Пациент 1926г.р. поступает час назад с клиникой почечной колики, сейчас время с 00:15. Я же себе дал некую вольность, в виде 30 минутной заминки, состояние довольное ни очень, чувствую себя даже виноватым. Пациент довольно тяжелый и серьезный, сейчас будет собираться консилиум по нему.

Ваше мнение?
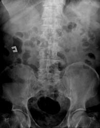
С какой стороны колика-то? Если справа, то там есть тень, "подозрительная на конкремент" (красная стрелка). Да смущают ещё тенёчки, отмеченные жёлтым.
Возможно, я бы придрался к тени "характера конкремента", возможно, желтая стрелка, по более пристально, я - бы рассматривал "цепочку" отмеченную красными стрелками.
Ну и не будем сбрасывать со счетов дистрофические изменения в поясничном отделе позвоночника, которые при "желании" могут дать такую клинику, что "Мама - не горюй!"
А если раскрутить эти "цепочки", что получиться? Колика якобы правосторонняя.
"Знаешь, у некоторых врачей есть комплекс мессии — им необходимо спасать мир. А у тебя комплекс Рубика — тебе необходимо решать головоломки."
Да, это может быть что угодно, в том числе и расслаивающаяся аневризма.
Похоже на обызвествление края аневризмы!
В точку!!! МСКТ-я уже провел, только что разговаривал с ангиохирургом.
"Знаешь, у некоторых врачей есть комплекс мессии — им необходимо спасать мир. А у тебя комплекс Рубика — тебе необходимо решать головоломки."
Вот мне тоже показалось, что "цепочка" -- но если рассматривать её так широко, как Вы отметили (хотя лично мне две последние, нижние кажутся сомнительными), то к мочевыводящим путям её никак "не пристегнешь". Обызвествление стенки чего-то полого?
p.S. ох и быстро же закомментировали всё :)
Аневризма абдоминального отдела аорты с прорывом забрюшинное пространство и образованием гематомы, от подпеченочного пространства до малого таза.
"Знаешь, у некоторых врачей есть комплекс мессии — им необходимо спасать мир. А у тебя комплекс Рубика — тебе необходимо решать головоломки."
Красиво Виталий Валерьевич!
Хороший случай (да у Вас плохих, на мою память не было). Иллюстрации уйдут в набор.
Большое спасибо Вам, что выставляете такие интересные случаи на сайте, и мы "старики" поучмимся.
Спасибо за оперативность!
Меня, Валентин Львович, данный случай тоже кое-чему научил, мне была интересна тактика хирургов в отношение данного пациента, в течение 30 минутного затишья, после того как позвонил и узнал, что они решили его до утра держать в отделение и с дальнейшим купированием колики, я его забрал себе на КТ и вот совесть теперь гложит почему сразу не провел исследование
"Знаешь, у некоторых врачей есть комплекс мессии — им необходимо спасать мир. А у тебя комплекс Рубика — тебе необходимо решать головоломки."
Виталий Валерьевич!
Ну, что сказать? Это хорошо, что Вы такой "непоседливый", не "холодный", не безучасный. По всей видимости, таким и должен быть настоящий врач-исследователь. Это хорошо, что Вы будучи хорошим "классическим рентгенологом" одержимо овладеваете КТ и делитесь тем новым, что имеете с коллегами, и низкий Вам поклон за это. Даже наша суровая "дама" (в очень хорошем смысле слова) в превосходной степени отзывалась о Вас (Москва), а это много стоит.
Спасибо Валентин Львович за добрые слова
! Пойду отдыхать пока время есть.
"Знаешь, у некоторых врачей есть комплекс мессии — им необходимо спасать мир. А у тебя комплекс Рубика — тебе необходимо решать головоломки."
Очень поучительный случай. Спасибо.
С уважением, С.Н. Нагорный
Т.е это аневризма вызвала болевой синдром? Что болело? Наверное раздраженная брюшина?
Виктор.
Пациент выжил? У меня было несколько подобных случаев, к сожалению с летальными исходами в те же сутки :(((( Ангиохирурги не брались за операцию... А потом прорыв за пределы забрюшинного пространства и все :(
Пациент на данный момент находится на ИВЛ, состояние тяжелое, Hb 60-80, посмотрим, пациент хоть и 1926г.р., но крепкий.
Кстати сейчас пролистывая литература, нашел аналогичный случай.
"Знаешь, у некоторых врачей есть комплекс мессии — им необходимо спасать мир. А у тебя комплекс Рубика — тебе необходимо решать головоломки."
Спасибо и за аналогичный случай.
В последнем из приведенных (зарубежном) случае, диагноз аневризма брюшного отдела аорты куда очевиднее... Не заметить сложно. А вот в Вашем случае, честно признаюсь, я бы, наверно, пропустил...
С уважением, С.Н. Нагорный
Думаю, Сергей Николаевич, с учетом наличие цифровой станции, у Вас возникли бы вопросы, да и на традиционном пленочном снимке, вряд ли кто просто спустил наличие кальцинатов.
"Знаешь, у некоторых врачей есть комплекс мессии — им необходимо спасать мир. А у тебя комплекс Рубика — тебе необходимо решать головоломки."
Ни разу не приходилось видеть в таком виде аневризму на классическом снимке, опыта в классической рентгенологии мало (очень сожалею об этом и всячески пытаюсь совершенствоваться), поэтому Ваш случай для меня очень поучительный, я бы искал на снимке тени конкрементов. Еще раз спасибо.
С уважением, С.Н. Нагорный
Ура, пациента перевели в стационар, 84 года, а крепкий.
"Знаешь, у некоторых врачей есть комплекс мессии — им необходимо спасать мир. А у тебя комплекс Рубика — тебе необходимо решать головоломки."