Дисплазия?

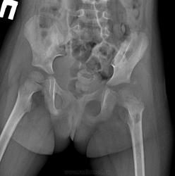
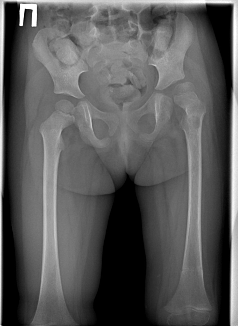
Пациентка,9 лет контроль, лечения остеомиелита. На первом снимке нестабильности не вижу, на втором снимке вижу подвывих ТБС( ассиметричная укладка?). Разница в снимках месяц,травмы за этот месяц не было. Как вы считаете подвывих вследствие врожденной дисплазии?(хирургии говорят что в анамнезе о дисплазии не знают,пациентку я не видел)  К сожелению в детской рентгенологии,плаваю еще болше чем взрослой..

  • https://radiomed.ru/sites/default/files/styles/case_slider_image/public/user/19756/ziminayanaandreevna_5491_1.jpg?itok=3gXWnoh7
ID:46805
NIL аватар
NIL
Не на сайте
Был на сайте: 13 часов 37 минут назад
Зарегистрирован: 25.11.2013 - 20:50
Публикации: 18206

Признаков дисплазии не нахожу. Крыши вертлужных впадин хорошо выражены, не скошены. На первом снимке головки центрированы в вертлужных впадинах. На контрольных, действительно, появился подвывих головки левого бедра. Головка левого бедра, шейка, область вертелов порозны, с округлыми, неправильной формы и нечеткими контурами просветлениями. На контрольном снимке головка деформирована, уплощена. В заключении написала бы признаки остеомиелита.


"Слушай всех, прислушивайся к немногим, решай сам".©

che12 аватар
Не на сайте
Был на сайте: 9 лет 1 неделя назад
Зарегистрирован: 26.02.2014 - 08:45
Публикации: 124

С остеомиелитом и лечится, хирурги интересовались откуда подвывих возник, грешили на укладку. Спасибо за ответ.

ejenye аватар
Не на сайте
Был на сайте: 7 лет 11 месяцев назад
Зарегистрирован: 20.04.2014 - 00:46
Публикации: 47

К остемиелиту ( известному хирургам) - вывих левого тазобедренного сустава, динамика отрицательная. Конечно, укладка на 1-ом снимке плохая, но диагноз без вопросов. Несмотря на " нескошенность" вертлужной впадины - смотрим головку. Середина проксимального эпифиза левой бедренной кости ЗА краем вертлужной впадины. :-(

NIL аватар
NIL
Не на сайте
Был на сайте: 13 часов 37 минут назад
Зарегистрирован: 25.11.2013 - 20:50
Публикации: 18206

ejenye wrote:

К остемиелиту ( известному хирургам) - вывих левого тазобедренного сустава, динамика отрицательная. Конечно, укладка на 1-ом снимке плохая, но диагноз без вопросов. Несмотря на " нескошенность" вертлужной впадины - смотрим головку. Середина проксимального эпифиза левой бедренной кости ЗА краем вертлужной впадины. :-(

Так ведь уже и на первом снимке признаки остеомиелита имеются, подвывих бедра - его следствие. Усугубился со временем. 


"Слушай всех, прислушивайся к немногим, решай сам".©

Гриша Хата аватар
Не на сайте
Был на сайте: 10 лет 1 неделя назад
Зарегистрирован: 09.02.2011 - 20:40
Публикации: 665

che12 wrote:

С остеомиелитом и лечится, хирурги интересовались откуда подвывих возник, грешили на укладку. Спасибо за ответ.

Припоминаю, у нас ротвейлеров снимали на дисплазию. За укладкой следили лучше, чем Ваши лаборанты за детьми.

Предлагаю переделать без перекоса таза, приведения и наружной ротации, конечно, если не сложно. Тогда и оценим подвывих.

ejenye аватар
Не на сайте
Был на сайте: 7 лет 11 месяцев назад
Зарегистрирован: 20.04.2014 - 00:46
Публикации: 47

Согласна, что нужна укладка. Ребенок большой, особых проблем с таким возрастом нет. Можно ( нужно) сделать при необходимом контроле на течение остеомиелита.

Nobody аватар
Не на сайте
Был на сайте: 11 лет 4 недели назад
Зарегистрирован: 15.03.2014 - 20:29
Публикации: 2013

ejenye wrote:

К остемиелиту ( известному хирургам) - вывих левого тазобедренного сустава, динамика отрицательная. Конечно, укладка на 1-ом снимке плохая, но диагноз без вопросов. Несмотря на " нескошенность" вертлужной впадины - смотрим головку. Середина проксимального эпифиза левой бедренной кости ЗА краем вертлужной впадины. :-(

Середина головки не будет за краем по первому снимку, если расчертить по нему. Она, возможно, оказалась бы за ним, если бы в нужной укладке он был выполнен.

che12 wrote:

С остеомиелитом и лечится, хирурги интересовались откуда подвывих возник, грешили на укладку. Спасибо за ответ.

Жаль, что укладку они не учли изначально. Подвывих и раньше был. И теперь он отнюдь не случаен.(

"Лишь утратив всё до конца, мы обретаем свободу." F.C.

ejenye аватар
Не на сайте
Был на сайте: 7 лет 11 месяцев назад
Зарегистрирован: 20.04.2014 - 00:46
Публикации: 47

Вот уж кого точно жаль - ребенка! А потом хирургов, рентгенолога и лаборанта...:-(  Так и будем - жалеть...Вот про собак комментарий понравился! В этом суть : плохой снимок - переделай! Это же ребенок... (

che12 аватар
Не на сайте
Был на сайте: 9 лет 1 неделя назад
Зарегистрирован: 26.02.2014 - 08:45
Публикации: 124

Никто и не снимал на дисплазию, контроль остеомиелита. Хирургами "для себя", если бы не увидели подвывих то и не показали б.

Второй снимок произведен вчера постарались максимально аккуратно(ребенок беспокойный). Пациент понятия не имею откуда, если положат к нам конечно снимем. Хирургам сказал что подвывих и раньше был.

Еще раз спасибо за помощь.

P.S. Ребенок оказывается из другого населенного пункта, приедет будем переснимать. 

Nobody аватар
Не на сайте
Был на сайте: 11 лет 4 недели назад
Зарегистрирован: 15.03.2014 - 20:29
Публикации: 2013

che12 wrote:

Никто и не снимал на дисплазию, контроль остеомиелита. Хирургами "для себя", если бы не увидели подвывих то и не показали б.

Если и первый снимок был "для себя" - то есть хирурги его только сами читали, тогда не удивительно, что подвывих на нём они не заключали. Цель направления вторична, ведь снимок должен быть выполнен в верной укладке. Для этого и существуют родители, которые обязаны выполнять указания лаборанта или врача.

"Лишь утратив всё до конца, мы обретаем свободу." F.C.