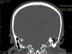
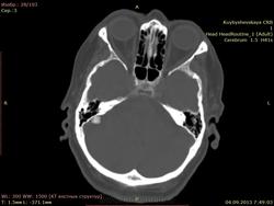
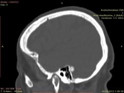
дополнительное образование высокой плотности справа. подскажите

Пол пациента: 
Тип патологии: 
Область исследования: 
Методы исследования: 

пациентка жалуется на головные боли, больше справа. Подскажите что это за образование справа? первый раз вижу. и деструкции стенки вроде бы нет. плотность высокая.

  • https://radiomed.ru/sites/default/files/styles/case_slider_image/public/user/17661/img-0001-00001_19.jpg?itok=ozHg9K2H
  • https://radiomed.ru/sites/default/files/styles/case_slider_image/public/user/17661/img-0003-00001_18.jpg?itok=I5fvKrLn
  • https://radiomed.ru/sites/default/files/styles/case_slider_image/public/user/17661/img-0004-00001_17.jpg?itok=IMq9TIXV
  • https://radiomed.ru/sites/default/files/styles/case_slider_image/public/user/17661/img-0005-00001_16.jpg?itok=YEa2BNBt
  • https://radiomed.ru/sites/default/files/styles/case_slider_image/public/user/17661/img-0006-00001_17.jpg?itok=SrepuHGu
  • https://radiomed.ru/sites/default/files/styles/case_slider_image/public/user/17661/img-0007-00001_12.jpg?itok=TWGzun6Z
ID:31498
Nela аватар
Не на сайте
Был на сайте: 6 лет 1 месяц назад
Зарегистрирован: 12.05.2009 - 20:43
Публикации: 1847

Остема или небольшая обызвествленная менингиома, что почти одно и тоже. Да менингиому на первое место надо было поставить :)

smart аватар
Не на сайте
Был на сайте: 8 лет 7 месяцев назад
Зарегистрирован: 12.01.2013 - 20:07
Публикации: 142

спасибо большое. буду знать

И.Бондаренко аватар
Не на сайте
Был на сайте: 1 день 11 часов назад
Зарегистрирован: 13.09.2011 - 22:55
Публикации: 9206

По-моему обызвествлённая менингиома.

Алексей Игоревич Чернявский аватар
Не на сайте
Был на сайте: 6 лет 10 месяцев назад
Зарегистрирован: 08.08.2012 - 21:52
Публикации: 786

+1. Менингиома.

"Обучая других - учишься сам". Н.И.Пирогов
 

Romas239323 аватар
Не на сайте
Был на сайте: 11 лет 6 месяцев назад
Зарегистрирован: 27.05.2013 - 23:46
Публикации: 8

Стандартное место для менингиомы

Евгений Второй аватар
Не на сайте
Был на сайте: 1 день 9 часов назад
Зарегистрирован: 13.09.2011 - 22:00
Публикации: 1772

Ага, задней грани пирамиды, как некоторые пишут.

ЕЕЮ аватар
Не на сайте
Был на сайте: 2 года 2 месяцев назад
Зарегистрирован: 26.08.2013 - 11:22
Публикации: 410

ОЧЕНЬ ИНТЕРЕСТНО, А ЧТО В ИТОГЕ. КАК ЗАКЛЮЧЕНИЕ ПИСАТЬ : ОСТЕОМА? МЕНИНГЕОМА?

 ЧТО РЕКОМЕНДОВАТЬ, ДИНАМИКА ЧЕРЕЗ СКОЛЬКО ВРЕМЕНИ?