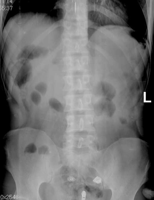
С подозрением на проникающее ранение направлен на рентгенографию брюшной полости. Суицид.

Пол пациента: 
Тип патологии: 
Область исследования: 
Методы исследования: 

С подозрением на проникающее ранение направлен на рентгенографию брюшной полости. Суицид.

  • https://radiomed.ru/sites/default/files/styles/case_slider_image/public/user/12/2.1.201411050051.jpg?itok=Ow3uukRz
  • https://radiomed.ru/sites/default/files/styles/case_slider_image/public/user/12/3.201411050052.jpg?itok=99xo90Rn
  • https://radiomed.ru/sites/default/files/styles/case_slider_image/public/user/12/4.201411050053.jpg?itok=5wbWN1Vs
ID:56711
И.Бондаренко аватар
Не на сайте
Был на сайте: 2 часа 46 секунд назад
Зарегистрирован: 13.09.2011 - 22:55
Публикации: 9201

А где рана? Слева под куполом как бы есть воздух. Но не утверждаю.

Катенёв Валентин Львович аватар
Не на сайте
Был на сайте: 6 лет 11 месяцев назад
Зарегистрирован: 22.03.2008 - 22:15
Публикации: 54876

Рана центрально, по белой линии живота, на 3 см. выше пупка.

NIL аватар
NIL
Не на сайте
Был на сайте: 2 дня 11 часов назад
Зарегистрирован: 25.11.2013 - 20:50
Публикации: 18183

Есть пневмоперитонеум

Приложения: 
1.201411050050.jpg


"Слушай всех, прислушивайся к немногим, решай сам".©

Daniel' аватар
Не на сайте
Был на сайте: 2 недели 6 дней назад
Зарегистрирован: 27.06.2013 - 22:21
Публикации: 2210

симптом серпа как то неубедителен, а вот тонкокишечные арки свидетельствуют о непроходимости, видимо из-за раздражения брюшины кровью

Катенёв Валентин Львович аватар
Не на сайте
Был на сайте: 6 лет 11 месяцев назад
Зарегистрирован: 22.03.2008 - 22:15
Публикации: 54876

Положил пациента на левый бок на две минуты...

 

Приложения: 
1.201411050054.jpg2.201411050055.jpg3.201411050056.jpg4.201411050057.jpg
Daniel' аватар
Не на сайте
Был на сайте: 2 недели 6 дней назад
Зарегистрирован: 27.06.2013 - 22:21
Публикации: 2210

теперь все точки расставлены над i.

Zayac аватар
Не на сайте
Был на сайте: 7 лет 9 месяцев назад
Зарегистрирован: 14.08.2014 - 12:20
Публикации: 112

может кто-нибудь подскажет ссылку на литературу по рг обп, в частности дифдиагноз пневмоперитонеума с интерпозицией толстой кишки, заранее спасибо)

NIL аватар
NIL
Не на сайте
Был на сайте: 2 дня 11 часов назад
Зарегистрирован: 25.11.2013 - 20:50
Публикации: 18183

Zayac wrote:

может кто-нибудь подскажет ссылку на литературу по рг обп, в частности дифдиагноз пневмоперитонеума с интерпозицией толстой кишки, заранее спасибо)

Вот первое, что на глаза попало http://radiomed.ru/publications/ogk-rentgenpriznaki-patologii-organov-pishchevareniya-i-zhivota-na-obzornykh-rentgenogr


"Слушай всех, прислушивайся к немногим, решай сам".©

Zayac аватар
Не на сайте
Был на сайте: 7 лет 9 месяцев назад
Зарегистрирован: 14.08.2014 - 12:20
Публикации: 112

Спасибо!)

Катенёв Валентин Львович аватар
Не на сайте
Был на сайте: 6 лет 11 месяцев назад
Зарегистрирован: 22.03.2008 - 22:15
Публикации: 54876

"Положил пациента на левый бок на две минуты..."

Кстати, этим приемом пользуюсь довольно часто.

Zayac аватар
Не на сайте
Был на сайте: 7 лет 9 месяцев назад
Зарегистрирован: 14.08.2014 - 12:20
Публикации: 112

всегда этот прием помогает? я пару раз латерографию делала при сомнении, но она не всегда вносит ясность (во всяком случае, для меня), и все-таки не смогла найти материалы по дифдиагностике пневмоперитонеума и интерпозиции

NIL аватар
NIL
Не на сайте
Был на сайте: 2 дня 11 часов назад
Зарегистрирован: 25.11.2013 - 20:50
Публикации: 18183

Zayac wrote:
и все-таки не смогла найти материалы по дифдиагностике пневмоперитонеума и интерпозиции
Как правило, при пневмоперитонеуме "серп" гладкий, а при интерпозиции обычно видна гаустрация толстой кишки. Вот ещё несколько ссылок по теме : http://radiomed.ru/cases/interpozitsiya-tolstoi-kishki

http://www.mif-ua.com/archive/article/11348

http://radiomed.ru/publications/sindrom-chilaiditi-simptom-chilaiditi-interpositio-hepatodiaphragmatica


"Слушай всех, прислушивайся к немногим, решай сам".©

Катенёв Валентин Львович аватар
Не на сайте
Был на сайте: 6 лет 11 месяцев назад
Зарегистрирован: 22.03.2008 - 22:15
Публикации: 54876

Не всегда, но весьма часто помогает.

Zayac аватар
Не на сайте
Был на сайте: 7 лет 9 месяцев назад
Зарегистрирован: 14.08.2014 - 12:20
Публикации: 112

спасибо большое)

NIL аватар
NIL
Не на сайте
Был на сайте: 2 дня 11 часов назад
Зарегистрирован: 25.11.2013 - 20:50
Публикации: 18183

Вот ещё, Валентин Львович сегодня обновил. Тоже очень много интересного http://radiomed.ru/publications/osnovy-zhktr-metody-luchevogo-issledovaniya-rentgenosemiotika-zabolevanii-organov-zhktr


"Слушай всех, прислушивайся к немногим, решай сам".©

brainmodel аватар
Не на сайте
Был на сайте: 1 месяц 2 недели назад
Зарегистрирован: 18.03.2010 - 22:04
Публикации: 2881

Daniel' wrote:

...тонкокишечные арки свидетельствуют о непроходимости, ...

Боже упаси!. Хде???

Verum plus uno esse non potest.

brainmodel аватар
Не на сайте
Был на сайте: 1 месяц 2 недели назад
Зарегистрирован: 18.03.2010 - 22:04
Публикации: 2881

Кстати, первый снимок стоя или лежа? в любом случае воздух под диафрагмой слева такой формы быть не может, если находится интрависцерально.

Verum plus uno esse non potest.

Daniel' аватар
Не на сайте
Был на сайте: 2 недели 6 дней назад
Зарегистрирован: 27.06.2013 - 22:21
Публикации: 2210

вот так мне видится, не прав?

Приложения: 
bezymyannyy.jpg
brainmodel аватар
Не на сайте
Был на сайте: 1 месяц 2 недели назад
Зарегистрирован: 18.03.2010 - 22:04
Публикации: 2881

Я про непроход. Может это рефлекторные "сторожевые" петельки вылезли в ответ на брюшную катастрофу. Но вот так, по двум невнятным петлям, без четких симптомов пат.уровней, весов и пружины ставить непроход...?

Verum plus uno esse non potest.

Daniel' аватар
Не на сайте
Был на сайте: 2 недели 6 дней назад
Зарегистрирован: 27.06.2013 - 22:21
Публикации: 2210

при брюшной катастрофе как вариант спастическая динамическая в ответ на раздражение брюшины, сначала ведь именно арки появляются а уж при прогрессировании процесса и уровни жидкости. я так себе это все представляю.

Катенёв Валентин Львович аватар
Не на сайте
Был на сайте: 6 лет 11 месяцев назад
Зарегистрирован: 22.03.2008 - 22:15
Публикации: 54876

После проведения рентгенологического исследования хирурги пошли на ревизию брюшной полости - повреждение сальника, проникающее ранение желудка.