Был случай с непроходимостью у ребенка новорожденного. На первой рентгенограмме изменения были сомнительные, созвонились с детскими хирургами, они посоветовали пассаж бария. На последующих снимках четкая картина непроходимости. К сожалению снимки не сохранились.
На рентгенограмме толстокишечные "чаши Клойбера". Учитывая клинику, можно думать о болезни Гиршпрунга. Показаны УЗИ, ирригография. Желательно уточнить клинику, возраст.
На рентгенограмме толстокишечные "чаши Клойбера". Учитывая клинику, можно думать о болезни Гиршпрунга. Показаны УЗИ, ирригография. Желательно уточнить клинику, возраст.
Возможно, я отстал от жизни - в институте-то я учился более 50 лет тому, но на представленных вариантах снимка определяются расширенные петли ТОЛСТОЙ кишки (видны гаустры и межгаустральные складки) с газом и уровнями жидкости. Именно этот скиалогический феномен назывался "чашами Клойбер(г)а", а по принадлежности к толстой кишке я и назвал их толстокишечными. В чем оригинальность - не понял.
Мне кажется, что обьем брюшной полости значительно увеличен, также резко увеличены диаметр и длина толстой кишки, очень похоже на мегаколон - вероятнее всего болезнь Гиршпрунга. Могут быть и другие причины, вплоть до банальной диспепсии, но клиника все-таки больше опять за Гиршпрунга. Хорошо бы ирригоскопию сделать, да желательно вместе с хирургом (у нас почти всегда так делается).
Кстати, насчет ирригоскопии несколько погорячился.
Если у ребенка все-таки мегаколон, и, учитывая огромный живот - его несколько дней отмывать от "каловых завалов"нужно! Причем в условиях хирургического отделения, 1% солевым раствором, чтоб каловой интоксикации и прочего не было - возможно всё, вплоть до отёка мозга! Ну а потом уже и посмотреть можно... Барий, естественно, тоже не водой разводить.
Навскидку - долихосигма (долихоколон) с дополнительными петлями и изгибами, муковисцидоз, да и неврология...
Этот ещё маленький, если постарше - даже трещина заднего прохода или геморрой такую картинку дать могут - ребенок боится на горшок ходить и терпит, терпит. Правда, тут уже мамочек "лечить" надо - дождутся, что дите раз в неделю какает...
Давно было, и неправда :) Лежал у нас ребенок, лет 5-7 - "острый живот", по снимкам мы ничего не нашли, хирурги взяли его на стол - думали, аппендицит, или ещё чего... По гистологии нашли туб. мезаденит, больше, вроде бы, ничего не было, не помню уже.
А вот может ли мезаденит вызывать клинику хронической частичной толстокишечной непроходимости?
Ребенок совершенно не ясен. Но, я недаром написал "из гнезда". В прошлом году я выставлял наблюдение, где все женское население семьи (мужчин там не было, не жили там мужчины) болело туберкулёзом. Зацепили маму семейства, ну, а потом "контактные" проявились, целых две палаты в областной туббольнице заложили этими родственниками. У двух деток тоже оказался тубер. Этот ребенок тогда не засветился. Вот я решил выставить снимок ребенка из этого "гнезда", которого сейчас лечат наши педиатры с участием инфекциониста.
Давно было, и неправда :) Лежал у нас ребенок, лет 5-7 - "острый живот", по снимкам мы ничего не нашли, хирурги взяли его на стол - думали, аппендицит, или ещё чего... По гистологии нашли туб. мезаденит, больше, вроде бы, ничего не было, не помню уже.
А вот может ли мезаденит вызывать клинику хронической частичной толстокишечной непроходимости?
А, что рекомендовали бы Вы в плане возможного дообследования. Ребенку 7 месяцев. Когда мама была беременная (срок 4-5 месяцев) у ней был выявлен инфильтративный туберкулёз (фаза распада), она была помещена в областное противотуберкулёзное учреждение, где получала специфическую терапию.
Возможно, я отстал от жизни - в институте-то я учился более 50 лет тому, но на представленных вариантах снимка определяются расширенные петли ТОЛСТОЙ кишки (видны гаустры и межгаустральные складки) с газом и уровнями жидкости. Именно этот скиалогический феномен назывался "чашами Клойбер(г)а", а по принадлежности к толстой кишке я и назвал их толстокишечными. В чем оригинальность - не понял.
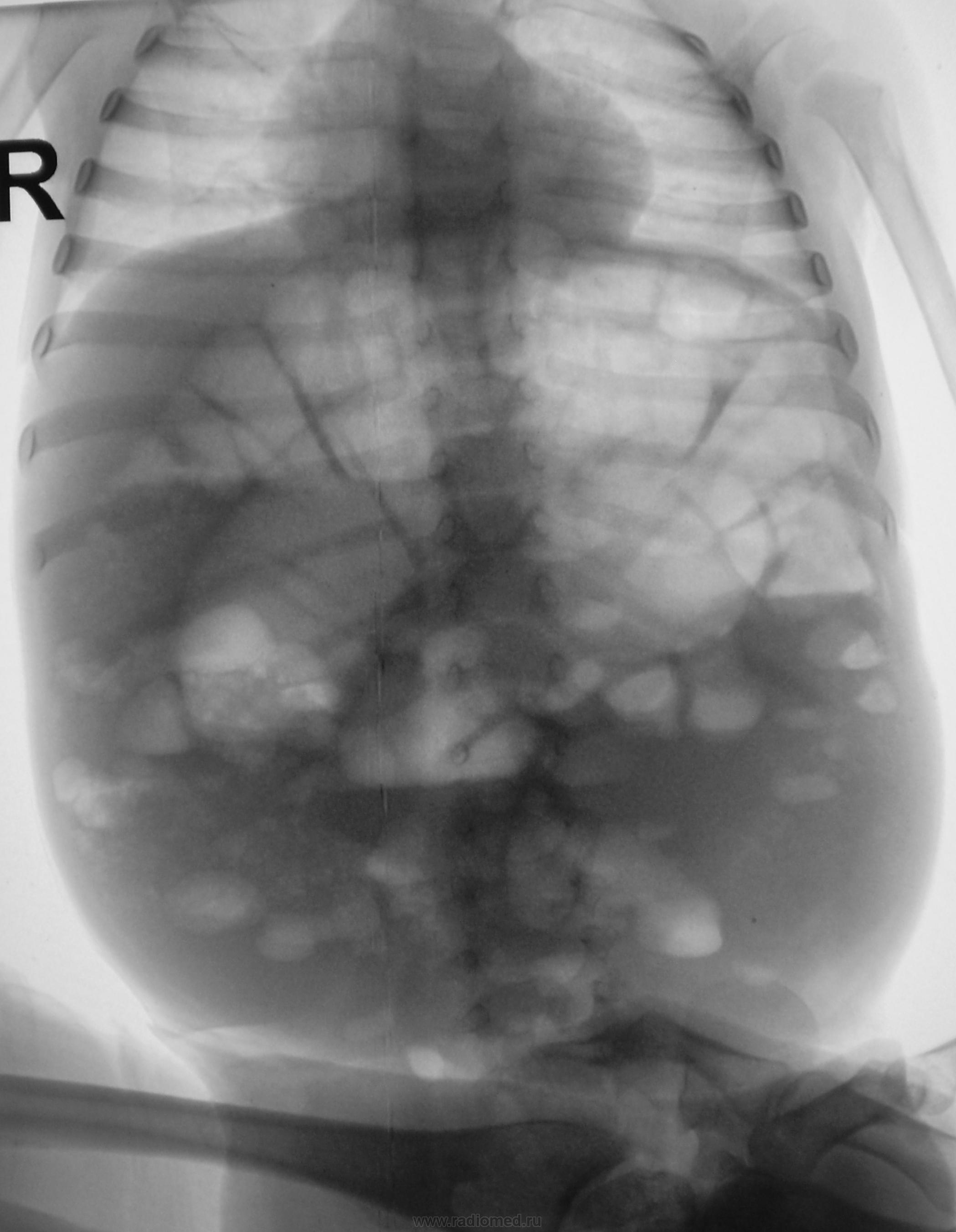
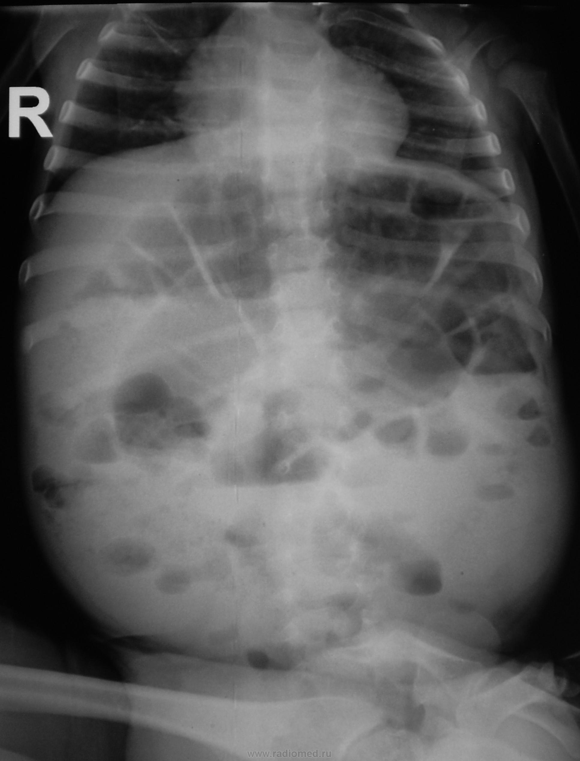
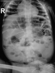
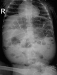
Видны резко расширеные петли кишечника с гаутральными перетяжками и горизонтальные уровни жидкости с шириной меньшей высоты газового пузыря.
Да, некто Клойбер называл перевернутой чашей именно газ
Рентгенопедиатры! АУ! Где Вы?
Был случай с непроходимостью у ребенка новорожденного. На первой рентгенограмме изменения были сомнительные, созвонились с детскими хирургами, они посоветовали пассаж бария. На последующих снимках четкая картина непроходимости. К сожалению снимки не сохранились.
А жалобы какие?
Жалоб нет. Лечащего врача смущает, что ребенок ест нормально, но нормально не оправляется, оправляется редко, как взрослый - со слов врача.
Петли кишечника сильно раздуты. А что на УЗИ? Думаю, что все же сделали...
УЗИ не было
Нет ли здесь инвагинации?
На рентгенограмме толстокишечные "чаши Клойбера". Учитывая клинику, можно думать о болезни Гиршпрунга. Показаны УЗИ, ирригография. Желательно уточнить клинику, возраст.
С уважением. Ильич.
Толстокишечные чаши Клойбера???
Оригинально
Возможно, я отстал от жизни - в институте-то я учился более 50 лет тому, но на представленных вариантах снимка определяются расширенные петли ТОЛСТОЙ кишки (видны гаустры и межгаустральные складки) с газом и уровнями жидкости. Именно этот скиалогический феномен назывался "чашами Клойбер(г)а", а по принадлежности к толстой кишке я и назвал их толстокишечными. В чем оригинальность - не понял.
С уважением. Ильич.
На мой взгляд, это кишечные арки, не чаши.
https://www.instagram.com/pediatricradiology/
Здравствуйте!
Это понятно, что то аркадообразные структуры с горизонтальными уровнями жидкости. А, общее впечатление какое?
Мне кажется, что обьем брюшной полости значительно увеличен, также резко увеличены диаметр и длина толстой кишки, очень похоже на мегаколон - вероятнее всего болезнь Гиршпрунга. Могут быть и другие причины, вплоть до банальной диспепсии, но клиника все-таки больше опять за Гиршпрунга. Хорошо бы ирригоскопию сделать, да желательно вместе с хирургом (у нас почти всегда так делается).
Спасибо коллега за коммент, спасибо за высказанный вариант диагноза.
Большое спасибо.
Кстати, насчет ирригоскопии несколько погорячился.
Если у ребенка все-таки мегаколон, и, учитывая огромный живот - его несколько дней отмывать от "каловых завалов"нужно! Причем в условиях хирургического отделения, 1% солевым раствором, чтоб каловой интоксикации и прочего не было - возможно всё, вплоть до отёка мозга! Ну а потом уже и посмотреть можно... Барий, естественно, тоже не водой разводить.
А. других вариантов патологии нет?
Навскидку - долихосигма (долихоколон) с дополнительными петлями и изгибами, муковисцидоз, да и неврология...
Этот ещё маленький, если постарше - даже трещина заднего прохода или геморрой такую картинку дать могут - ребенок боится на горшок ходить и терпит, терпит. Правда, тут уже мамочек "лечить" надо - дождутся, что дите раз в неделю какает...
Семья очень не благополучная, одним словом "гнездо", гнездо чего угодно.
возможно вследствии аномалии развития, недоповорота органов брюшной полости... имхо
....или приобретенной патологии?
Например, из-за увеличения внутрибрюшных лимфоузлов, учитывая анамнез - возможно и туб. мезаденит... Редкость, конечно, но мало ли...
Спасибо! А, Вы с таким встречались (туб мезаденит)?
Давно было, и неправда :) Лежал у нас ребенок, лет 5-7 - "острый живот", по снимкам мы ничего не нашли, хирурги взяли его на стол - думали, аппендицит, или ещё чего... По гистологии нашли туб. мезаденит, больше, вроде бы, ничего не было, не помню уже.
А вот может ли мезаденит вызывать клинику хронической частичной толстокишечной непроходимости?
Ребенок совершенно не ясен. Но, я недаром написал "из гнезда". В прошлом году я выставлял наблюдение, где все женское население семьи (мужчин там не было, не жили там мужчины) болело туберкулёзом. Зацепили маму семейства, ну, а потом "контактные" проявились, целых две палаты в областной туббольнице заложили этими родственниками. У двух деток тоже оказался тубер. Этот ребенок тогда не засветился. Вот я решил выставить снимок ребенка из этого "гнезда", которого сейчас лечат наши педиатры с участием инфекциониста.
А, что рекомендовали бы Вы в плане возможного дообследования. Ребенку 7 месяцев. Когда мама была беременная (срок 4-5 месяцев) у ней был выявлен инфильтративный туберкулёз (фаза распада), она была помещена в областное противотуберкулёзное учреждение, где получала специфическую терапию.
Видны резко расширеные петли кишечника с гаутральными перетяжками и горизонтальные уровни жидкости с шириной меньшей высоты газового пузыря.
Да, некто Клойбер называл перевернутой чашей именно газ