был на сайте: 7 лет 6 месяцев назад
Зарегистрирован: 22.03.2008 - 22:15
Публикации: 54876

Конечно!