Пол пациента:
Тип патологии:
Область исследования:
Методы исследования:
- https://radiomed.ru/sites/default/files/styles/case_slider_image/public/user/12/2.p9280025.jpg?itok=JhGnjTPC
- https://radiomed.ru/sites/default/files/styles/case_slider_image/public/user/12/3.p9280025b.jpg?itok=iY78nmbg
- https://radiomed.ru/sites/default/files/styles/case_slider_image/public/user/12/4.p9280025bg.jpg?itok=pWYzcVE9
- https://radiomed.ru/sites/default/files/styles/case_slider_image/public/user/12/5.p9280026.jpg?itok=quzpypKi
- https://radiomed.ru/sites/default/files/styles/case_slider_image/public/user/12/6.p9280027.jpg?itok=kBS0a8ZS
- https://radiomed.ru/sites/default/files/styles/case_slider_image/public/user/12/7.p9280028.jpg?itok=qaFvXuiK
- https://radiomed.ru/sites/default/files/styles/case_slider_image/public/user/12/8.p9280029.jpg?itok=5s58_tdR
- https://radiomed.ru/sites/default/files/styles/case_slider_image/public/user/12/1.p9280030.jpg?itok=SYFYxEco
- https://radiomed.ru/sites/default/files/styles/case_slider_image/public/user/12/2.p9280031.jpg?itok=gM3zjUmi
- https://radiomed.ru/sites/default/files/styles/case_slider_image/public/user/12/3.p9280031a.jpg?itok=8Ll0x1Qe
- https://radiomed.ru/sites/default/files/styles/case_slider_image/public/user/12/4.p9280032.jpg?itok=5-Ym0QMt
- https://radiomed.ru/sites/default/files/styles/case_slider_image/public/user/12/5.p9280033.jpg?itok=Jl56qOcL
- https://radiomed.ru/sites/default/files/styles/case_slider_image/public/user/12/6.p9280034.jpg?itok=xypJFznC
- https://radiomed.ru/sites/default/files/styles/case_slider_image/public/user/12/7.p9280035.jpg?itok=K5aRB7HH
ID:15741
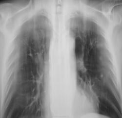
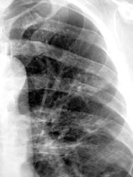
Инфицированные МБТ заполненные ретенционные бронхиальные кисты легких. Не исключаю, что фтизиатры обозначили эти изменения как множественные туберкулёмы. Имеется положительная динамика. С уважением Nikolas
... А почему именно, инфицированные МБТ, кисты, ведь даже не известно чем лечили?
--------------
"Просто, по видимости, не видеть логики в очевидных вещах - это тоже одно из свойств некоторых умов, наряду с грустными думами о свойствах ума других." © Vega 08/10/2011
Класс! Спасибо колллега.
В областной конторе не мудрствуя лукаво выставили инфильтративный (возможно, практически это верно). А, Вам часто приходилось видеть такое инфицирование ретенционных кист МБТ. У меня, это второй случай, за всю лучевую практику.
Лечили в ОПТД, как инфильтративный туберкулёз по полной стандартной программе.
Было высказано и еще одно мнение, в довольно высоком учреждении, что "ЭТО" мальформация.
второй раз. У нас с Вами "закон парных случаев". Желаю хорошего настроения сегодня вечером.С уважением Nik
Спасибо.
- Мнение было высказано по результатам КТ?..
--------------
"Просто, по видимости, не видеть логики в очевидных вещах - это тоже одно из свойств некоторых умов, наряду с грустными думами о свойствах ума других." © Vega 08/10/2011
Да, по первому КТ, это было заподозрено (мальформация). КТ за весь промежуток времени делали трижды. Потом, ретроспективно, собрав все в кучу, в том числе, и "флюшечный архив" - осенило...
Забыл уточнить - КТ или МСКТ?.. Хотя бы один из трёх раз? (Удивляет, что заключили мальформации (сосудистый субстрат), вместо ретенционных кист (бронхиальный))...
--------------
"Просто, по видимости, не видеть логики в очевидных вещах - это тоже одно из свойств некоторых умов, наряду с грустными думами о свойствах ума других." © Vega 08/10/2011
Вот тут точно не скажу. Делали в области, а я, у себя в деревухе ни КТ, ни МСКТ не имею.
К вопросу о мальформации. Валентин Львович, на протяжении нескольких месяцев у больных после перенесенной ветрянки, в легких обнаруживаем четкие округлые тени, думали о мальформации. В пяти случаях сделали КТ, ничего криминального. После продолжительных дебатов с инфекционистами пришли к выводу, что в легких видим такие же пустулы, что и на коже, только вот зеленкой их не помажешь. Есть ли у кого-то где-то подтверждение наших мыслей и встречались ли такие случаи у кого то в практике?
В нашем случае, весь джентельменский набор, вплоть до МБТ.
Уважаемый Валентин Львович! Дарю Вам мою первую инфицированную МБТ заполненную ретенционную бронхиальную кисту легкого. Других снимков не имею (томограммы и т.д). С уважением Nik
Огромное спасибо!
Для ликбеза: подскажите, пожалуйста, почему именно инфицированные МБТ ретенционные кисты? Ведь такие кисты могут быть результатом неспецифического бронхита.
https://www.youtube.com/channel/UCBGxoBUOqUT_bFhSeUgtWEw
Здравствуйте Людмила Григорьевна!
Неоднократно обнаруженные "палки" всеми методами свидетельствуют, что "палки" есть...
Иногда, картина в динамике (скиалогическая), после курса (курсов) специфической терапии, говорит о многом...
Здравствуйте, Валентин Львович! То есть, если есть вк+, то и вопросов об этиологии ретенционных кист не возникает... Динамика несомненно есть. Просто я не исключаю сочетание специфического и неспецифического процессов. Хотя, это чисто академический, а не практический интерес.
https://www.youtube.com/channel/UCBGxoBUOqUT_bFhSeUgtWEw
Я ничего не утверждаю, можно подискутировать...
Но "такое" встречается весьма редко, и при "таком" диагностические заморочки всегда будут...